Skip to main content

PKC epsilon Antibody (OTI4G8)

Novus Biologicals, part of Bio-Techne | Catalog # NBP2-03620

Novus Biologicals, part of Bio-Techne
Catalog #
Availability
Size / Price
Qty
Loading...
NBP2-03620

Key Product Details

Species Reactivity

Human, Mouse, Rat, Monkey, Primate

Applications

Immunohistochemistry, Immunohistochemistry-Paraffin, Western Blot, Flow Cytometry, Immunocytochemistry/ Immunofluorescence

Label

Unconjugated

Antibody Source

Monoclonal Mouse IgG2B Clone # OTI4G8

Concentration

0.5 mg/ml

Product Specifications

Immunogen

Full length human recombinant protein of human PRKCE (NP_005391) produced in HEK293T cell.

Reactivity Notes

Please note that this antibody is reactive to Mouse and derived from the same host, Mouse. Mouse-On-Mouse blocking reagent may be needed for IHC and ICC experiments to reduce high background signal. You can find these reagents under catalog numbers PK-2200-NB and MP-2400-NB. Please contact Technical Support if you have any questions.

Clonality

Monoclonal

Host

Mouse

Isotype

IgG2B

Theoretical MW

83.5 kDa.
Disclaimer note: The observed molecular weight of the protein may vary from the listed predicted molecular weight due to post translational modifications, post translation cleavages, relative charges, and other experimental factors.

Description

Novus Biologicals Mouse PKC epsilon Antibody (OTI4G8) (NBP2-03620) is a monoclonal antibody validated for use in IHC, WB, Flow and ICC/IF. All Novus Biologicals antibodies are covered by our 100% guarantee.

Scientific Data Images for PKC epsilon Antibody (OTI4G8)

Western Blot: PKC epsilon Antibody (4G8) [NBP2-03620] Analysis of extracts (35ug) from 9 different cell lines by usin g anti-PKC epsilon monoclonal antibody (HepG2: human; HeLa: human; SVT2: mouse; A549: human; COS7: monkey; Jurkat: human; MDCK: canine; PC12: rat; MCF7: human).
Immunocytochemistry/ Immunofluorescence: PKC epsilon Antibody (OTI4G8) [NBP2-03620]

Immunocytochemistry/ Immunofluorescence: PKC epsilon Antibody (OTI4G8) [NBP2-03620]

Immunocytochemistry/Immunofluorescence: PKC epsilon Antibody (4G8) [NBP2-03620] - Staining of COS7 cells transiently transfected by pCMV6-ENTRY PKC epsilon.
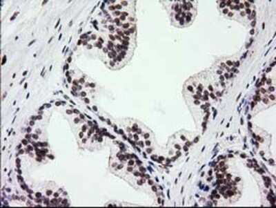
Immunohistochemistry-Paraffin: PKC epsilon Antibody (OTI4G8) [NBP2-03620]

Immunohistochemistry-Paraffin: PKC epsilon Antibody (OTI4G8) [NBP2-03620]

Immunohistochemistry-Paraffin: PKC epsilon Antibody (4G8) [NBP2-03620] - Staining of paraffin-embedded Human prostate tissue using anti-PKC epsilon mouse monoclonal antibody.

Applications for PKC epsilon Antibody (OTI4G8)

Application
Recommended Usage

Flow Cytometry

1:100

Immunocytochemistry/ Immunofluorescence

1:100

Immunohistochemistry

1:150

Immunohistochemistry-Paraffin

1:150

Western Blot

1:1000-2000

Formulation, Preparation, and Storage

Purification

Immunogen affinity purified

Formulation

PBS (pH 7.3), 1.0% BSA and 50% Glycerol

Preservative

0.02% Sodium Azide

Concentration

0.5 mg/ml

Shipping

The product is shipped with polar packs. Upon receipt, store it immediately at the temperature recommended below.

Stability & Storage

Store at -20C. Avoid freeze-thaw cycles.

Background: PKC epsilon

Protein kinase C (PKC) is a family of serine- and threonine-specific protein kinases that can be activated by calcium and the second messenger diacylglycerol. PKC family members phosphorylate a wide variety of protein targets and are known to be involved in diverse cellular signaling pathways. PKC family members also serve as major receptors for phorbol esters, a class of tumor promoters. Each member of the PKC family has a specific expression profile and is believed to play a distinct role in cells. The protein encoded by this gene is one of the PKC family members. This kinase has been shown to be involved in many different cellular functions, such as neuron channel activation, apoptosis, cardioprotection from ischemia, heat shock response, as well as insulin exocytosis. Knockout studies in mice suggest that this kinase is important for lipopolysaccharide (LPS)-mediated signaling in activated macrophages and may also play a role in controlling anxiety-like behavior. [provided by RefSeq].

Long Name

Protein Kinase C epsilon

Alternate Names

PKCE, PRKCE

Entrez Gene IDs

5581 (Human)

Gene Symbol

PRKCE

Additional PKC epsilon Products

Product Documents for PKC epsilon Antibody (OTI4G8)

Certificate of Analysis

To download a Certificate of Analysis, please enter a lot number in the search box below.

Product Specific Notices for PKC epsilon Antibody (OTI4G8)

This product is for research use only and is not approved for use in humans or in clinical diagnosis. Primary Antibodies are guaranteed for 1 year from date of receipt.

Loading...
Loading...
Loading...
Loading...
Loading...