Skip to main content

PKN1 Antibody - BSA Free

Novus Biologicals, part of Bio-Techne | Catalog # NBP1-85301

Novus Biologicals, part of Bio-Techne
Catalog #
Availability
Size / Price
Qty
Loading...
NBP1-85301
NBP1-85301-25ul

Key Product Details

Species Reactivity

Human, Mouse, Rat

Applications

Immunohistochemistry, Immunohistochemistry-Paraffin, Western Blot

Label

Unconjugated

Antibody Source

Polyclonal Rabbit IgG

Format

BSA Free

Concentration

Concentrations vary lot to lot. See vial label for concentration. If unlisted please contact technical services.

Product Specifications

Immunogen

This antibody was developed against Recombinant Protein corresponding to amino acids: QKLGLLREALERRLGELPADHPKGRLLREELAAASSAAFSTRLAGPFPATHYSTLCKPAPLTGTLEVRVVGCRDLPETIPWNPTPSMGGPGTPDSRPPFLSRPARGLYSRSGSLSGRSSLKAEAENTSEVS

Clonality

Polyclonal

Host

Rabbit

Isotype

IgG

Scientific Data Images for PKN1 Antibody - BSA Free

Western Blot: PKN1 Antibody [NBP1-85301]

Western Blot: PKN1 Antibody [NBP1-85301]

Western Blot: PKN1 Antibody [NBP1-85301] - Analysis in mouse cell line NIH-3T3 and rat cell line NBT-II.
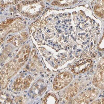
Immunohistochemistry-Paraffin: PKN1 Antibody [NBP1-85301]

Immunohistochemistry-Paraffin: PKN1 Antibody [NBP1-85301]

Immunohistochemistry-Paraffin: PKN1 Antibody [NBP1-85301] - Staining of human kidney shows strong cytoplasmic positivity in cells in tubules.
Western Blot: PKN1 Antibody [NBP1-85301]

Western Blot: PKN1 Antibody [NBP1-85301]

Western Blot: PKN1 Antibody [NBP1-85301] - Analysis in human cell line SCLC-21H.

Applications for PKN1 Antibody - BSA Free

Application
Recommended Usage

Immunohistochemistry

1:50 - 1:200

Immunohistochemistry-Paraffin

1:50 - 1:200

Western Blot

0.04-0.4 ug/ml
Application Notes
For IHC-Paraffin, HIER pH 6 retrieval is recommended.

Formulation, Preparation, and Storage

Purification

Affinity purified

Formulation

PBS (pH 7.2) and 40% Glycerol

Format

BSA Free

Preservative

0.02% Sodium Azide

Concentration

Concentrations vary lot to lot. See vial label for concentration. If unlisted please contact technical services.

Shipping

The product is shipped with polar packs. Upon receipt, store it immediately at the temperature recommended below.

Stability & Storage

Store at 4C short term. Aliquot and store at -20C long term. Avoid freeze-thaw cycles.

Background: PKN1

PKN1 is encoded by this gene belongs to the protein kinase C superfamily. This kinase is activated by Rho family of small G proteins and may mediate the Rho-dependent signaling pathway. This kinase can be activated by phospholipids and by limited proteolysis. The 3-phosphoinositide dependent protein kinase-1 (PDPK1/PDK1) is reported to phosphorylate this kinase, which may mediate insulin signals to the actin cytoskeleton. The proteolytic activation of this kinase by caspase-3 or related proteases during apoptosis suggests its role in signal transduction related to apoptosis. Alternatively spliced transcript variants encoding distinct isoforms have been observed. [provided by RefSeq]

Long Name

Serine/Threonine Protein Kinase N1

Alternate Names

DBK, PAK1, PKN, PKN-ALPHA, PRK1, PRKCL1

Gene Symbol

PKN1

Additional PKN1 Products

Product Documents for PKN1 Antibody - BSA Free

Certificate of Analysis

To download a Certificate of Analysis, please enter a lot number in the search box below.

Product Specific Notices for PKN1 Antibody - BSA Free

This product is for research use only and is not approved for use in humans or in clinical diagnosis. Primary Antibodies are guaranteed for 1 year from date of receipt.

Loading...
Loading...
Loading...
Loading...