Skip to main content

PLC-beta 3 Antibody - BSA Free

Novus Biologicals, part of Bio-Techne | Catalog # NBP2-32026

Novus Biologicals, part of Bio-Techne
Catalog #
Availability
Size / Price
Qty
Loading...
NBP2-32026
NBP2-32026-25ul

Key Product Details

Validated by

Independent Antibodies

Species Reactivity

Human

Applications

Immunohistochemistry, Immunohistochemistry-Paraffin, Western Blot, Immunocytochemistry/ Immunofluorescence

Label

Unconjugated

Antibody Source

Polyclonal Rabbit IgG

Format

BSA Free

Concentration

Concentrations vary lot to lot. See vial label for concentration. If unlisted please contact technical services.

Product Specifications

Immunogen

This antibody was developed against a recombinant protein corresponding to amino acids: RILVKNKKRHRPSAGGPDSAGRKRPLEQSNSALSESSAATEPSSPQLGSPSSDSCPGLSNGEEVGLEKPSLEPQKSLGDEGLNRGPYVLGPADR

Reactivity Notes

Immunogen displays the following percentage of sequence identity for non-tested species: Mouse (84%), Rat (88%)

Clonality

Polyclonal

Host

Rabbit

Isotype

IgG

Description

Novus Biologicals Rabbit PLC-beta 3 Antibody - BSA Free (NBP2-32026) is a polyclonal antibody validated for use in IHC, WB and ICC/IF. All Novus Biologicals antibodies are covered by our 100% guarantee.

Scientific Data Images for PLC-beta 3 Antibody - BSA Free

Western Blot: PLC-beta 3 Antibody [NBP2-32026]

Western Blot: PLC-beta 3 Antibody [NBP2-32026]

Western Blot: PLC-beta 3 Antibody [NBP2-32026] - Analysis using Anti-PLCB3 antibody NBP2-32026 (A) shows similar pattern to independent antibody NBP2-31974 (B).
Immunocytochemistry/ Immunofluorescence: PLC-beta 3 Antibody [NBP2-32026]

Immunocytochemistry/ Immunofluorescence: PLC-beta 3 Antibody [NBP2-32026]

Immunocytochemistry/Immunofluorescence: PLC-beta 3 Antibody [NBP2-32026] - Immunofluorescent staining of human cell line MCF7 shows localization to nucleoplasm.
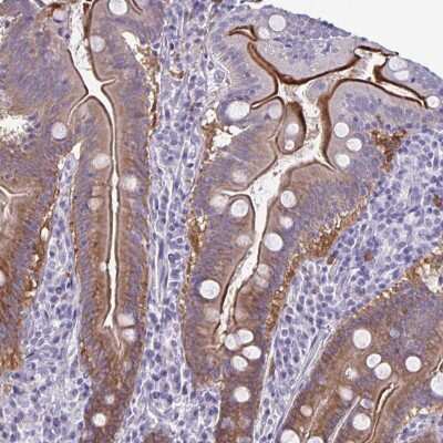
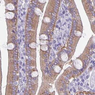
Immunohistochemistry-Paraffin: PLC-beta 3 Antibody [NBP2-32026]

Immunohistochemistry-Paraffin: PLC-beta 3 Antibody [NBP2-32026]

Immunohistochemistry-Paraffin: PLC-beta 3 Antibody [NBP2-32026] - Staining of human duodenum.

Applications for PLC-beta 3 Antibody - BSA Free

Application
Recommended Usage

Immunocytochemistry/ Immunofluorescence

0.25-2 ug/ml

Immunohistochemistry

1:200 - 1:500

Immunohistochemistry-Paraffin

1:200 - 1:500

Western Blot

0.04-0.4 ug/ml
Application Notes
For IHC-Paraffin, HIER pH 6 retrieval is recommended. Immunocytochemistry/Immunofluorescence Fixation Permeabilization: Use PFA/Triton X-100.

Formulation, Preparation, and Storage

Purification

Affinity purified

Formulation

PBS (pH 7.2) and 40% Glycerol

Format

BSA Free

Preservative

0.02% Sodium Azide

Concentration

Concentrations vary lot to lot. See vial label for concentration. If unlisted please contact technical services.

Shipping

The product is shipped with polar packs. Upon receipt, store it immediately at the temperature recommended below.

Stability & Storage

Store at 4C short term. Aliquot and store at -20C long term. Avoid freeze-thaw cycles.

Background: PLC-beta 3

Phosphoinositide-specific phospholipase C (PLC) plays a critical role in the initiation of receptor mediated signal transduction through the generation of the two second messengers, inositol 1, 4, 5-triphosphate and diacylglycerol from phosphatidylinositol 4, 5 bisphosphate. A total of eight mammalian PLC isozymes have been described (PLC beta1, PLC beta2, PLC beta3, PLC beta4, PLC gamma1, PLC gamma2, PLC delta1 and PLC delta2) with molecular weights ranging from 85 to 150 kDa. The gamma-type enzymes are unique in that they contain SH2 and SH3 domains. Moreover, the two gamma-type enzymes, but not the beta and delta isozymes, are subject to activation by a number of protein tyrosine kinases which associate with their SH2 domains and induce their activation by phosphoryation. In contrast, activation of PLC beta1, PLC beta2 and PLC beta3 is mediated by the alpha subunits of the Gq class of heterotrimeric G proteins and by certain betagamma G protein subunits. The regulatory mechanisms for PLC delta1 and PLC delta2 are as yet not resolved.

Long Name

Phospholipase C beta 3

Alternate Names

PLCB3, PLCbeta 3

Gene Symbol

PLCB3

UniProt

Additional PLC-beta 3 Products

Product Documents for PLC-beta 3 Antibody - BSA Free

Certificate of Analysis

To download a Certificate of Analysis, please enter a lot number in the search box below.

Product Specific Notices for PLC-beta 3 Antibody - BSA Free

This product is for research use only and is not approved for use in humans or in clinical diagnosis. Primary Antibodies are guaranteed for 1 year from date of receipt.

Loading...
Loading...
Loading...
Loading...