Skip to main content

PKM2 Antibody - BSA Free

Novus Biologicals, part of Bio-Techne | Catalog # NBP2-19852

Novus Biologicals, part of Bio-Techne
Catalog #
Availability
Size / Price
Qty
Loading...
NBP2-19852

Key Product Details

Validated by

Knockout/Knockdown

Species Reactivity

Human, Mouse, Rat

Applications

Immunohistochemistry, Immunohistochemistry-Paraffin, Western Blot, Immunocytochemistry/ Immunofluorescence

Label

Unconjugated

Antibody Source

Polyclonal Rabbit IgG

Format

BSA Free

Concentration

Concentrations vary lot to lot. See vial label for concentration. If unlisted please contact technical services.

Product Specifications

Immunogen

Recombinant protein encompassing a sequence within the center region of human PKM2. The exact sequence is proprietary.

Localization

Cytoplasm; Nucleus

Clonality

Polyclonal

Host

Rabbit

Isotype

IgG

Theoretical MW

58 kDa.
Disclaimer note: The observed molecular weight of the protein may vary from the listed predicted molecular weight due to post translational modifications, post translation cleavages, relative charges, and other experimental factors.

Description

Novus Biologicals Rabbit PKM2 Antibody - BSA Free (NBP2-19852) is a polyclonal antibody validated for use in IHC, WB and ICC/IF. All Novus Biologicals antibodies are covered by our 100% guarantee.

Scientific Data Images for PKM2 Antibody - BSA Free

Western Blot: PKM2 Antibody [NBP2-19852]

Western Blot: PKM2 Antibody [NBP2-19852]

Western Blot: PKM2 Antibody [NBP2-19852] - Non-transfected (-) and transfected (+) 293T whole cell extracts (30 ug) were separated by 7.5% SDS-PAGE, and the membrane was blotted with PKM antibody.
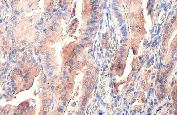
Immunohistochemistry-Paraffin: PKM2 Antibody [NBP2-19852]

Immunohistochemistry-Paraffin: PKM2 Antibody [NBP2-19852]

Immunohistochemistry-Paraffin: PKM2 Antibody [NBP2-19852] - antibody detects PKM2 protein at cytosol on RT2 xenograft by immunohistochemical analysis. Sample: Paraffin-embedded RT2 xenograft. Pyruvate Kinase (muscle) antibody dilution: 1:500.
Western Blot: PKM2 Antibody [NBP2-19852]

Western Blot: PKM2 Antibody [NBP2-19852]

Western Blot: PKM2 Antibody [NBP2-19852] - Sample (30 ug of whole cell lysate) A: A431 7. 5% SDS PAGE gel, diluted at 1:5000.

Applications for PKM2 Antibody - BSA Free

Application
Recommended Usage

Immunocytochemistry/ Immunofluorescence

1:100-1:1000

Immunohistochemistry

10 - 1:500

Immunohistochemistry-Paraffin

1:100-1:1000

Western Blot

1:1000-1:20000

Formulation, Preparation, and Storage

Purification

Antigen Affinity-purified

Formulation

0.1M Tris, 0.1M Glycine, 20% Glycerol

Format

BSA Free

Preservative

0.01% Thimerosal

Concentration

Concentrations vary lot to lot. See vial label for concentration. If unlisted please contact technical services.

Shipping

The product is shipped with polar packs. Upon receipt, store it immediately at the temperature recommended below.

Stability & Storage

Aliquot and store at -20C or -80C. Avoid freeze-thaw cycles.

Background: PKM2

The protein encoded by this gene is a pyruvate kinase that catalyzes the production of phosphoenolpyruvate from pyruvate and ATP. This protein has been shown to interact with thyroid hormone, and thus may mediate cellular metabolic effects induced by thyroid hormones. This protein has been found to bind Opa protein, a bacterial outer membrane protein involved in gonococcal adherence to and invasion of human cells, suggesting a role of this protein in bacterial pathogenesis. Three alternatively spliced transcript variants encoding two distinct isoforms have been reported. [provided by RefSeq]

Long Name

Pyruvate Kinase, Muscle

Alternate Names

CTHBP, OIP3, p58, PK2, PK3, TCB, THBP1, Tumor M2-PK

Gene Symbol

PKM

UniProt

Additional PKM2 Products

Product Documents for PKM2 Antibody - BSA Free

Certificate of Analysis

To download a Certificate of Analysis, please enter a lot number in the search box below.

Product Specific Notices for PKM2 Antibody - BSA Free

This product is for research use only and is not approved for use in humans or in clinical diagnosis. Primary Antibodies are guaranteed for 1 year from date of receipt.

Loading...
Loading...
Loading...
Loading...

⚠ WARNING: This product can expose you to chemicals including mercury, which is known to the State of California to cause reproductive toxicity with developmental effects.  For more information go to www.P65Warnings.ca.gov.