Skip to main content

PLC-beta 3 Antibody - Azide and BSA Free

Novus Biologicals, part of Bio-Techne | Catalog # NBP2-93347

Novus Biologicals, part of Bio-Techne
Catalog #
Availability
Size / Price
Qty
Loading...
NBP2-93347-0.02ml
NBP2-93347-0.1ml

Key Product Details

Species Reactivity

Human, Mouse, Rat

Applications

Immunohistochemistry, Immunohistochemistry-Paraffin, Western Blot

Label

Unconjugated

Antibody Source

Polyclonal Rabbit IgG

Format

Azide and BSA Free

Concentration

Please see the vial label for concentration. If unlisted please contact technical services.

Product Specifications

Immunogen

Recombinant fusion protein containing a sequence corresponding to amino acids 1010-1234 of human PLC-beta 3 (NP_001303243.1). GALGGAADVEDTKEGEDEAKRYQEFQNRQVQSLLELREAQVDAEAQRRLEHLRQALQRLREVVLDANTTQFKRLKEMNEREKKELQKILDRKRHNSISEAKMRDKHKKEAELTEINRRHITESVNSIRRLEEAQKQRHDRLVAGQQQVLQQLAEEEPKLLAQLAQECQEQRARLPQEIRRSLLGEMPEGLGDGPLVACASNGHAPGSSGHLSGADSESQEENTQL

Clonality

Polyclonal

Host

Rabbit

Isotype

IgG

Description

Novus Biologicals Rabbit PLC-beta 3 Antibody - Azide and BSA Free (NBP2-93347) is a polyclonal antibody validated for use in IHC and WB. All Novus Biologicals antibodies are covered by our 100% guarantee.

Scientific Data Images for PLC-beta 3 Antibody - Azide and BSA Free

Western Blot: PLC-beta 3 AntibodyAzide and BSA Free [NBP2-93347]

Western Blot: PLC-beta 3 AntibodyAzide and BSA Free [NBP2-93347]

Western Blot: PLC-beta 3 Antibody [NBP2-93347] - Analysis of extracts of various cell lines, using PLC-beta 3 at 1:1000 dilution. Secondary antibody: HRP Goat Anti-Rabbit IgG (H+L) at 1:10000 dilution. Lysates/proteins: 25ug per lane. Blocking buffer: 3% nonfat dry milk in TBST. Detection: ECL Basic Kit . Exposure time: 30s.
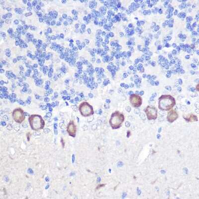
Immunohistochemistry-Paraffin: PLC-beta 3 Antibody - Azide and BSA Free [NBP2-93347]

Immunohistochemistry-Paraffin: PLC-beta 3 Antibody - Azide and BSA Free [NBP2-93347]

Immunohistochemistry-Paraffin: PLC-beta 3 Antibody [NBP2-93347] - Immunohistochemistry of paraffin-embedded rat brain using PLC-beta 3 Rabbit pAb (NBP2-93347) at dilution of 1:100 (40x lens). Perform high pressure antigen retrieval with 10 mM citrate buffer pH 6.0 before commencing with IHC staining protocol.

Applications for PLC-beta 3 Antibody - Azide and BSA Free

Application
Recommended Usage

Immunohistochemistry

1:50 - 1:200

Western Blot

1:500 - 1:2000

Formulation, Preparation, and Storage

Purification

Affinity purified

Formulation

PBS (pH 7.3), 50% glycerol

Format

Azide and BSA Free

Preservative

0.01% Thimerosal

Concentration

Please see the vial label for concentration. If unlisted please contact technical services.

Shipping

The product is shipped with polar packs. Upon receipt, store it immediately at the temperature recommended below.

Stability & Storage

Store at -20C. Avoid freeze-thaw cycles.

Background: PLC-beta 3

Phosphoinositide-specific phospholipase C (PLC) plays a critical role in the initiation of receptor mediated signal transduction through the generation of the two second messengers, inositol 1, 4, 5-triphosphate and diacylglycerol from phosphatidylinositol 4, 5 bisphosphate. A total of eight mammalian PLC isozymes have been described (PLC beta1, PLC beta2, PLC beta3, PLC beta4, PLC gamma1, PLC gamma2, PLC delta1 and PLC delta2) with molecular weights ranging from 85 to 150 kDa. The gamma-type enzymes are unique in that they contain SH2 and SH3 domains. Moreover, the two gamma-type enzymes, but not the beta and delta isozymes, are subject to activation by a number of protein tyrosine kinases which associate with their SH2 domains and induce their activation by phosphoryation. In contrast, activation of PLC beta1, PLC beta2 and PLC beta3 is mediated by the alpha subunits of the Gq class of heterotrimeric G proteins and by certain betagamma G protein subunits. The regulatory mechanisms for PLC delta1 and PLC delta2 are as yet not resolved.

Long Name

Phospholipase C beta 3

Alternate Names

PLCB3, PLCbeta 3

Gene Symbol

PLCB3

Additional PLC-beta 3 Products

Product Documents for PLC-beta 3 Antibody - Azide and BSA Free

Certificate of Analysis

To download a Certificate of Analysis, please enter a lot number in the search box below.

Product Specific Notices for PLC-beta 3 Antibody - Azide and BSA Free

This product is for research use only and is not approved for use in humans or in clinical diagnosis. Primary Antibodies are guaranteed for 1 year from date of receipt.

Loading...
Loading...
Loading...
Loading...

⚠ WARNING: This product can expose you to chemicals including Methotrexate, which is known to the State of California to cause reproductive toxicity with developmental effects. For more information, go to www.P65Warnings.ca.gov