Skip to main content

PI 3-Kinase p110 beta/PIK3CB Antibody (CL9518) - Azide and BSA Free

Novus Biologicals, part of Bio-Techne | Catalog # NBP3-43948

Novus Biologicals, part of Bio-Techne
Catalog #
Availability
Size / Price
Qty
Loading...
NBP3-43948

Key Product Details

Species Reactivity

Human

Applications

Immunohistochemistry-Paraffin, Western Blot, Immunocytochemistry/ Immunofluorescence

Label

Unconjugated

Antibody Source

Monoclonal Mouse IgG1 Clone # CL9518

Format

Azide and BSA Free

Concentration

LYOPH mg/ml

Product Specifications

Immunogen

This antibody was generated using a synthetic peptide of P42338, with the exact immunogen sequence remaining proprietary.

Clonality

Monoclonal

Host

Mouse

Isotype

IgG1

Description

Novus Biologicals Mouse PI 3-Kinase p110 beta/PIK3CB Antibody (CL9518) - Azide and BSA Free (NBP2-88937) is a monoclonal antibody validated for use in IHC, WB and ICC/IF. All Novus Biologicals antibodies are covered by our 100% guarantee.

Scientific Data Images for PI 3-Kinase p110 beta/PIK3CB Antibody (CL9518) - Azide and BSA Free

PI 3-Kinase p110 beta/PIK3CB Antibody (CL9518) - Azide and BSA Free Immunocytochemistry/ Immunofluorescence: PI 3-Kinase p110 beta/PIK3CB Antibody [NBP3-43948]

Immunocytochemistry/ Immunofluorescence: PI 3-Kinase p110 beta/PIK3CB Antibody [NBP3-43948]

Staining of A-431 cells using the Anti-PI 3-Kinase p110 beta/PIK3CB monoclonal antibody) .
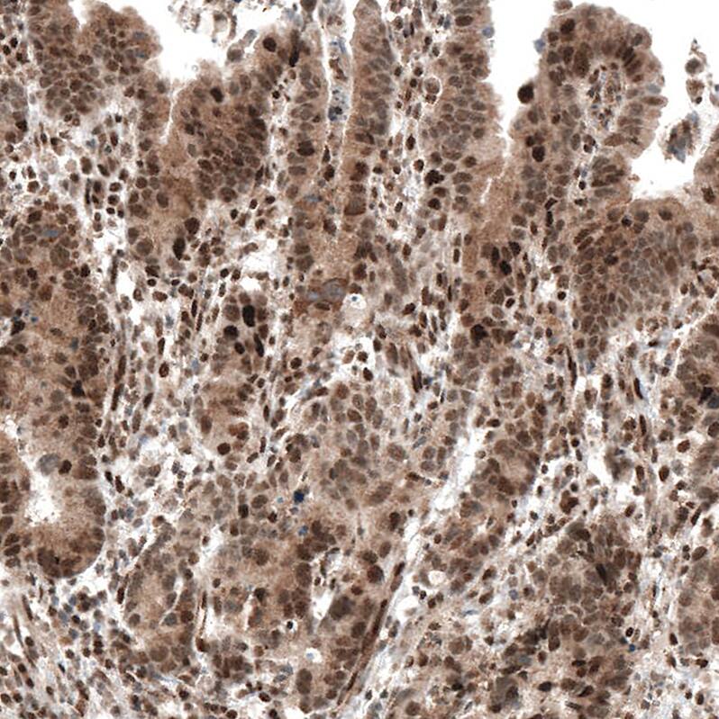
PI 3-Kinase p110 beta/PIK3CB Antibody (CL9518) - Azide and BSA Free Immunohistochemistry-Paraffin: PI 3-Kinase p110 beta/PIK3CB Antibody [NBP3-43948]

Immunohistochemistry-Paraffin: PI 3-Kinase p110 beta/PIK3CB Antibody [NBP3-43948]

Staining of human colon shows strong nuclear positivity in glandular cells.
PI 3-Kinase p110 beta/PIK3CB Antibody (CL9518) - Azide and BSA Free Immunohistochemistry-Paraffin: PI 3-Kinase p110 beta/PIK3CB Antibody [NBP3-43948]

Immunohistochemistry-Paraffin: PI 3-Kinase p110 beta/PIK3CB Antibody [NBP3-43948]

Staining of human cervix shows strong nuclear positivity in squamous epithelial cells.

Applications for PI 3-Kinase p110 beta/PIK3CB Antibody (CL9518) - Azide and BSA Free

Application
Recommended Usage

Immunocytochemistry/ Immunofluorescence

2-10 ug/ml

Immunohistochemistry-Paraffin

1:200 - 1:500

Western Blot

1 ug/ml
Application Notes
For Immunocytochemistry/ Immunofluorescence/IF, PFA/Triton X-100 is recommended for fixation/permeabilization. For IHC-Paraffin, HIER pH 6 retrieval is recommended.

Formulation, Preparation, and Storage

Purification

Protein A purified

Reconstitution

Centrifuge the vial of lyophilized antibody at 12,000 x g for 20 seconds. Reconstitute by adding sterile, distilled water to achieve a final antibody concentration of 1mg/ml.

Formulation

Lyophilized from a 0.2 um filtered solution in PBS with Trehalose

Format

Azide and BSA Free

Preservative

No Preservative

Concentration

LYOPH mg/ml

Shipping

The product is shipped at ambient temperature. Upon receipt, store it immediately at the temperature recommended below.

Stability & Storage

Store at 4C short term. Aliquot and store at -20C long term. Avoid freeze-thaw cycles.

Background: PI 3-Kinase p110 beta

Long Name

Protein Tyrosine Phosphatase 1B

Alternate Names

PI 3Kinase p110 beta, PIK3CB

Gene Symbol

PIK3CB

Additional PI 3-Kinase p110 beta Products

Product Documents for PI 3-Kinase p110 beta/PIK3CB Antibody (CL9518) - Azide and BSA Free

Certificate of Analysis

To download a Certificate of Analysis, please enter a lot number in the search box below.

Product Specific Notices for PI 3-Kinase p110 beta/PIK3CB Antibody (CL9518) - Azide and BSA Free

This product is for research use only and is not approved for use in humans or in clinical diagnosis. Primary Antibodies are guaranteed for 1 year from date of receipt.

Loading...
Loading...
Loading...
Loading...
Loading...