Skip to main content

PKLR Antibody - Azide and BSA Free

Novus Biologicals, part of Bio-Techne | Catalog # NBP2-97071

Novus Biologicals, part of Bio-Techne

Key Product Details

Species Reactivity

Human

Applications

ELISA, Immunohistochemistry, Immunohistochemistry-Paraffin

Label

Unconjugated

Antibody Source

Polyclonal Rabbit IgG

Format

Azide and BSA Free

Concentration

Please see the vial label for concentration. If unlisted please contact technical services.

Product Specifications

Immunogen

Produced in rabbits immunized with purified, recombinant Human PKLR (Accession#: NP_000289.1; Leu47-Ser574)

Clonality

Polyclonal

Host

Rabbit

Isotype

IgG

Description

This antibody can be stored at 2C to 8C for one month without detectable loss of activity. Antibody products are stable for twelve months from date of receipt when stored at -20C to -80C. Avoid repeated freeze-thaw cycles.

Scientific Data Images for PKLR Antibody - Azide and BSA Free

Immunohistochemistry-Paraffin: PKLR Antibody [NBP2-97071]

Immunohistochemistry-Paraffin: PKLR Antibody [NBP2-97071]

Immunohistochemistry-Paraffin: PKLR Antibody [NBP2-97071] - Immunochemical staining of human PKLR in human muscle with rabbit polyclonal antibody (1:2000, formalin-fixed paraffin embedded sections).
Immunohistochemistry-Paraffin: PKLR Antibody [NBP2-97071]

Immunohistochemistry-Paraffin: PKLR Antibody [NBP2-97071]

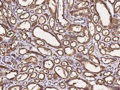
Immunohistochemistry-Paraffin: PKLR Antibody [NBP2-97071] - Immunochemical staining of human PKLR in human kidney with rabbit polyclonal antibody (1:2000, formalin-fixed paraffin embedded sections).
Immunohistochemistry-Paraffin: PKLR Antibody [NBP2-97071]

Immunohistochemistry-Paraffin: PKLR Antibody [NBP2-97071]

Immunohistochemistry-Paraffin: PKLR Antibody [NBP2-97071] - Immunochemical staining of human PKLR in human liver with rabbit polyclonal antibody (1:2000, formalin-fixed paraffin embedded sections).

Applications for PKLR Antibody - Azide and BSA Free

Application
Recommended Usage

ELISA

1:5000-1:10000

Immunohistochemistry

1:1000-1:4000

Immunohistochemistry-Paraffin

1:1000-1:4000

Formulation, Preparation, and Storage

Purification

Antigen and protein A Affinity-purified

Formulation

0.2 um filtered solution in PBS

Format

Azide and BSA Free

Preservative

No Preservative

Concentration

Please see the vial label for concentration. If unlisted please contact technical services.

Shipping

The product is shipped with polar packs. Upon receipt, store it immediately at the temperature recommended below.

Stability & Storage

Store at 4C short term. Aliquot and store at -20C long term. Avoid freeze-thaw cycles.

Background: PKLR

The protein encoded by the Pyruvate Kinase gene is a pyruvate kinase that catalyzes the transphosphorylation of phosphoenolpyruvate into pyruvate and ATP, which is the rate-limiting step of glycolysis. Defects in this enzyme, due to gene mutations or genetic variations, are the common cause of chronic hereditary nonspherocytic hemolytic anemia (CNSHA or HNSHA). Multiple transcript variants encoding different isoforms have been found for this gene. (provided by RefSeq)

Long Name

Pyruvate Kinase, Liver And RBC

Alternate Names

PK1, PKL, Pyruvate Kinase 1, RPK

Gene Symbol

PKLR

Additional PKLR Products

Product Documents for PKLR Antibody - Azide and BSA Free

Certificate of Analysis

To download a Certificate of Analysis, please enter a lot number in the search box below.

Product Specific Notices for PKLR Antibody - Azide and BSA Free

This product is for research use only and is not approved for use in humans or in clinical diagnosis. Primary Antibodies are guaranteed for 1 year from date of receipt.

Loading...
Loading...
Loading...
Loading...