PIGY Antibody - BSA Free
Novus Biologicals, part of Bio-Techne | Catalog # NBP1-76967
Conjugate
Catalog #
Key Product Details
Species Reactivity
Human, Mouse
Applications
Immunohistochemistry, Immunohistochemistry-Paraffin, Western Blot, ELISA, Immunocytochemistry/ Immunofluorescence
Label
Unconjugated
Antibody Source
Polyclonal Rabbit IgG
Format
BSA Free
Concentration
1 mg/ml
Product Specifications
Immunogen
Antibody was raised against a 16 amino acid synthetic peptide near the carboxy terminus of human PIG-Y. The immunogen is located within the last 50 amino acids of PIG-Y. Amino Acid Squence: ARMTRQSKKQEEVEQR
Reactivity Notes
Immunogen displays the following percentage of sequence identity for non-tested species: Bovine (87%)
Specificity
This antibody only detects isoform 1 of PIG-Y.
Clonality
Polyclonal
Host
Rabbit
Isotype
IgG
Theoretical MW
9 kDa.
Disclaimer note: The observed molecular weight of the protein may vary from the listed predicted molecular weight due to post translational modifications, post translation cleavages, relative charges, and other experimental factors.
Disclaimer note: The observed molecular weight of the protein may vary from the listed predicted molecular weight due to post translational modifications, post translation cleavages, relative charges, and other experimental factors.
Description
Novus Biologicals Rabbit PIGY Antibody - BSA Free (NBP1-76967) is a polyclonal antibody validated for use in IHC, WB, ELISA and ICC/IF. All Novus Biologicals antibodies are covered by our 100% guarantee.
Scientific Data Images for PIGY Antibody - BSA Free
Western Blot: PIGY AntibodyBSA Free [NBP1-76967]
Western Blot: PIGY Antibody [NBP1-76967] - Analysis of PIG-Y in human skeletal muscle tissue lysate with PIG-Y antibody at 5 ug/mL.Immunohistochemistry: PIGY Antibody - BSA Free [NBP1-76967] -
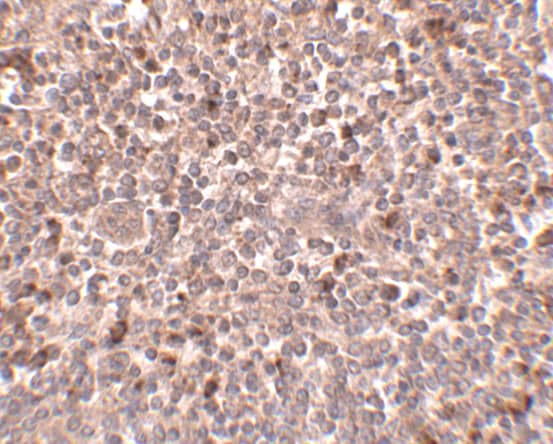
Immunohistochemistry: PIGY Antibody - BSA Free [NBP1-76967] - Immunohistochemistry of PIGY in human spleen tissue with PIGY antibody at 2.5 ug/mL.Immunocytochemistry/ Immunofluorescence: PIGY Antibody - BSA Free [NBP1-76967] -
Immunocytochemistry/ Immunofluorescence: PIGY Antibody - BSA Free [NBP1-76967] - Immunofluorescence of PIGY in human spleen tissue with PIGY1 antibody at 20 ug/mL.Applications for PIGY Antibody - BSA Free
Application
Recommended Usage
ELISA
1:100-1:2000
Immunocytochemistry/ Immunofluorescence
20 ug/ml
Immunohistochemistry
2.5 ug/ml
Immunohistochemistry-Paraffin
2.5 ug/ml
Western Blot
5 ug/ml
Application Notes
Despite its predicted molecular weight, PIG-Y often migrates at 28-30 kDa in SDS-PAGE.
Formulation, Preparation, and Storage
Purification
Peptide affinity purified
Formulation
PBS
Format
BSA Free
Preservative
0.02% Sodium Azide
Concentration
1 mg/ml
Shipping
The product is shipped with polar packs. Upon receipt, store it immediately at the temperature recommended below.
Stability & Storage
Store at 4C short term. Aliquot and store at -20C long term. Avoid freeze-thaw cycles.
Background: PIGY
Alternate Names
Phosphatidylinositol-glycan biosynthesis class Y protein, PIG-Y
Gene Symbol
PIGY
UniProt
Additional PIGY Products
Product Documents for PIGY Antibody - BSA Free
Product Specific Notices for PIGY Antibody - BSA Free
This product is for research use only and is not approved for use in humans or in clinical diagnosis. Primary Antibodies are guaranteed for 1 year from date of receipt.
Loading...
Loading...
Loading...
Loading...