Skip to main content

PHYH Antibody - BSA Free

Novus Biologicals, part of Bio-Techne | Catalog # NBP1-87349

Novus Biologicals, part of Bio-Techne
Catalog #
Availability
Size / Price
Qty
Loading...
NBP1-87349
NBP1-87349-25ul

Key Product Details

Validated by

Independent Antibodies

Species Reactivity

Human, Mouse

Applications

Immunohistochemistry, Immunohistochemistry-Paraffin, Western Blot

Label

Unconjugated

Antibody Source

Polyclonal Rabbit IgG

Format

BSA Free

Concentration

Concentrations vary lot to lot. See vial label for concentration. If unlisted please contact technical services.

Product Specifications

Immunogen

This antibody was developed against Recombinant Protein corresponding to amino acids: LPGTHKGSLKPHDYPKWEGGVNKMFHGIQDYEENKARVHLVMEKGDTVFFHPLLIHGSGQNKTQGFRKAISCHFASADCHYIDVKGTSQENIEKEVVGIAHKFFGAENSVNLKDIWMFRA

Clonality

Polyclonal

Host

Rabbit

Isotype

IgG

Scientific Data Images for PHYH Antibody - BSA Free

Western Blot: PHYH Antibody [NBP1-87349]

Western Blot: PHYH Antibody [NBP1-87349]

Western Blot: PHYH Antibody [NBP1-87349] - Lane 1: Marker [kDa] 250, 130, 100, 70, 55, 35, 25, 15, 10 Lane 2: Mouse Cerebral Cortex tissue
Immunohistochemistry-Paraffin: PHYH Antibody [NBP1-87349]

Immunohistochemistry-Paraffin: PHYH Antibody [NBP1-87349]

Immunohistochemistry-Paraffin: PHYH Antibody [NBP1-87349] - Staining of human liver shows cytoplasmic positivity in hepatocytes.
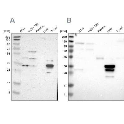
Western Blot: PHYH Antibody [NBP1-87349]

Western Blot: PHYH Antibody [NBP1-87349]

Western Blot: PHYH Antibody [NBP1-87349] - Analysis using Anti-PHYH antibody NBP1-87349 (A) shows similar pattern to independent antibody NBP1-87348 (B).

Applications for PHYH Antibody - BSA Free

Application
Recommended Usage

Immunohistochemistry

1:50 - 1:200

Immunohistochemistry-Paraffin

1:50 - 1:200

Western Blot

0.04-0.4 ug/ml
Application Notes
For IHC-Paraffin, HIER pH 6 retrieval is recommended.

Formulation, Preparation, and Storage

Purification

Affinity purified

Formulation

PBS (pH 7.2) and 40% Glycerol

Format

BSA Free

Preservative

0.02% Sodium Azide

Concentration

Concentrations vary lot to lot. See vial label for concentration. If unlisted please contact technical services.

Shipping

The product is shipped with polar packs. Upon receipt, store it immediately at the temperature recommended below.

Stability & Storage

Store at 4C short term. Aliquot and store at -20C long term. Avoid freeze-thaw cycles.

Background: PHYH

PHYH is a member of the PhyH family and encodes a peroxisomal protein that is involved in the alpha-oxidation of 3-methyl branched fatty acids. Specifically, this protein converts phytanoyl-CoA to 2-hydroxyphytanoyl-CoA. Mutations in this gene have been associated with Refsum disease (RD) and deficient protein activity has been associated with Zellweger syndrome and rhizomelic chondrodysplasia punctata. Alternate transcriptional splice variants, encoding different isoforms, have been characterized. [provided by RefSeq]

Alternate Names

LNAP1, PAHXLN1, peroxisomal, PhyH, PHYH1, phytanoyl-CoA 2-hydroxylase, phytanoyl-CoA hydroxylase, phytanoyl-CoA hydroxylase (Refsum disease), RD

Gene Symbol

PHYH

Additional PHYH Products

Product Documents for PHYH Antibody - BSA Free

Certificate of Analysis

To download a Certificate of Analysis, please enter a lot number in the search box below.

Product Specific Notices for PHYH Antibody - BSA Free

This product is for research use only and is not approved for use in humans or in clinical diagnosis. Primary Antibodies are guaranteed for 1 year from date of receipt.

Loading...
Loading...
Loading...
Loading...