Skip to main content

Phosphoglucomutase 5 Antibody (PGM5/3552) - Azide and BSA Free

Novus Biologicals, part of Bio-Techne | Catalog # NBP3-14132

Novus Biologicals, part of Bio-Techne

Key Product Details

Species Reactivity

Human, Mouse, Rat, Bovine, Rabbit

Applications

Immunohistochemistry-Paraffin, Western Blot, ELISA, Immunocytochemistry/ Immunofluorescence, Protein Array

Label

Unconjugated

Antibody Source

Monoclonal Mouse IgG2a Kappa Clone # PGM5/3552

Format

Azide and BSA Free

Concentration

1 mg/ml

Product Specifications

Immunogen

Recombinant full-length human Phosphoglucomutase 5 protein (Uniprot: Q15124)

Reactivity Notes

Predicted to react with Porcine, Avian, and Frog.

Localization

Cytoplasm

Clonality

Monoclonal

Host

Mouse

Isotype

IgG2a Kappa

Theoretical MW

56 kDa.
Disclaimer note: The observed molecular weight of the protein may vary from the listed predicted molecular weight due to post translational modifications, post translation cleavages, relative charges, and other experimental factors.

Description

1.0 mg/ml of antibody purified from Bioreactor Concentrate by Protein A/G. Prepared in 10mM PBS WITHOUT BSA & azide. Also available at 200 ug/ml WITH BSA & azide (NBP3-13996).

Antibody with azide store at 2 to 8C. Antibody without azide - store at -20 to -80 C.

Scientific Data Images for Phosphoglucomutase 5 Antibody (PGM5/3552) - Azide and BSA Free

Protein Array: Phosphoglucomutase 5 Antibody (PGM5/3552) - Azide and BSA Free [NBP3-14132]

Protein Array: Phosphoglucomutase 5 Antibody (PGM5/3552) - Azide and BSA Free [NBP3-14132]

Protein Array: Phosphoglucomutase 5 Antibody (PGM5/3552) - Azide and BSA Free [NBP3-14132] - Analysis of Protein Array containing more than 19,000 full-length human proteins using Phosphoglucomutase 5 Antibody (PGM5/3552).
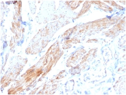
Phosphoglucomutase 5 Antibody (PGM5/3552) - Azide and BSA Free

Phosphoglucomutase 5 Antibody (PGM5/3552)

Formalin-fixed, paraffin-embeddedhuman bladderstained with Phosphoglucomutase 5 antibody (PGM5/3552) at 2ug/ml. HIER: Tris/EDTA, pH9.0, 45min. Secondary: HRP-polymer, 30min. DAB, 5min.
Phosphoglucomutase 5 Antibody (PGM5/3552) - Azide and BSA Free Western Blot: Phosphoglucomutase 5 Antibody (PGM5/3552) - Azide and BSA Free [NBP3-14132] -

Western Blot: Phosphoglucomutase 5 Antibody (PGM5/3552) - Azide and BSA Free [NBP3-14132] -

Western Blot Analysis of human heart tissue lysate using Phosphoglucomutase 5 Antibody (PGM5/3552) - Azide and BSA Free.

Applications for Phosphoglucomutase 5 Antibody (PGM5/3552) - Azide and BSA Free

Application
Recommended Usage

Immunocytochemistry/ Immunofluorescence

1-2 ug/ml

Immunohistochemistry-Paraffin

1-2 ug/ml

Western Blot

1-2 ug/ml
Application Notes
ELISA: For coating, order this antibody without BSA

Immunohistochemistry (Formalin-fixed): 1-2ug/ml for 30 minutes at RT. Staining of formalin-fixed tissues requires heating tissue sections in 10mM Tris with 1mM EDTA, pH 9.0, for 45 min at 95C followed by cooling at RT for 20 minutes

Formulation, Preparation, and Storage

Purification

Protein A or G purified

Formulation

10mM PBS

Format

Azide and BSA Free

Preservative

No Preservative

Concentration

1 mg/ml

Shipping

The product is shipped with polar packs. Upon receipt, store it immediately at the temperature recommended below.

Stability & Storage

Store at -20 to -80C. Avoid freeze-thaw cycles.

Background: Phosphoglucomutase 5

Phosphoglucomutases (EC 5.2.2.2.), such as PGM5, are phosphotransferases involved in interconversion of glucose-1-phosphate and glucose-6-phosphate. PGM activity is essential in formation of carbohydrates from glucose-6-phosphate and in formation of glucose-6-phosphate from galactose and glycogen (Edwards et al., 1995 [PubMed 8586438]).[supplied by OMIM]

Alternate Names

Aciculin, EC 5.4.2.2, PGM-RP, PGMRPphosphoglucomutase-like protein 5, phosphoglucomutase 5, Phosphoglucomutase-related protein

Gene Symbol

PGM5

Additional Phosphoglucomutase 5 Products

Product Documents for Phosphoglucomutase 5 Antibody (PGM5/3552) - Azide and BSA Free

Certificate of Analysis

To download a Certificate of Analysis, please enter a lot number in the search box below.

Product Specific Notices for Phosphoglucomutase 5 Antibody (PGM5/3552) - Azide and BSA Free

This product is for research use only and is not approved for use in humans or in clinical diagnosis. Primary Antibodies are guaranteed for 1 year from date of receipt.

Loading...
Loading...
Loading...
Loading...