Skip to main content

Piccolo Antibody (4G3.3) - BSA Free

Novus Biologicals, part of Bio-Techne | Catalog # NBP2-29749

Novus Biologicals, part of Bio-Techne
Catalog #
Availability
Size / Price
Qty
Loading...
NBP2-29749
NBP2-29749-0.025mg

Key Product Details

Validated by

Biological Validation

Species Reactivity

Mouse, Rat

Applications

Immunohistochemistry, Immunohistochemistry-Paraffin, Western Blot

Label

Unconjugated

Antibody Source

Monoclonal Mouse IgM Kappa Clone # 4G3.3

Format

BSA Free

Concentration

1 mg/ml

Product Specifications

Immunogen

GST-tagged recombinant protein.

Reactivity Notes

Please note that this antibody is reactive to Mouse and derived from the same host, Mouse. Additional Mouse on Mouse blocking steps may be required for IHC and ICC experiments. Please contact Technical Support for more information.

Specificity

This antibody recognizes piccolo.

Marker

Synaptic Marker

Clonality

Monoclonal

Host

Mouse

Isotype

IgM Kappa

Theoretical MW

547 kDa.
Disclaimer note: The observed molecular weight of the protein may vary from the listed predicted molecular weight due to post translational modifications, post translation cleavages, relative charges, and other experimental factors.

Description

Relevant Entrez Gene Numbers: NP_001104266

Scientific Data Images for Piccolo Antibody (4G3.3) - BSA Free

Western Blot: Piccolo Antibody (4G3.3) [NBP2-29749]

Western Blot: Piccolo Antibody (4G3.3) [NBP2-29749]

Western Blot: Piccolo Antibody (4G3.3) [NBP2-29749] - Rat brain lysate was resolved by electrophoresis, transferred to PVDF membrane and probed with ant- Piccolo, clone 4G3.3
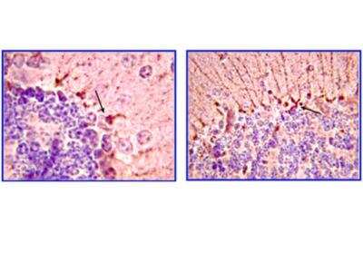
Immunohistochemistry: Piccolo Antibody (4G3.3) [NBP2-29749]

Immunohistochemistry: Piccolo Antibody (4G3.3) [NBP2-29749]

Immunohistochemistry: Piccolo Antibody (4G3.3) [NBP2-29749] - Immunohistochemistry (Paraffin): Representative images from a previous lot. Piccolo staining pattern/morphology on mouse brain tissue/cerebellum. Tissue was pretreated with citrate pH 6.0, antigen retrieval. A previous lot of the antibody was diluted to 1:300, using IHC-Select Detection with HRP-DAB. Immunoreactivity is localized to the synaptic junction of neurons in the granular layer and Purkinje cells(arrow).

Applications for Piccolo Antibody (4G3.3) - BSA Free

Application
Recommended Usage

Immunohistochemistry-Paraffin

1:10-1:500

Western Blot

1:100-1:2000
Application Notes
Immunohistochemistry-Paraffin:Representative images from a previous lot.Piccolo staining pattern/morphology on mouse brain tissue/cerebellum. Tissue was pretreated with citrate pH 6.0, antigen retrieval. A previous lot of the antibody was diluted to 1:300, using IHC-Select Detection with HRP-DAB. Immunoreactivity is localized to the synaptic junction of neurons in the granular layer and Purkinje cells(arrow).

Formulation, Preparation, and Storage

Purification

Ammonium sulfate precipitation

Formulation

PBS

Format

BSA Free

Preservative

0.05% Sodium Azide

Concentration

1 mg/ml

Shipping

The product is shipped with polar packs. Upon receipt, store it immediately at the temperature recommended below.

Stability & Storage

Store at 4C. Do not freeze.

Background: Piccolo

Piccolo (presynaptic cytomatrix protein or PCLO) may act as a scaffolding protein involved in the organization of synaptic active zones. Synaptic vesicles dock and fuse in the active zone of the plasma membrane at chemical synapses. The presynaptic cytoskeletal matrix (PCM), which is associated with the active zone and is situated between synaptic vesicles, is thought to be involved in maintaining the neurotransmitter release site in register with the postsynaptic reception apparatus. The cycling of synaptic vesicles is a multistep process involving a number of proteins. Among the components of the PCM that orchestrate these events are Bassoon (BSN), RIM (RBBP8), Oboe, and Piccolo (PCLO) [supplied by ENTREZGENE].

Long Name

Presynaptic Cytomatrix Protein

Alternate Names

ACZ, Aczonin, PCLO

Gene Symbol

PCLO

UniProt

Additional Piccolo Products

Product Documents for Piccolo Antibody (4G3.3) - BSA Free

Certificate of Analysis

To download a Certificate of Analysis, please enter a lot number in the search box below.

Product Specific Notices for Piccolo Antibody (4G3.3) - BSA Free

Relevant Entrez Gene Numbers: NP_001104266

This product is for research use only and is not approved for use in humans or in clinical diagnosis. Primary Antibodies are guaranteed for 1 year from date of receipt.

Loading...
Loading...
Loading...
Loading...