Skip to main content

PIN/DLC8 Antibody (13C9) - BSA Free

Novus Biologicals, part of Bio-Techne | Catalog # NBP2-59394

Novus Biologicals, part of Bio-Techne
Catalog #
Availability
Size / Price
Qty
Loading...
NBP2-59394-100ul
NBP2-59394-50ul
Conjugate
Catalog #

Key Product Details

Species Reactivity

Human

Applications

Western Blot, ELISA, Immunocytochemistry/ Immunofluorescence

Label

Unconjugated

Antibody Source

Monoclonal Mouse IgG2b Kappa Clone # 13C9

Format

BSA Free

Concentration

1 mg/ml

Product Specifications

Immunogen

Recombinant human PIN/DLC8 (1-89aa) purified from E. coli

Clonality

Monoclonal

Host

Mouse

Isotype

IgG2b Kappa

Scientific Data Images for PIN/DLC8 Antibody (13C9) - BSA Free

Western Blot: PIN/DLC8 Antibody (13C9)BSA Free [NBP2-59394]

Western Blot: PIN/DLC8 Antibody (13C9)BSA Free [NBP2-59394]

Western Blot: PIN/DLC8 Antibody (13C9) [NBP2-59394] - Lane 1: HeLa cell lysates, Lane 2: A549 cell lysates, Lane 3: 293T cell lysates, Lane 4: HepG2 cell lysates
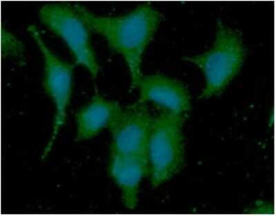
Immunocytochemistry/ Immunofluorescence: PIN/DLC8 Antibody (13C9) - BSA Free [NBP2-59394]

Immunocytochemistry/ Immunofluorescence: PIN/DLC8 Antibody (13C9) - BSA Free [NBP2-59394]

Immunocytochemistry/Immunofluorescence: PIN/DLC8 Antibody (13C9) [NBP2-59394] - Analysis of DYNLL in A549 cells line, stained with DAPI (Blue) for nucleus staining and monoclonal anti-human DYNLL antibody (1:100) with goat anti-mouse IgG-Alexa fluor 488 conjugate (Green).

Applications for PIN/DLC8 Antibody (13C9) - BSA Free

Application
Recommended Usage

Immunocytochemistry/ Immunofluorescence

1:100

Western Blot

1:1000

Formulation, Preparation, and Storage

Purification

Protein A purified

Formulation

PBS (pH 7.4), 10% Glycerol

Format

BSA Free

Preservative

0.02% Sodium Azide

Concentration

1 mg/ml

Shipping

The product is shipped with polar packs. Upon receipt, store it immediately at the temperature recommended below.

Stability & Storage

Store at 4C short term. Aliquot and store at -20C long term. Avoid freeze-thaw cycles.

Background: PIN

DLC8 protein bound efficiently to gephyrin in in vitro binding assays and colocalized with gephyrin during coexpression in HEK293 cells. The binding site for DLC8 was mapped to a fragment of 63 amino acids within the central linker domain of gephyrin. In hippocampal neurons, endogenous DLC8 protein was enriched at synaptic sites identified by synaptophysin and gephyrin immunostaining. Because DLC8 has been described as stoichiometric components of cytoplasmic dynein and myosin-Va complexes, results suggest that motor proteins are involved in the subcellular localization of gephyrin. DLC8 was identified as a transport molecule in the cytoplasm. DLC8 co-localizes with TRPS1 in dot-like structures in the cell nucleus. In an electrophoretic mobility shift assay it was shown that the interaction of DLC8 and TRPS1 lowers the binding of TRPS1 to the GATA consensus sequence. In addition DLC8 is able to suppress the transcriptional repression activity of TRPS1.

Long Name

Protein Inhibitor of Neuronal Nitric Oxide Synthase

Alternate Names

DLC1, DLC8, DNCL1, DNCLC1, DYNLL1, LC8a

Gene Symbol

DYNLL1

Additional PIN Products

Product Documents for PIN/DLC8 Antibody (13C9) - BSA Free

Certificate of Analysis

To download a Certificate of Analysis, please enter a lot number in the search box below.

Product Specific Notices for PIN/DLC8 Antibody (13C9) - BSA Free

This product is for research use only and is not approved for use in humans or in clinical diagnosis. Primary Antibodies are guaranteed for 1 year from date of receipt.

Loading...
Loading...
Loading...
Loading...