Skip to main content

PLC-gamma 1 Antibody (3H1C10) - BSA Free

Novus Biologicals, part of Bio-Techne | Catalog # NBP2-52533

Novus Biologicals, part of Bio-Techne
Catalog #
Availability
Size / Price
Qty
Loading...
NBP2-52533-0.025mg
NBP2-52533

Key Product Details

Species Reactivity

Human, Mouse

Applications

Immunohistochemistry, Immunohistochemistry-Paraffin, Western Blot, ELISA, Flow Cytometry, Immunocytochemistry/ Immunofluorescence, CyTOF-ready

Label

Unconjugated

Antibody Source

Monoclonal Mouse IgG1 Clone # 3H1C10

Format

BSA Free

Concentration

1 mg/ml

Product Specifications

Immunogen

Purified recombinant fragment of human PLC-gamma 1 (AA: 1192-1291) expressed in E. Coli.

Clonality

Monoclonal

Host

Mouse

Isotype

IgG1

Theoretical MW

148.5 kDa.
Disclaimer note: The observed molecular weight of the protein may vary from the listed predicted molecular weight due to post translational modifications, post translation cleavages, relative charges, and other experimental factors.

Description

Novus Biologicals Mouse PLC-gamma 1 Antibody (3H1C10) - BSA Free (NBP2-52533) is a monoclonal antibody validated for use in IHC, WB, ELISA, Flow and ICC/IF. Anti-PLC-gamma 1 Antibody: Cited in 1 publication. All Novus Biologicals antibodies are covered by our 100% guarantee.

Scientific Data Images for PLC-gamma 1 Antibody (3H1C10) - BSA Free

Western Blot: PLC-gamma 1 Antibody (3H1C10)BSA Free [NBP2-52533]

Western Blot: PLC-gamma 1 Antibody (3H1C10)BSA Free [NBP2-52533]

Western Blot: PLC-gamma 1 Antibody (3H1C10) [NBP2-52533] - Analysis using PLCG1 mouse mAb against NIH/3T3 (1), Jurkat (2), A431 (3), and Hela (4) cell lysate.
Immunocytochemistry/ Immunofluorescence: PLC-gamma 1 Antibody (3H1C10) - BSA Free [NBP2-52533]

Immunocytochemistry/ Immunofluorescence: PLC-gamma 1 Antibody (3H1C10) - BSA Free [NBP2-52533]

Immunocytochemistry/Immunofluorescence: PLC-gamma 1 Antibody (3H1C10) [NBP2-52533] - Analysis of Hela cells using PLCG1 mouse mAb (green). Blue: DRAQ5 fluorescent DNA dye. Red: Actin filaments have been labeled with Alexa Fluor- 555 phalloidin.
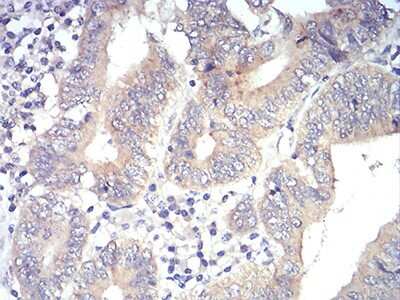
Immunohistochemistry-Paraffin: PLC-gamma 1 Antibody (3H1C10) - BSA Free [NBP2-52533]

Immunohistochemistry-Paraffin: PLC-gamma 1 Antibody (3H1C10) - BSA Free [NBP2-52533]

Immunohistochemistry-Paraffin: PLC-gamma 1 Antibody (3H1C10) [NBP2-52533] - Analysis of paraffin-embedded esophagus tissues using PLCG1 mouse mAb with DAB staining.

Applications for PLC-gamma 1 Antibody (3H1C10) - BSA Free

Application
Recommended Usage

ELISA

1:10000

Flow Cytometry

1:200-1:400

Immunocytochemistry/ Immunofluorescence

1:200-1:1000

Immunohistochemistry

1:200-1:1000

Immunohistochemistry-Paraffin

1:200-1:1000

Western Blot

1:500-1:2000
Application Notes
This antibody is Cytof ready.

Formulation, Preparation, and Storage

Purification

Protein G purified

Formulation

PBS

Format

BSA Free

Preservative

0.05% Sodium Azide

Concentration

1 mg/ml

Shipping

The product is shipped with polar packs. Upon receipt, store it immediately at the temperature recommended below.

Stability & Storage

Store at 4C short term. Aliquot and store at -20C long term. Avoid freeze-thaw cycles.

Background: PLC-gamma 1

Enzymes of the phospholipase C family catalyze the hydrolysis of phospholipids to yield diacylglycerols and water-soluble phosphorylated derivatives of the lipid head groups (1). Phospholipase C gamma 1 (PLC-gamma 1) hydrolyses phosphatidylinositol-4,5-bisphosphate to the second messengers inositol-1,4,5-trisphosphate and diacylglycerol. PLC-gamma 1 also has mitogenic activity upon growth-factor-dependent tyrosine phosphorylation; however, this activity is not dependent on the phospholipase activity of PLC-gamma 1, but requires an SH3 domain (2). Also, results indicate a lipase-independent role of PLC-gamma in the physiological agonist-induced activation of Ca2+ entry (3).

Long Name

Phospholipase C gamma 1

Alternate Names

PLCG1, PLCgamma 1, PPLCA

Gene Symbol

PLCG1

Additional PLC-gamma 1 Products

Product Documents for PLC-gamma 1 Antibody (3H1C10) - BSA Free

Certificate of Analysis

To download a Certificate of Analysis, please enter a lot number in the search box below.

Product Specific Notices for PLC-gamma 1 Antibody (3H1C10) - BSA Free

This product is for research use only and is not approved for use in humans or in clinical diagnosis. Primary Antibodies are guaranteed for 1 year from date of receipt.

Loading...
Loading...
Loading...
Loading...
Loading...