Skip to main content

PLCD4 Antibody - BSA Free

Novus Biologicals, part of Bio-Techne | Catalog # NBP2-38392

Novus Biologicals, part of Bio-Techne
Catalog #
Availability
Size / Price
Qty
Loading...
NBP2-38392
NBP2-38392-25ul

Key Product Details

Validated by

Orthogonal Validation, Independent Antibodies

Species Reactivity

Human

Applications

Immunohistochemistry, Immunohistochemistry-Paraffin

Label

Unconjugated

Antibody Source

Polyclonal Rabbit IgG

Format

BSA Free

Concentration

Concentrations vary lot to lot. See vial label for concentration. If unlisted please contact technical services.

Product Specifications

Immunogen

This antibody was developed against a recombinant protein corresponding to amino acids: MASLLQDQLTTDQDLLLMQEGMPMRKVRSKSWKKLRYFRLQNDGMTVWHARQARGSAKPSFSISDVETIRNGHDSELL

Clonality

Polyclonal

Host

Rabbit

Isotype

IgG

Description

Novus Biologicals Rabbit PLCD4 Antibody - BSA Free (NBP2-38392) is a polyclonal antibody validated for use in IHC. All Novus Biologicals antibodies are covered by our 100% guarantee.

Scientific Data Images for PLCD4 Antibody - BSA Free

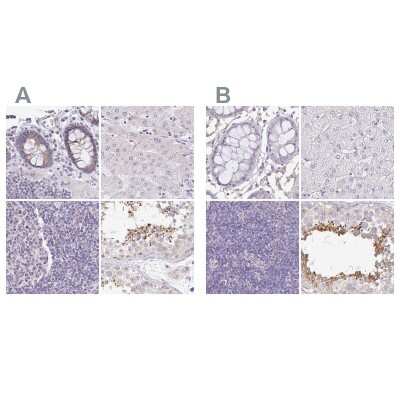
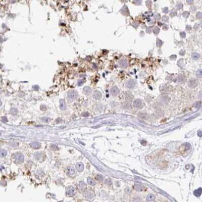
Immunohistochemistry-Paraffin: PLCD4 Antibody [NBP2-38392]

Immunohistochemistry-Paraffin: PLCD4 Antibody [NBP2-38392]

Immunohistochemistry-Paraffin: PLCD4 Antibody [NBP2-38392] - Staining of human colon.
Immunohistochemistry-Paraffin: PLCD4 Antibody [NBP2-38392]

Immunohistochemistry-Paraffin: PLCD4 Antibody [NBP2-38392]

Immunohistochemistry-Paraffin: PLCD4 Antibody [NBP2-38392] - Staining of human heart muscle shows low expression as expected.
Immunohistochemistry-Paraffin: PLCD4 Antibody [NBP2-38392]

Immunohistochemistry-Paraffin: PLCD4 Antibody [NBP2-38392]

Immunohistochemistry-Paraffin: PLCD4 Antibody [NBP2-38392] - Staining of human skeletal muscle shows high expression.

Applications for PLCD4 Antibody - BSA Free

Application
Recommended Usage

Immunohistochemistry

1:50 - 1:200

Immunohistochemistry-Paraffin

1:50 - 1:200
Application Notes
For IHC-Paraffin, HIER pH 6 retrieval is recommended.

Formulation, Preparation, and Storage

Purification

Affinity purified

Formulation

PBS (pH 7.2) and 40% Glycerol

Format

BSA Free

Preservative

0.02% Sodium Azide

Concentration

Concentrations vary lot to lot. See vial label for concentration. If unlisted please contact technical services.

Shipping

The product is shipped with polar packs. Upon receipt, store it immediately at the temperature recommended below.

Stability & Storage

Store at 4C short term. Aliquot and store at -20C long term. Avoid freeze-thaw cycles.

Background: PLCD4

Phosphatidylinositol-specific phospholipase C (PLC) plays an important role in receptor-mediated signal transduction bygenerating 2 second messenger molecules, inositol 1,4,5-triphosphate (IP3) and diacylglycerol, fromphosphatidylinositol 4,5-bisphosphate (PIP2). PLC comprises a diverse family of enzymes that differ in structure andtissue distribution (Berridge, 1993 (PubMed 8381210)).(supplied by OMIM)

Alternate Names

EC 3.1.4.11, hPLCD4, MGC12837, Phosphoinositide phospholipase C-delta-4, phospholipase C, delta 4, Phospholipase C-delta-4, PLC delta4, PLC-delta-4,1-phosphatidylinositol-4,5-bisphosphate phosphodiesterase delta-4

Gene Symbol

PLCD4

UniProt

Additional PLCD4 Products

Product Documents for PLCD4 Antibody - BSA Free

Certificate of Analysis

To download a Certificate of Analysis, please enter a lot number in the search box below.

Product Specific Notices for PLCD4 Antibody - BSA Free

This product is for research use only and is not approved for use in humans or in clinical diagnosis. Primary Antibodies are guaranteed for 1 year from date of receipt.

Loading...
Loading...
Loading...
Loading...