Skip to main content

PLA2R1 Antibody (PLA2R1/4897) - Azide and BSA Free

Novus Biologicals, part of Bio-Techne | Catalog # NBP3-45049

Novus Biologicals, part of Bio-Techne
Catalog #
Availability
Size / Price
Qty
Loading...
NBP3-45049

Key Product Details

Species Reactivity

Human

Applications

Immunohistochemistry

Label

Unconjugated

Antibody Source

Monoclonal Mouse IgG1 kappa Clone # PLA2R1/4897

Format

Azide and BSA Free

Concentration

1 mg/ml

Product Specifications

Immunogen

Recombinant fragment (around aa300-600) of human PLA2R1 protein (Uniprot: Q13018). Exact sequence is proprietary.

Localization

Cell membrane, Secreted

Clonality

Monoclonal

Host

Mouse

Isotype

IgG1 kappa

Theoretical MW

180 kDa.
Disclaimer note: The observed molecular weight of the protein may vary from the listed predicted molecular weight due to post translational modifications, post translation cleavages, relative charges, and other experimental factors.

Description

1.0 mg/ml of antibody purified from Bioreactor Concentrate by Protein L. Prepared in 10mM PBS WITHOUT BSA & azide. Also available at 200 ug/ml WITH BSA & azide (NBP3-44599).

Antibody with azide - store at 2 to 8C. Antibody without azide - store at -20 to -80C. Non-hazardous. No MSDS required.

Scientific Data Images for PLA2R1 Antibody (PLA2R1/4897) - Azide and BSA Free

PLA2R1 Antibody (PLA2R1/4897) - Azide and BSA Free

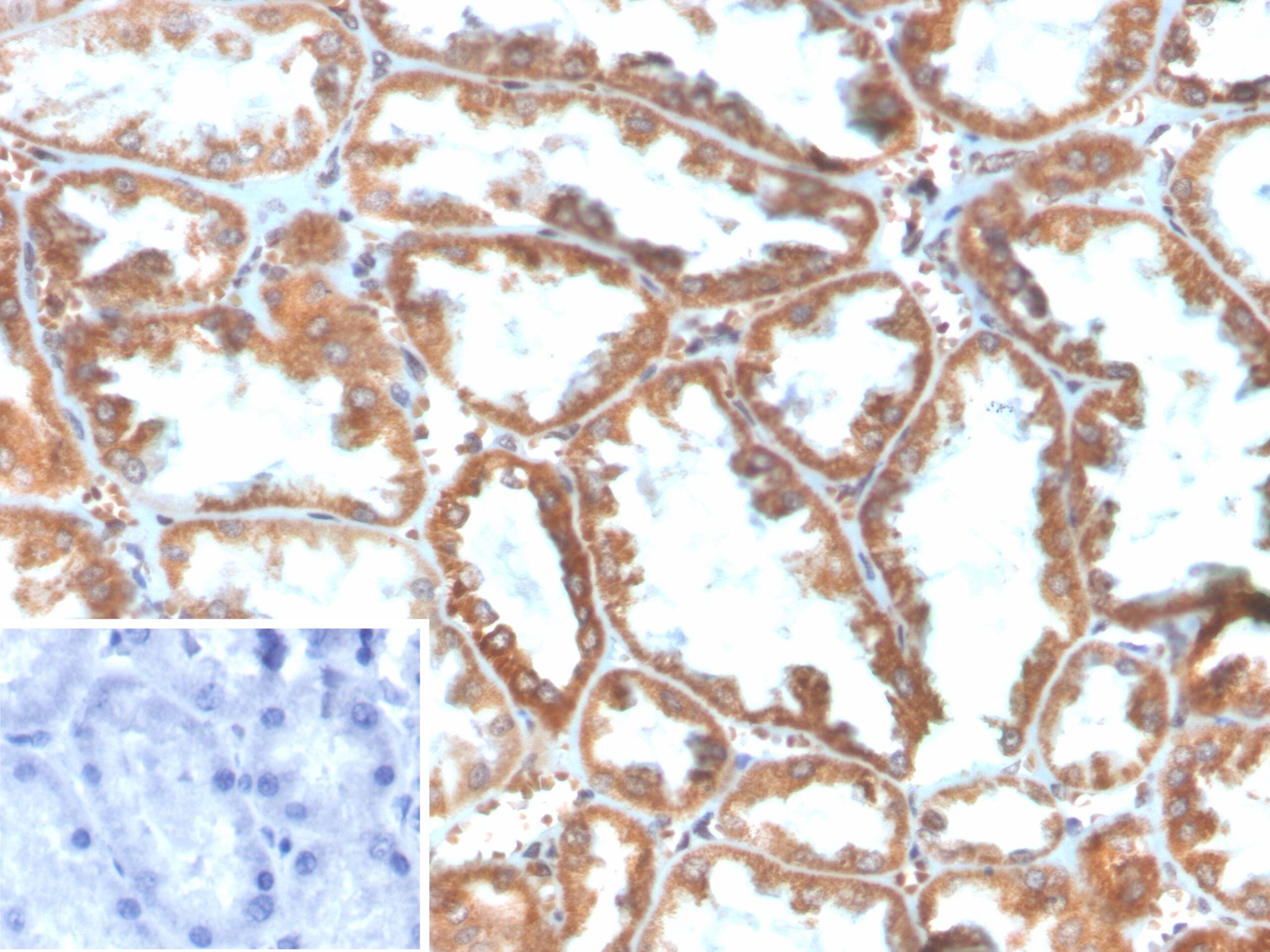
Immunohistochemistry-Paraffin: PLA2R1 Antibody (PLA2R1/4897) - Azide and BSA Free [NBP3-45049] -

