Skip to main content

PLC-beta 1 Antibody - BSA Free

Novus Biologicals, part of Bio-Techne | Catalog # NBP2-38220

Novus Biologicals, part of Bio-Techne
Catalog #
Availability
Size / Price
Qty
Loading...
NBP2-38220
NBP2-38220-25ul

Key Product Details

Species Reactivity

Validated:

Human

Cited:

Rat

Predicted:

Mouse (99%), Rat (99%). Backed by our 100% Guarantee.

Applications

Validated:

Immunohistochemistry, Immunohistochemistry-Paraffin, Western Blot

Cited:

Western Blot

Label

Unconjugated

Antibody Source

Polyclonal Rabbit IgG

Format

BSA Free

Concentration

Concentrations vary lot to lot. See vial label for concentration. If unlisted please contact technical services.

Product Specifications

Immunogen

This antibody was developed against a recombinant protein corresponding to amino acids: NKKKSHKSSEGSGKKKLSEQASNTYSDSSSMFEPSSPGAGEADTESDDDDDDDDCKKSSMDEGTAGSEAMATEEMSNLVN

Clonality

Polyclonal

Host

Rabbit

Isotype

IgG

Scientific Data Images for PLC-beta 1 Antibody - BSA Free

Western Blot: PLC-beta 1 Antibody [NBP2-38220]

Western Blot: PLC-beta 1 Antibody [NBP2-38220]

Western Blot: PLC-beta 1 Antibody [NBP2-38220] - Lane 1: Marker [kDa] 250, 130, 95, 72, 55, 36, 28, 17, 10. Lane 2: Human cell line RT-4. Lane 3: Human cell line U-251MG. Lane 4: Human Plasma
PLC-beta 1 Antibody - BSA Free

PLC-beta 1 Antibody [NBP2-38220] -

Staining of human Cerebral cortex shows moderate cytoplasmic positivity in neurons.
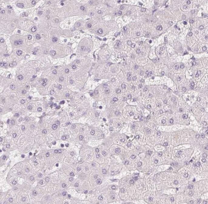
PLC-beta 1 Antibody - BSA Free

PLC-beta 1 Antibody [NBP2-38220] -

Staining of human Liver shows very weak cytoplasmic positivity in hepatocytes.

Applications for PLC-beta 1 Antibody - BSA Free

Application
Recommended Usage

Immunohistochemistry

1:1000 - 1:2500

Immunohistochemistry-Paraffin

1:1000 - 1:2500

Western Blot

0.04-0.4 ug/ml
Application Notes
For IHC-Paraffin, HIER pH 6 retrieval is recommended.

Formulation, Preparation, and Storage

Purification

Affinity purified

Formulation

PBS (pH 7.2) and 40% Glycerol

Format

BSA Free

Preservative

0.02% Sodium Azide

Concentration

Concentrations vary lot to lot. See vial label for concentration. If unlisted please contact technical services.

Shipping

The product is shipped with polar packs. Upon receipt, store it immediately at the temperature recommended below.

Stability & Storage

Store at 4C short term. Aliquot and store at -20C long term. Avoid freeze-thaw cycles.

Background: PLC-beta 1

Phospholipase C beta 1 is encoded by this gene catalyzes the formation of inositol 1,4,5-trisphosphate and diacylglycerol from phosphatidylinositol 4,5-bisphosphate. This reaction uses calcium as a cofactor and plays an important role in the intracellular transduction of many extracellular signals. This gene is activated by two G-protein alpha subunits, alpha-q and alpha-11. Two transcript variants encoding different isoforms have been found for this gene.

Long Name

Phospholipase C beta 1

Alternate Names

PI-PLC, PLC-154, PLC-I, PLCB1, PLCbeta 1

Gene Symbol

PLCB1

UniProt

Additional PLC-beta 1 Products

Product Documents for PLC-beta 1 Antibody - BSA Free

Certificate of Analysis

To download a Certificate of Analysis, please enter a lot number in the search box below.

Product Specific Notices for PLC-beta 1 Antibody - BSA Free

This product is for research use only and is not approved for use in humans or in clinical diagnosis. Primary Antibodies are guaranteed for 1 year from date of receipt.

Loading...
Loading...
Loading...
Loading...