Skip to main content

Phospholipase C beta 2 Antibody - BSA Free

Novus Biologicals, part of Bio-Techne | Catalog # NBP3-21325

Novus Biologicals, part of Bio-Techne
Catalog #
Availability
Size / Price
Qty
Loading...
NBP3-21325-100ul
NBP3-21325-25ul

Key Product Details

Validated by

Orthogonal Validation

Species Reactivity

Human

Applications

Immunohistochemistry, Immunohistochemistry-Paraffin

Label

Unconjugated

Antibody Source

Polyclonal Rabbit IgG

Format

BSA Free

Concentration

Concentrations vary lot to lot. See vial label for concentration. If unlisted please contact technical services.

Product Specifications

Immunogen

This antibody was developed against Recombinant Protein corresponding to amino acids: PINALNSGYHHLCLHSESNMPLTMPALFIFLEMKDYIPGAWADLTVALANPIKFFSAHDTKSVKLKEAMGGLPEKPFPLASPVASQVN

Clonality

Polyclonal

Host

Rabbit

Isotype

IgG

Description

Novus Biologicals Rabbit Phospholipase C beta 2 Antibody - BSA Free (NBP3-21325) is a polyclonal antibody validated for use in IHC. All Novus Biologicals antibodies are covered by our 100% guarantee.

Scientific Data Images for Phospholipase C beta 2 Antibody - BSA Free

Immunohistochemistry-Paraffin: Phospholipase C beta 2 Antibody [NBP3-21325] -

Immunohistochemistry-Paraffin: Phospholipase C beta 2 Antibody [NBP3-21325] -

Staining of human skeletal muscle shows low expression as expected.
Immunohistochemistry-Paraffin: Phospholipase C beta 2 Antibody [NBP3-21325] -

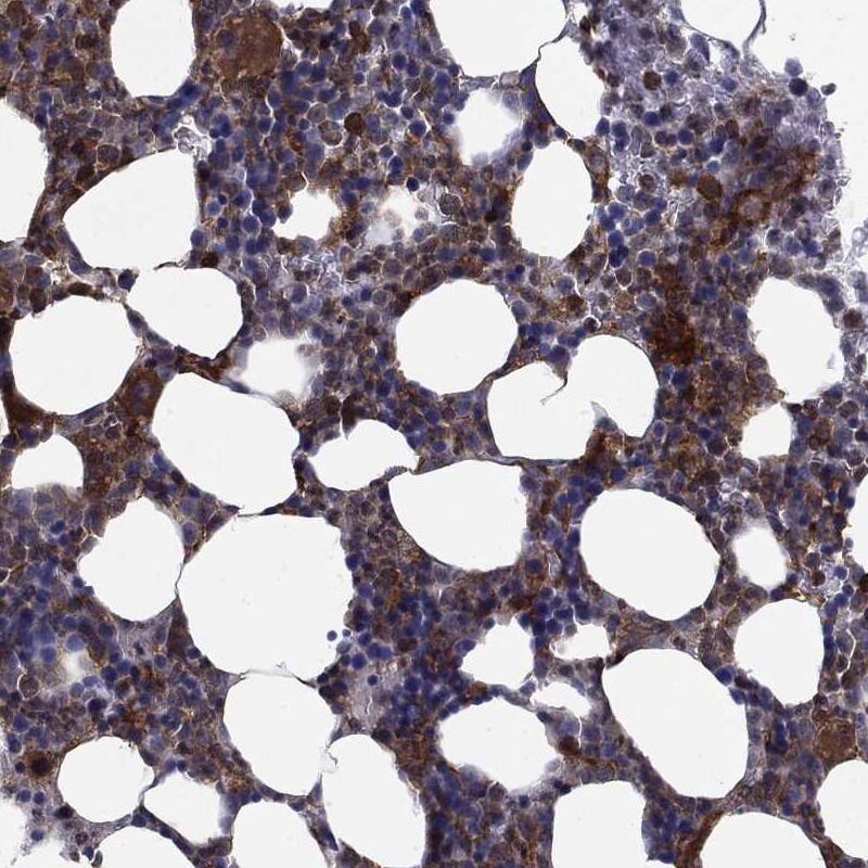
Immunohistochemistry-Paraffin: Phospholipase C beta 2 Antibody [NBP3-21325] -

Staining of human bone marrow shows high expression.
Immunohistochemistry-Paraffin: Phospholipase C beta 2 Antibody [NBP3-21325] -

Immunohistochemistry-Paraffin: Phospholipase C beta 2 Antibody [NBP3-21325] -

Analysis in human bone marrow and skeletal muscle tissues using Anti-PLCB2 antibody. Corresponding PLCB2 RNA-seq data are presented for the same tissues.

Applications for Phospholipase C beta 2 Antibody - BSA Free

Application
Recommended Usage

Immunohistochemistry

1:500 - 1:1000

Immunohistochemistry-Paraffin

1:500 - 1:1000
Application Notes
For IHC-Paraffin, HIER pH 6 retrieval is recommended.

Formulation, Preparation, and Storage

Purification

Affinity purified

Formulation

PBS (pH 7.2) and 40% Glycerol

Format

BSA Free

Preservative

0.02% Sodium Azide

Concentration

Concentrations vary lot to lot. See vial label for concentration. If unlisted please contact technical services.

Shipping

The product is shipped with polar packs. Upon receipt, store it immediately at the temperature recommended below.

Stability & Storage

Store at 4C short term. Aliquot and store at -20C long term. Avoid freeze-thaw cycles.

Background: Phospholipase C beta 2

The production of the second messenger molecules diacylglycerol (DAG) and inositol 1,4,5-trisphosphate (IP3) is mediated by activated phosphatidylinositol-specific phospholipase C enzymes

Long Name

1-phosphatidylinositol 4,5-bisphosphate phosphodiesterase beta-2

Alternate Names

EC 3.1.4.11, PLC-beta-2, PLCB2

Gene Symbol

PLCB2

Additional Phospholipase C beta 2 Products

Product Documents for Phospholipase C beta 2 Antibody - BSA Free

Certificate of Analysis

To download a Certificate of Analysis, please enter a lot number in the search box below.

Product Specific Notices for Phospholipase C beta 2 Antibody - BSA Free

This product is for research use only and is not approved for use in humans or in clinical diagnosis. Primary Antibodies are guaranteed for 1 year from date of receipt.

Loading...
Loading...
Loading...
Loading...