Skip to main content

PIM1 Antibody (ST0513)

Novus Biologicals, part of Bio-Techne | Catalog # NBP2-67528

Recombinant Monoclonal Antibody.
Novus Biologicals, part of Bio-Techne
Catalog #
Availability
Size / Price
Qty
Loading...
NBP2-67528

Key Product Details

Species Reactivity

Validated:

Human, Mouse

Cited:

Human, Mouse

Applications

Validated:

Immunohistochemistry, Immunohistochemistry-Paraffin, Immunohistochemistry-Frozen, Western Blot, Immunocytochemistry/ Immunofluorescence

Cited:

Immunohistochemistry, Immunohistochemistry-Paraffin, Immunohistochemistry-Frozen, Flow Cytometry, Immunocytochemistry/ Immunofluorescence, IF/IHC

Label

Unconjugated

Antibody Source

Recombinant Monoclonal Rabbit IgG Clone # ST0513 expressed in HEK293

Concentration

1 mg/ml

Product Specifications

Immunogen

Synthetic peptide within human PIM1 aa 20-60. (SwissProt: P11309 Human; SwissProt: P06803 Mouse)

Localization

Cytoplasm, Nucleus, Cell membrane.

Clonality

Monoclonal

Host

Rabbit

Isotype

IgG

Description

Novus Biologicals Rabbit PIM1 Antibody (ST0513) (NBP2-67528) is a recombinant monoclonal antibody validated for use in IHC, WB, Flow and ICC/IF. Anti-PIM1 Antibody: Cited in 7 publications. All Novus Biologicals antibodies are covered by our 100% guarantee.

Scientific Data Images for PIM1 Antibody (ST0513)

Western Blot: PIM1 Antibody (ST0513) [NBP2-67528]

Western Blot: PIM1 Antibody (ST0513) [NBP2-67528]

Western Blot: PIM1 Antibody (ST0513) [NBP2-67528] - Analysis of PIM1 on different lysates. Proteins were transferred to a PVDF membrane and blocked with 5% BSA in PBS for 1 hour at room temperature. The primary antibody ( 1/500) was used in 5% BSA at room temperature for 2 hours. Goat Anti-Rabbit IgG - HRP Secondary Antibody at 1:5,000 dilution was used for 1 hour at room temperature. Positive control: Lane 1: BT-20 cell lysateLane 2: HepG2 cell lysate Lane 3: SW480 cell lysate
Immunocytochemistry/ Immunofluorescence: PIM1 Antibody (ST0513) [NBP2-67528]

Immunocytochemistry/ Immunofluorescence: PIM1 Antibody (ST0513) [NBP2-67528]

Immunocytochemistry/Immunofluorescence: PIM1 Antibody (ST0513) [NBP2-67528] - Staining PIM1 in SW480 cells (green). The nuclear counter stain is DAPI (blue). Cells were fixed in paraformaldehyde, permeabilised with 0.25% Triton X100/PBS.
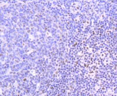
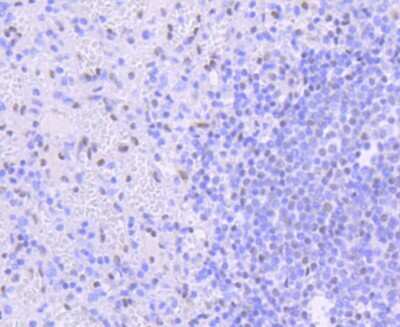
Immunohistochemistry-Paraffin: PIM1 Antibody (ST0513) [NBP2-67528]

Immunohistochemistry-Paraffin: PIM1 Antibody (ST0513) [NBP2-67528]

Immunohistochemistry-Paraffin: PIM1 Antibody (ST0513) [NBP2-67528] - Analysis of human tonsil tissue using anti-PIM1 antibody. Counter stained with hematoxylin.

Applications for PIM1 Antibody (ST0513)

Application
Recommended Usage

Immunocytochemistry/ Immunofluorescence

1:50-1:200

Immunohistochemistry-Paraffin

1:50-1:400

Western Blot

1:500-1:2000
Application Notes
Use in IHC-Fr reported in scientific literature (PMID:35896115).

Formulation, Preparation, and Storage

Purification

Protein A purified

Formulation

TBS (pH7.4), 0.05% BSA, 40% Glycerol

Preservative

0.05% Sodium Azide

Concentration

1 mg/ml

Shipping

The product is shipped with polar packs. Upon receipt, store it immediately at the temperature recommended below.

Stability & Storage

Store at 4C short term. Aliquot and store at -20C long term. Avoid freeze-thaw cycles.

Background: PIM1

The protooncogene PIM1 encodes a protein kinase upregulated in prostate cancer (Dhanasekaran et al., 2001 [PubMed 11518967]).[supplied by OMIM]

Long Name

Proviral Integration Site 1

Alternate Names

EC 2.7.11.1, Oncogene PIM1, PIM, pim-1 kinase 44 kDa isoform, pim-1 oncogene, pim-1 oncogene (proviral integration site 1), proto-oncogene serine/threonine-protein kinase pim-1

Gene Symbol

PIM1

Additional PIM1 Products

Product Documents for PIM1 Antibody (ST0513)

Certificate of Analysis

To download a Certificate of Analysis, please enter a lot number in the search box below.

Product Specific Notices for PIM1 Antibody (ST0513)

This product is for research use only and is not approved for use in humans or in clinical diagnosis. Primary Antibodies are guaranteed for 1 year from date of receipt.

Loading...
Loading...
Loading...
Loading...