Formalin-fixed, paraffin-embedded human kidney stained with PLA2R1 Antibody (PLA2R1/4897) - Azide and BSA Free. Inset: PBS instead of primary antibody; secondary only negative control.

Applications for PLA2R1 Antibody (PLA2R1/4897) - Azide and BSA Free

Application
Recommended Usage

Immunohistochemistry

: 1-2ug/ml
Application Notes
Immunohistochemistry: 30 min at RT. Staining of formalin-fixed tissues requires heating tissue sections in 10mM Tris with 1mM EDTA, pH 9.0, for 45 min at 95C followed by cooling at RT for 20 minutes.

Formulation, Preparation, and Storage

Purification

Protein L purified

Formulation

10 mM PBS

Format

Azide and BSA Free

Preservative

No Preservative

Concentration

1 mg/ml

Shipping

The product is shipped with polar packs. Upon receipt, store it immediately at the temperature recommended below.

Stability & Storage

Store at -20 to -80C. Avoid freeze-thaw cycles.

Background: PLA2R1

Secretory phospholipases A2 (PLA2s) have been purified from a variety of mammalian tissues as well as from insect and snake venoms. The prototype group I PLA2, the pancreatic PLA2 (PLA2G1B; MIM 172410), is involved in digestion, smooth muscle contraction, and cell proliferation. The prototype group II PLA2, the inflammatory-type PLA2 (PLA2G2A; MIM 172411), is involved in inflammatory conditions and is upregulated by proinflammatory cytokines like tumor necrosis factor (TNF; MIM 191160) and interleukin-1 (e.g., IL1B; MIM 147720). Differential toxicity of snake venom Pla2 appears to be linked to a variety of high-affinity receptors in different organs (Ancian et al., 1995 (PubMed 7721806)).(supplied by OMIM)

Long Name

Phospholipase A2 Receptor 1, 180kDa

Alternate Names

CLEC13C, PLA2G1R

Gene Symbol

PLA2R1

Additional PLA2R1 Products

Product Documents for PLA2R1 Antibody (PLA2R1/4897) - Azide and BSA Free

Certificate of Analysis

To download a Certificate of Analysis, please enter a lot number in the search box below.

Product Specific Notices for PLA2R1 Antibody (PLA2R1/4897) - Azide and BSA Free

This product is for research use only and is not approved for use in humans or in clinical diagnosis. Primary Antibodies are guaranteed for 1 year from date of receipt.

Loading...
Loading...
Loading...
Loading...