Skip to main content

PLA2G3 Antibody - BSA Free

Novus Biologicals, part of Bio-Techne | Catalog # NBP1-83367

Novus Biologicals, part of Bio-Techne
Catalog #
Availability
Size / Price
Qty
Loading...
NBP1-83367
NBP1-83367-25ul

Key Product Details

Species Reactivity

Human

Applications

Immunohistochemistry, Immunohistochemistry-Paraffin, Western Blot

Label

Unconjugated

Antibody Source

Polyclonal Rabbit IgG

Format

BSA Free

Concentration

Concentrations vary lot to lot. See vial label for concentration. If unlisted please contact technical services.

Product Specifications

Immunogen

This antibody was developed against Recombinant Protein corresponding to amino acids: SPPEVTNMLWELLGTTCFKLAPPLDCVEGKNCSRDPRAIRVSARHLRRLQQRRHQLQDKGTDERQPWPSEPLRGPMSFYNQCLQLTQAARRPDRQQKSWSQ

Clonality

Polyclonal

Host

Rabbit

Isotype

IgG

Scientific Data Images for PLA2G3 Antibody - BSA Free

Western Blot: PLA2G3 Antibody [NBP1-83367]

Western Blot: PLA2G3 Antibody [NBP1-83367]

Western Blot: PLA2G3 Antibody [NBP1-83367] - Analysis in control (vector only transfected HEK293T lysate) and PLA2G3 over-expression lysate (Co-expressed with a C-terminal myc-DDK tag (3.1 kDa) in mammalian HEK293T cells).
PLA2G3 Antibody

Immunohistochemistry-Paraffin: PLA2G3 Antibody [NBP1-83367] -

Immunohistochemistry-Paraffin: PLA2G3 Antibody [NBP1-83367] - Staining of human skin shows moderate membranous and cytoplasmic positivity in squamous epithelial cells.
PLA2G3 Antibody

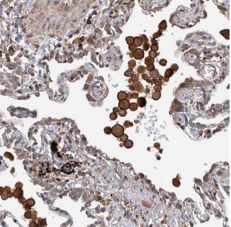
Immunohistochemistry-Paraffin: PLA2G3 Antibody [NBP1-83367] -

Immunohistochemistry-Paraffin: PLA2G3 Antibody [NBP1-83367] - Staining of human lung shows strong membranous and cytoplasmic positivity in macrophages.

Applications for PLA2G3 Antibody - BSA Free

Application
Recommended Usage

Immunohistochemistry

1:200 - 1:500

Immunohistochemistry-Paraffin

1:200 - 1:500

Western Blot

0.04-0.4 ug/ml
Application Notes
For IHC-Paraffin, HIER pH 6 retrieval is recommended.

Formulation, Preparation, and Storage

Purification

Affinity purified

Formulation

PBS (pH 7.2) and 40% Glycerol

Format

BSA Free

Preservative

0.02% Sodium Azide

Concentration

Concentrations vary lot to lot. See vial label for concentration. If unlisted please contact technical services.

Shipping

The product is shipped with polar packs. Upon receipt, store it immediately at the temperature recommended below.

Stability & Storage

Store at 4C short term. Aliquot and store at -20C long term. Avoid freeze-thaw cycles.

Background: PLA2G3

PLA2G3 belongs to the family of secreted phospholipase A2 (sPLA2; EC 3.1.1.4) proteins. These Ca(2+)-dependent lipolytic enzymes have a conserved Ca(2+)-binding loop and a his-asp dyad in the catalytic site (Murakami et al., 2003 [PubMed 12522102]).[supplied by OMIM]

Long Name

Phospholipase A2 Group III

Alternate Names

GIII SPLA2, GIII-SPLA2, SPLA2-III, SPLA2III

Gene Symbol

PLA2G3

Additional PLA2G3 Products

Product Documents for PLA2G3 Antibody - BSA Free

Certificate of Analysis

To download a Certificate of Analysis, please enter a lot number in the search box below.

Product Specific Notices for PLA2G3 Antibody - BSA Free

This product is for research use only and is not approved for use in humans or in clinical diagnosis. Primary Antibodies are guaranteed for 1 year from date of receipt.

Loading...
Loading...
Loading...
Loading...