Skip to main content

PKC alpha Antibody (MC5) - Azide and BSA Free

Novus Biologicals, part of Bio-Techne | Catalog # NBP2-80911

Novus Biologicals, part of Bio-Techne
Catalog #
Availability
Size / Price
Qty
Loading...
NBP2-80911
Forumulation
Catalog #

Key Product Details

Species Reactivity

Human, Mouse, Rat, Porcine, Baboon, Bovine, Canine, Chicken, Fish, Monkey, Rabbit, Sheep, Zebrafish

Applications

Immunohistochemistry, Immunohistochemistry-Paraffin, Immunohistochemistry-Frozen, Western Blot, ELISA, Flow Cytometry, Immunocytochemistry/ Immunofluorescence, Immunoprecipitation, Radioimmunoassay

Label

Unconjugated

Antibody Source

Monoclonal Mouse IgG2A Clone # MC5

Format

Azide and BSA Free

Concentration

1 mg/ml

Product Specifications

Immunogen

Purified bovine brain Protein Kinase C

Reactivity Notes

Chicken reactivity reported in scientific literature (PMID: 26719241).

Clonality

Monoclonal

Host

Mouse

Isotype

IgG2A

Description

Novus Biologicals Mouse PKC alpha Antibody (MC5) - Azide and BSA Free (NB600-201) is a monoclonal antibody validated for use in IHC, WB, ELISA, Flow, ICC/IF and IP. All Novus Biologicals antibodies are covered by our 100% guarantee.

Scientific Data Images for PKC alpha Antibody (MC5) - Azide and BSA Free

Immunocytochemistry/ Immunofluorescence: PKC alpha Antibody (MC5) - Azide and BSA Free [NBP2-80911]

Immunocytochemistry/ Immunofluorescence: PKC alpha Antibody (MC5) - Azide and BSA Free [NBP2-80911]

Immunocytochemistry/Immunofluorescence: PKC alpha Antibody (MC5) - Azide and BSA Free [NBP2-80911] - PKC alpha (MC5) antibody was tested in SH-SY5Y cells with Dylight 488 (green). Nuclei and beta-tubulin were counterstained with DAPI (blue) and Dylight 550 (red). Image from the standard format of this antibody.
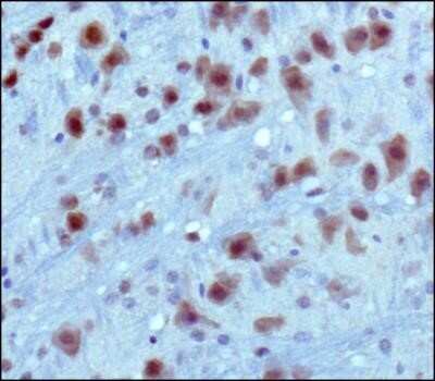
Immunohistochemistry: PKC alpha Antibody (MC5) - Azide and BSA Free [NBP2-80911]

Immunohistochemistry: PKC alpha Antibody (MC5) - Azide and BSA Free [NBP2-80911]

Immunohistochemistry: PKC alpha Antibody (MC5) - Azide and BSA Free [NBP2-80911] - IHC staining of PKC alpha in mouse brain using DAB with hematoxylin counterstain. Image from the standard format of this antibody.
Flow Cytometry: PKC alpha Antibody (MC5) - Azide and BSA Free [NBP2-80911]

Flow Cytometry: PKC alpha Antibody (MC5) - Azide and BSA Free [NBP2-80911]

Flow Cytometry: PKC alpha Antibody (MC5) - Azide and BSA Free [NBP2-80911] - Detection of PKC alpha in Human HeLa Cell Line by Flow Cytometry. Human HeLa cell line was stained with Mouse Anti- PKC alpha Monoclonal Antibody (Catalog # NB600-201, filled histogram), or Mouse IgG2A isotype control (Catalog # MAB003, open histogram) followed by APC-conjugated Anti-Mouse IgG Secondary Antibody (Catalog # F0101B). To facilitate intracellular staining, cells were fixed with Flow Cytometry Fixation Buffer (Catalog # FC004) and permeabilized with Flow Cytometry Permeabilization/Wash Buffer I (Catalog # FC005). Images may not be copied, printed or otherwise disseminated without express written permission of Novus Biologicals a Bio-Techne brand. Image from the standard format of this antibody.

Applications for PKC alpha Antibody (MC5) - Azide and BSA Free

Application
Recommended Usage

ELISA

1:100-1:2000

Flow Cytometry

1:10-1:1000

Immunocytochemistry/ Immunofluorescence

1:100-1:500

Immunohistochemistry

1:200-1:500

Immunohistochemistry-Frozen

1:200-1:500

Immunohistochemistry-Paraffin

1:200-1:500

Immunoprecipitation

1:10-1:100

Western Blot

1:1000
Application Notes
This PKC alpha Antibody (MC5) is useful for Western blot, ELISA, Flow Cytometry, Immunocytochemistry/Immunofluorescence, Immunohistochemistry on frozen and paraffin-embedded sections, Immunoprecipitation and Radioimmunoassay. In WB a band can be seen at ~75 kDa representing PKC alpha.

Formulation, Preparation, and Storage

Purification

Protein A purified

Formulation

Tris-Glycine, 0.15 M NaCl

Format

Azide and BSA Free

Preservative

No Preservative

Concentration

1 mg/ml

Shipping

The product is shipped with polar packs. Upon receipt, store it immediately at the temperature recommended below.

Stability & Storage

Store at 4C short term. Aliquot and store at -20C long term. Avoid freeze-thaw cycles.

Background: PKC alpha

Protein Kinase C (PKC) refers to a family of serine/threonine protein kinases grouped by their activation mechanisms. PKC alpha belongs to the conventional PKC group, alongside Beta-I, Beta-II, and Gamma, and is activated by phosphatidylserine in a calcium dependent manner. Furthermore, PKC alpha is localized to the membrane and cytoplasm, but in some cases can translocate to the nucleus. PKC alpha helps to positively and negatively regulate cell proliferation, apoptosis, differentiation, adhesion, and migration via phosphorylation of RAF1, BCL2, CSPG4, TNNT2/CTNT, or MAPK1/3. It also exhibits positive interactions with ADAP1/CENTA1, CSPG4 and PRKCABP. PKC alpha demonstrates anti-apoptotic function in glioma cells and protects them from apoptosis by suppressing the p53/TP53-mediated activation of IGFBP3 (PMCID: PMC1360842). Additional research has shown PKC alpha's involvement in cellular inflammation (PMCID: PMC3080812).

Long Name

Protein Kinase C alpha

Alternate Names

PKCA, PRKCA

Gene Symbol

PRKCA

Additional PKC alpha Products

Product Documents for PKC alpha Antibody (MC5) - Azide and BSA Free

Certificate of Analysis

To download a Certificate of Analysis, please enter a lot number in the search box below.

Product Specific Notices for PKC alpha Antibody (MC5) - Azide and BSA Free

This product is for research use only and is not approved for use in humans or in clinical diagnosis. Primary Antibodies are guaranteed for 1 year from date of receipt.

Loading...
Loading...
Loading...
Loading...
Loading...
Loading...