Skip to main content

PKC alpha Antibody (133)

Novus Biologicals, part of Bio-Techne | Catalog # NBP3-07334

Novus Biologicals, part of Bio-Techne
Catalog #
Availability
Size / Price
Qty
Loading...
NBP3-07334-100ug
NBP3-07334-20ug

Key Product Details

Species Reactivity

Human, Mouse, Rat

Applications

Immunohistochemistry-Paraffin, Western Blot

Label

Unconjugated

Antibody Source

Monoclonal Mouse IgG2a Kappa Clone # 133

Concentration

0.2 mg/ml

Product Specifications

Immunogen

Full-length protein corresponding to PKC alpha. Recognizes sequence PQFVHPILQSAV at the C terminus at PKCalpha. (Uniprot: P17252)

Localization

Cytoplasm, Cell Membrane, Nucleus

Clonality

Monoclonal

Host

Mouse

Isotype

IgG2a Kappa

Theoretical MW

77 kDa.
Disclaimer note: The observed molecular weight of the protein may vary from the listed predicted molecular weight due to post translational modifications, post translation cleavages, relative charges, and other experimental factors.

Description

200ug/ml of antibody purified from Bioreactor Concentrate by Protein A or G. Prepared in 10 mM PBS with 0.05% BSA & 0.05% azide. Also available WITHOUT BSA & azide at 1.0 mg/ml. (NBP3-08229)

Antibody with azide - store at 2 to 8C. Antibody without azide - store at -20 to -80 C.

Scientific Data Images for PKC alpha Antibody (133)

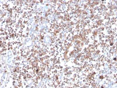
Immunohistochemistry-Paraffin: PKC alpha Antibody (133) [NBP3-07334]

Immunohistochemistry-Paraffin: PKC alpha Antibody (133) [NBP3-07334]

Immunohistochemistry-Paraffin: PKC alpha Antibody (133) [NBP3-07334] - Formalin-fixed, paraffin-embedded human tonsil stained with PKC alpha Mouse Monoclonal Antibody (133).
PKC alpha Antibody (133)

Immunohistochemistry-Paraffin: PKC alpha Antibody (133) [NBP3-07334] -

Immunohistochemistry-Paraffin: PKC alpha Antibody (133) [NBP3-07334] - Formalin-fixed, paraffin-embedded human tonsil stained with PKC alpha Mouse Monoclonal Antibody (133).

Applications for PKC alpha Antibody (133)

Application
Recommended Usage

Immunohistochemistry-Paraffin

1-2 ug/ml

Western Blot

1-2 ug/ml
Application Notes
Immunohistochemistry (Formalin-fixed): 1-2ug/ml for 30 minutes at RT. Staining of formalin-fixed tissues requires boiling tissue sections in 10mM Tris with 1mM EDTA, pH 9.0, for 10-20 min followed by cooling at RT for 20 minutes.
Optimal dilution for a specific application should be determined.

Formulation, Preparation, and Storage

Purification

Protein A or G purified

Formulation

10 mM PBS with 0.05% BSA

Preservative

0.05% Sodium Azide

Concentration

0.2 mg/ml

Shipping

The product is shipped with polar packs. Upon receipt, store it immediately at the temperature recommended below.

Stability & Storage

Store at 4C.

Background: PKC alpha

Protein Kinase C (PKC) is a large superfamily of serine/threonine kinases that mediate essential cellular signals required for activation, proliferation, differentiation and survival. There are at least ten PKC isotypes that are closely related in structure but that have distinct patterns of tissue distribution and function. The PKC isotypes can be subdivided into three classes based on primary structure and biochemical properties. These are: classical or conventional PKC isotypes (cPKC), novel PKC isotypes (nPKC) and atypical PKC isotypes (aPKC). All PKC isotypes share a characteristic equence motif C1 in addition to a serine/threonine-protein kinase domain. The cPKC isotypes include PKC

Long Name

Protein Kinase C alpha

Alternate Names

PKCA, PRKCA

Gene Symbol

PRKCA

UniProt

Additional PKC alpha Products

Product Documents for PKC alpha Antibody (133)

Certificate of Analysis

To download a Certificate of Analysis, please enter a lot number in the search box below.

Product Specific Notices for PKC alpha Antibody (133)

This product is for research use only and is not approved for use in humans or in clinical diagnosis. Primary Antibodies are guaranteed for 1 year from date of receipt.

Loading...
Loading...
Loading...
Loading...
Loading...