Skip to main content

PIGU Antibody - BSA Free

Novus Biologicals, part of Bio-Techne | Catalog # NBP3-35867

Novus Biologicals, part of Bio-Techne
Catalog #
Availability
Size / Price
Qty
Loading...
NBP3-35867-100ul
NBP3-35867-20ul

Key Product Details

Species Reactivity

Human, Mouse, Rat

Applications

Immunohistochemistry, Immunohistochemistry-Paraffin, Western Blot, ELISA, Immunocytochemistry/ Immunofluorescence

Label

Unconjugated

Antibody Source

Polyclonal Rabbit IgG

Format

BSA Free

Concentration

Please see the vial label for concentration. If unlisted please contact technical services.

Product Specifications

Immunogen

A synthetic peptide corresponding to a sequence within amino acids 1-100 of human PIGU (NP_536724.1).

Sequence:
MAAPLVLVLVVAVTVRAALFRSSLAEFISERVEVVSPLSSWKRVVEGLSLLDLGVSPYSGAVFHETPLIIYLFHFLIDYAELVFMITDALTAIALYFAIQ

Clonality

Polyclonal

Host

Rabbit

Isotype

IgG

Theoretical MW

50 kDa.
Disclaimer note: The observed molecular weight of the protein may vary from the listed predicted molecular weight due to post translational modifications, post translation cleavages, relative charges, and other experimental factors.

Description

Novus Biologicals Rabbit PIGU Antibody - BSA Free (NBP3-35867) is a polyclonal antibody validated for use in IHC, WB, ELISA and ICC/IF. All Novus Biologicals antibodies are covered by our 100% guarantee.

Scientific Data Images for PIGU Antibody - BSA Free

PIGU Antibody

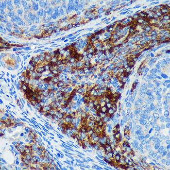
Immunohistochemistry: PIGU Antibody [NBP3-35867] -

Immunohistochemistry: PIGU Antibody [NBP3-35867] - Immunohistochemistry analysis of paraffin-embedded Human liver cancer using PIGU Rabbit pAb at dilution of 1:100 (40x lens). Microwave antigen retrieval performed with 0.01M PBS Buffer (pH 7.2) prior to IHC staining.
PIGU Antibody

Western Blot: PIGU Antibody [NBP3-35867] -

Western Blot: PIGU Antibody [NBP3-35867] - Western blot analysis of various lysates using PIGU Rabbit pAb at 1:1000 dilution.
Secondary antibody: HRP-conjugated Goat anti-Rabbit IgG (H+L) at 1:10000 dilution.
Lysates/proteins: 25ug per lane.
Blocking buffer: 3% nonfat dry milk in TBST.
Detection: ECL Basic Kit.
Exposure time: 30s.
PIGU Antibody

Immunohistochemistry: PIGU Antibody [NBP3-35867] -

Immunohistochemistry: PIGU Antibody [NBP3-35867] - Immunohistochemistry analysis of paraffin-embedded Rat ovary using PIGU Rabbit pAb at dilution of 1:100 (40x lens). Microwave antigen retrieval performed with 0.01M PBS Buffer (pH 7.2) prior to IHC staining.

Applications for PIGU Antibody - BSA Free

Application
Recommended Usage

Immunocytochemistry/ Immunofluorescence

1:50 - 1:200

Immunohistochemistry-Paraffin

1:50 - 1:200

Western Blot

1:500 - 1:2000

Formulation, Preparation, and Storage

Purification

Affinity purified

Formulation

PBS (pH 7.3), 50% glycerol

Format

BSA Free

Preservative

0.01% Thimerosal

Concentration

Please see the vial label for concentration. If unlisted please contact technical services.

Shipping

The product is shipped with polar packs. Upon receipt, store it immediately at the temperature recommended below.

Stability & Storage

Store at -20C. Avoid freeze-thaw cycles.

Background: PIGU

CDC91L1 - CDC91 cell division cycle 91-like 1 (S. cerevisiae)

Alternate Names

bA346K17.2, CDC91 (cell division cycle 91, S. cerevisiae, homolog)-like 1, CDC91L1CDC91 cell division cycle 91-like 1 (S. cerevisiae), cell division cycle 91-like 1 protein, Cell division cycle protein 91-like 1, GAB1, GPI transamidase component PIG-U, GPI transamidase subunit, MGC40420, phosphatidylinositol glycan anchor biosynthesis class U protein, phosphatidylinositol glycan anchor biosynthesis, class U, Protein CDC91-like 1

Gene Symbol

PIGU

Additional PIGU Products

Product Documents for PIGU Antibody - BSA Free

Certificate of Analysis

To download a Certificate of Analysis, please enter a lot number in the search box below.

Product Specific Notices for PIGU Antibody - BSA Free

This product is for research use only and is not approved for use in humans or in clinical diagnosis. Primary Antibodies are guaranteed for 1 year from date of receipt.

Loading...
Loading...
Loading...
Loading...