Skip to main content

PIP5K1 alpha Antibody - Azide and BSA Free

Novus Biologicals, part of Bio-Techne | Catalog # NBP2-44148

Novus Biologicals, part of Bio-Techne
Catalog #
Availability
Size / Price
Qty
Loading...
NBP2-44148
NBP2-44148-0.05mg

Key Product Details

Species Reactivity

Human

Applications

ELISA, Immunohistochemistry, Immunohistochemistry-Paraffin, Western Blot

Label

Unconjugated

Antibody Source

Polyclonal Rabbit IgG

Format

Azide and BSA Free

Concentration

Please see the vial label for concentration. If unlisted please contact technical services.

Product Specifications

Immunogen

PIP5K1 alpha Antibody was prepared from whole rabbit serum produced by repeated immunizations with a synthetic peptide corresponding to an internal region of human PIP5K1 alpha protein. (Uniprot: Q99755)

Reactivity Notes

A BLAST analysis was used to suggest cross-reactivity with mouse and human based on 100% sequence homology. Cross-reactivity with PI4K, type I alpha from other sources has not been determined.

Clonality

Polyclonal

Host

Rabbit

Isotype

IgG

Description

This antibody was affinity purified from monospecific antiserum by immunoaffinity chromatography

Store vial at -20C prior to opening. Aliquot contents and freeze at -20C or below for extended storage. Avoid cycles of freezing and thawing. Centrifuge product if not completely clear after standing at room temperature. This product is stable for several weeks at 4C as an undiluted liquid. Dilute only prior to immediate use.

Scientific Data Images for PIP5K1 alpha Antibody - Azide and BSA Free

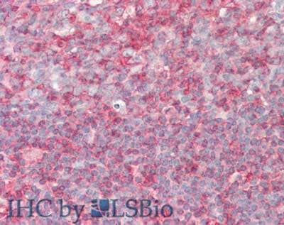
Immunohistochemistry-Paraffin: PIP5K1 alpha Antibody [NBP2-44148]

Immunohistochemistry-Paraffin: PIP5K1 alpha Antibody [NBP2-44148]

Immunohistochemistry-Paraffin: PIP5K1 alpha Antibody [NBP2-44148] - Staining of human Tonsil Tissue.
PIP5K1 alpha Antibody

PIP5K1 alpha Antibody

Immunohistochemistry of PIP5K1 alpha Antibody. Tissue: Tonsil. Fixation: formalin fixed paraffin embedded. Antigen retrieval: not required. Primary antibody: PIP5K1A antibody at 5 ug/mL for 1 h at RT. Secondary antibody: Peroxidase rabbit secondary antibody at 1:10,000 for 45 min at RT. Staining: PIP5K1A as precipitated red signal with hematoxylin purple nuclear counterstain.

Applications for PIP5K1 alpha Antibody - Azide and BSA Free

Application
Recommended Usage

ELISA

1:10000

Immunohistochemistry

5 ug/ml

Immunohistochemistry-Paraffin

5 ug/ml

Western Blot

1ug/ml
Application Notes
This product is tested by IHC and ELISA useful for Western Blot. Specific conditions for reactivity should be optimized by the end user. Expect a band approximately ~62.6kDa corresponding to the appropriate cell lysate or extract.

Formulation, Preparation, and Storage

Purification

Immunogen affinity purified

Formulation

0.02 M Potassium Phosphate, 0.15 M Sodium Chloride, pH 7.2, 30% Glycerol

Format

Azide and BSA Free

Preservative

No Preservative

Concentration

Please see the vial label for concentration. If unlisted please contact technical services.

Shipping

The product is shipped with polar packs. Upon receipt, store it immediately at the temperature recommended below.

Stability & Storage

Store at -20C short term. Aliquot and store at -80C long term. Avoid freeze-thaw cycles.

Background: PIP5K1 alpha

Participates in the biosynthesis of phosphatidylinositol-4,5-bisphosphate. Mediates RAC1-dependent reorganization of actin filaments. Contributes to the activation of PLD2

Alternate Names

68 kDa type I phosphatidylinositol-4-phosphate 5-kinase alpha, EC 2.7.1, EC 2.7.1.68, Phosphatidylinositol-4-phosphate 5-kinase type I alpha, phosphatidylinositol-4-phosphate 5-kinase type-1 alpha, phosphatidylinositol-4-phosphate 5-kinase, type I, alpha, PIP5K1-alpha, PIP5KIalpha, PtdIns(4)P-5-kinase 1 alpha

Gene Symbol

PIP5K1A

UniProt

Additional PIP5K1 alpha Products

Product Documents for PIP5K1 alpha Antibody - Azide and BSA Free

Certificate of Analysis

To download a Certificate of Analysis, please enter a lot number in the search box below.

Product Specific Notices for PIP5K1 alpha Antibody - Azide and BSA Free

This product is for research use only and is not approved for use in humans or in clinical diagnosis. Primary Antibodies are guaranteed for 1 year from date of receipt.

Loading...
Loading...
Loading...
Loading...