Skip to main content

PIGU Antibody - BSA Free

Novus Biologicals, part of Bio-Techne | Catalog # NBP2-30386

Novus Biologicals, part of Bio-Techne
Catalog #
Availability
Size / Price
Qty
Loading...
NBP2-30386
NBP2-30386-25ul

Key Product Details

Species Reactivity

Validated:

Human

Predicted:

Mouse (100%), Rat (100%). Backed by our 100% Guarantee.

Applications

Immunohistochemistry, Immunohistochemistry-Paraffin

Label

Unconjugated

Antibody Source

Polyclonal Rabbit IgG

Format

BSA Free

Concentration

Concentrations vary lot to lot. See vial label for concentration. If unlisted please contact technical services.

Product Specifications

Immunogen

This antibody was developed against a recombinant protein corresponding to amino acids: KLLLELDQYAPDVAELIRTPMEMRYIPLKVALFYLLNPYTILSCVAKSTCAINN

Clonality

Polyclonal

Host

Rabbit

Isotype

IgG

Description

Novus Biologicals Rabbit PIGU Antibody - BSA Free (NBP2-30386) is a polyclonal antibody validated for use in IHC. All Novus Biologicals antibodies are covered by our 100% guarantee.

Scientific Data Images for PIGU Antibody - BSA Free

Immunohistochemistry-Paraffin: PIGU Antibody [NBP2-30386]

Immunohistochemistry-Paraffin: PIGU Antibody [NBP2-30386]

Immunohistochemistry-Paraffin: PIGU Antibody [NBP2-30386] - Staining of human testis shows moderate granular cytoplasm positivity in cells in seminiferous ducts.
Immunohistochemistry: PIGU Antibody [NBP2-30386]

Immunohistochemistry: PIGU Antibody [NBP2-30386]

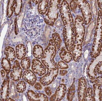
Immunohistochemistry: PIGU Antibody [NBP2-30386] - Staining of human kidney shows strong cytoplasmic positivity, seen with a granular pattern, in renal tubules.
Immunohistochemistry-Paraffin: PIGU Antibody [NBP2-30386]

Immunohistochemistry-Paraffin: PIGU Antibody [NBP2-30386]

Immunohistochemistry-Paraffin: PIGU Antibody [NBP2-30386] - Staining of human endometrium shows strong granular cytoplasm positivity in glandular cells.

Applications for PIGU Antibody - BSA Free

Application
Recommended Usage

Immunohistochemistry

1:50 - 1:200

Immunohistochemistry-Paraffin

1:50 - 1:200
Application Notes
For IHC-Paraffin, HIER pH 6 retrieval is recommended.

Formulation, Preparation, and Storage

Purification

Affinity purified

Formulation

PBS (pH 7.2) and 40% Glycerol

Format

BSA Free

Preservative

0.02% Sodium Azide

Concentration

Concentrations vary lot to lot. See vial label for concentration. If unlisted please contact technical services.

Shipping

The product is shipped with polar packs. Upon receipt, store it immediately at the temperature recommended below.

Stability & Storage

Store at 4C short term. Aliquot and store at -20C long term. Avoid freeze-thaw cycles.

Background: PIGU

CDC91L1 - CDC91 cell division cycle 91-like 1 (S. cerevisiae)

Alternate Names

bA346K17.2, CDC91 (cell division cycle 91, S. cerevisiae, homolog)-like 1, CDC91L1CDC91 cell division cycle 91-like 1 (S. cerevisiae), cell division cycle 91-like 1 protein, Cell division cycle protein 91-like 1, GAB1, GPI transamidase component PIG-U, GPI transamidase subunit, MGC40420, phosphatidylinositol glycan anchor biosynthesis class U protein, phosphatidylinositol glycan anchor biosynthesis, class U, Protein CDC91-like 1

Gene Symbol

PIGU

UniProt

Additional PIGU Products

Product Documents for PIGU Antibody - BSA Free

Certificate of Analysis

To download a Certificate of Analysis, please enter a lot number in the search box below.

Product Specific Notices for PIGU Antibody - BSA Free

This product is for research use only and is not approved for use in humans or in clinical diagnosis. Primary Antibodies are guaranteed for 1 year from date of receipt.

Loading...
Loading...
Loading...
Loading...