Skip to main content

PIK3CA Antibody - BSA Free

Novus Biologicals, part of Bio-Techne | Catalog # NBP3-37884

Novus Biologicals, part of Bio-Techne
Catalog #
Availability
Size / Price
Qty
Loading...
NBP3-37884-100ul
NBP3-37884-20ul

Key Product Details

Species Reactivity

Human, Mouse, Rat

Applications

ELISA, Immunohistochemistry, Immunohistochemistry-Paraffin, Western Blot

Label

Unconjugated

Antibody Source

Polyclonal Rabbit IgG

Format

BSA Free

Concentration

Please see the vial label for concentration. If unlisted please contact technical services.

Product Specifications

Immunogen

Recombinant fusion protein containing a sequence corresponding to amino acids 300-600 of human PIK3CA (NP_006209.2).

Sequence:
DCFTMPSYSRRISTATPYMNGETSTKSLWVINSALRIKILCATYVNVNIRDIDKIYVRTGIYHGGEPLCDNVNTQRVPCSNPRWNEWLNYDIYIPDLPRAARLCLSICSVKGRKGAKEEHCPLAWGNINLFDYTDTLVSGKMALNLWPVPHGLEDLLNPIGVTGSNPNKETPCLELEFDWFSSVVKFPDMSVIEEHANWSVSREAGFSYSHAGLSNRLARDNELRENDKEQLKAISTRDPLSEITEQEKDFLWSHRHYCVTIPEILPKLLLSVKWNSRDEVAQMYCLVKDWPPIKPEQAME

Clonality

Polyclonal

Host

Rabbit

Isotype

IgG

Theoretical MW

124 kDa.
Disclaimer note: The observed molecular weight of the protein may vary from the listed predicted molecular weight due to post translational modifications, post translation cleavages, relative charges, and other experimental factors.

Description

Novus Biologicals Rabbit PIK3CA Antibody - BSA Free (NBP3-37884) is a polyclonal antibody validated for use in IHC, WB and ELISA. All Novus Biologicals antibodies are covered by our 100% guarantee.

Scientific Data Images for PIK3CA Antibody - BSA Free

PIK3CA Antibody

Western Blot: PIK3CA Antibody [NBP3-37884] -

Western Blot: PIK3CA Antibody [NBP3-37884] - Western blot analysis of various lysates using PIK3CA Rabbit pAb at 1:1000 dilution.
Secondary antibody: HRP-conjugated Goat anti-Rabbit IgG (H+L) at 1:10000 dilution.
Lysates/proteins: 25ug per lane.
Blocking buffer: 3% nonfat dry milk in TBST.
Detection: ECL Basic Kit.
Exposure time: 180s.
PIK3CA Antibody

Western Blot: PIK3CA Antibody [NBP3-37884] -

Western Blot: PIK3CA Antibody [NBP3-37884] - Western blot analysis of lysates from 293T cells, using PIK3CA Rabbit pAb at 1:1000 dilution.
Secondary antibody: HRP-conjugated Goat anti-Rabbit IgG (H+L) at 1:10000 dilution.
Lysates/proteins: 25ug per lane.
Blocking buffer: 3% nonfat dry milk in TBST.
Detection: ECL Enhanced Kit.
Exposure time: 90s.
PIK3CA Antibody

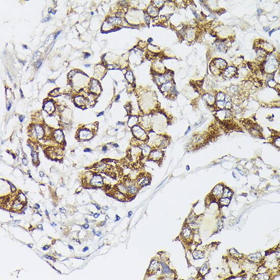
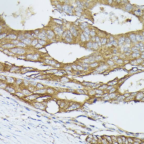
Immunohistochemistry: PIK3CA Antibody [NBP3-37884] -

Immunohistochemistry: PIK3CA Antibody [NBP3-37884] - Immunohistochemistry analysis of paraffin-embedded Human colon carcinoma tissue using PIK3CA Rabbit pAb at a dilution of 1:100 (40x lens). High pressure antigen retrieval performed with 0.01M Citrate Buffer (pH 6.0) prior to IHC staining.

Applications for PIK3CA Antibody - BSA Free

Application
Recommended Usage

Immunohistochemistry-Paraffin

1:50 - 1:200

Western Blot

1:500 - 1:1000

Formulation, Preparation, and Storage

Purification

Affinity purified

Formulation

PBS (pH 7.3), 50% glycerol

Format

BSA Free

Preservative

0.02% Sodium Azide

Concentration

Please see the vial label for concentration. If unlisted please contact technical services.

Shipping

The product is shipped with polar packs. Upon receipt, store it immediately at the temperature recommended below.

Stability & Storage

Store at -20C. Avoid freeze-thaw cycles.

Background: PIK3CA

PI3-Kinases (PI3-Ks) are a family of lipid kinases that are implicated in signal transduction. PI3-K consists of two subunits; p85 and p10. The p85 subunit localize PI3-K activity to the plasma membrane while the p110 subunit contains the catalytic domain of PI3-K (1-2). Four isoforms of p110 has been found;

Long Name

PI3-Kinase P110 Subunit Alpha

Alternate Names

CLAPO, CLOVE, CWS5, MCMTC, P110alpha, PI3Kalpha

Gene Symbol

PIK3CA

Additional PIK3CA Products

Product Documents for PIK3CA Antibody - BSA Free

Certificate of Analysis

To download a Certificate of Analysis, please enter a lot number in the search box below.

Product Specific Notices for PIK3CA Antibody - BSA Free

This product is for research use only and is not approved for use in humans or in clinical diagnosis. Primary Antibodies are guaranteed for 1 year from date of receipt.

Loading...
Loading...
Loading...
Loading...