Skip to main content

PI 3-Kinase C2 beta Antibody - BSA Free

Novus Biologicals, part of Bio-Techne | Catalog # NBP1-86795

Catalog #
Availability
Size / Price
Qty
Loading...
NBP1-86795
NBP1-86795-25ul

Key Product Details

Species Reactivity

Validated:

Human

Predicted:

Mouse (93%), Rat (93%). Backed by our 100% Guarantee.

Applications

Immunohistochemistry, Immunohistochemistry-Paraffin

Label

Unconjugated

Antibody Source

Polyclonal Rabbit IgG

Format

BSA Free

Concentration

Concentrations vary lot to lot. See vial label for concentration. If unlisted please contact technical services.

Product Specifications

Immunogen

This antibody was developed against Recombinant Protein corresponding to amino acids: ITSALNQLPPCPSRMQPKIQKDPSVLAVRENREKVVEALTAAILDLVELYCNTFNADFQTAVPGSRKHDLVQEACHFARSLAFTVYATHR

Clonality

Polyclonal

Host

Rabbit

Isotype

IgG

Scientific Data Images for PI 3-Kinase C2 beta Antibody - BSA Free

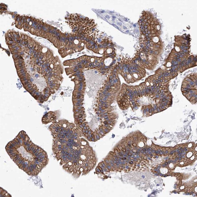
Immunohistochemistry: PI 3-Kinase C2 beta Antibody [NBP1-86795]

Immunohistochemistry: PI 3-Kinase C2 beta Antibody [NBP1-86795]

Immunohistochemistry: PI 3-Kinase C2 beta Antibody [NBP1-86795] - Staining of human appendix shows strong cytoplasmic and membrane positivity in glandular epithelium.
PI 3-Kinase C2 beta Antibody - BSA Free Immunohistochemistry-Paraffin: PI 3-Kinase C2 beta Antibody - BSA Free [NBP1-86795]

Immunohistochemistry-Paraffin: PI 3-Kinase C2 beta Antibody - BSA Free [NBP1-86795]

Staining of human testis shows no positivity in cells in seminiferous ducts as expected.
PI 3-Kinase C2 beta Antibody - BSA Free Immunohistochemistry-Paraffin: PI 3-Kinase C2 beta Antibody - BSA Free [NBP1-86795]

Immunohistochemistry-Paraffin: PI 3-Kinase C2 beta Antibody - BSA Free [NBP1-86795]

Staining of human kidney shows strong membranous positivity in subset of cells in tubules.

Applications for PI 3-Kinase C2 beta Antibody - BSA Free

Application
Recommended Usage

Immunohistochemistry

1:50 - 1:200

Immunohistochemistry-Paraffin

1:50 - 1:200
Application Notes
For IHC-Paraffin, HIER pH 6 retrieval is recommended.

Formulation, Preparation, and Storage

Purification

Affinity purified

Formulation

PBS (pH 7.2) and 40% Glycerol

Format

BSA Free

Preservative

0.02% Sodium Azide

Concentration

Concentrations vary lot to lot. See vial label for concentration. If unlisted please contact technical services.

Shipping

The product is shipped with polar packs. Upon receipt, store it immediately at the temperature recommended below.

Stability & Storage

Store at 4C short term. Aliquot and store at -20C long term. Avoid freeze-thaw cycles.

Background: PI 3-Kinase C2 beta

PIK3C2B is encoded by this gene belongs to the phosphoinositide 3-kinase (PI3K) family. PI3-kinases play roles in signaling pathways involved in cell proliferation, oncogenic transformation, cell survival, cell migration, and intracellular protein trafficking. This protein contains a lipid kinase catalytic domain as well as a C-terminal C2 domain, a characteristic of class II PI3-kinases. C2 domains act as calcium-dependent phospholipid binding motifs that mediate translocation of proteins to membranes, and may also mediate protein-protein interactions. The PI3-kinase activity of this protein is sensitive to low nanomolar levels of the inhibitor wortmanin. The C2 domain of this protein was shown to bind phospholipids but not Ca2+, which suggests that this enzyme may function in a calcium-independent manner.

Long Name

Phosphatidylinositol-4-Phosphate 3-Kinase C2 Domain-containing Subunit beta

Alternate Names

C2-PI3K, Phosphoinositide 3-kinase-C2-beta, PI 3Kinase C2 beta, PIK3C2B, PTDINS-3-kinase C2 beta

Entrez Gene IDs

5287 (Human)

Gene Symbol

PIK3C2B

UniProt

Additional PI 3-Kinase C2 beta Products

Product Documents for PI 3-Kinase C2 beta Antibody - BSA Free

Certificate of Analysis

To download a Certificate of Analysis, please enter a lot number in the search box below.

Product Specific Notices for PI 3-Kinase C2 beta Antibody - BSA Free

This product is for research use only and is not approved for use in humans or in clinical diagnosis. Primary Antibodies are guaranteed for 1 year from date of receipt.

Loading...
Loading...
Loading...
Loading...