Skip to main content

PHLDB1 Antibody - BSA Free

Novus Biologicals, part of Bio-Techne | Catalog # NBP1-90451

Novus Biologicals, part of Bio-Techne
Catalog #
Availability
Size / Price
Qty
Loading...
NBP1-90451
NBP1-90451-25ul

Key Product Details

Species Reactivity

Validated:

Human

Predicted:

Mouse (95%), Rat (95%). Backed by our 100% Guarantee.

Applications

Immunohistochemistry, Immunohistochemistry-Paraffin

Label

Unconjugated

Antibody Source

Polyclonal Rabbit IgG

Format

BSA Free

Concentration

Concentrations vary lot to lot. See vial label for concentration. If unlisted please contact technical services.

Product Specifications

Immunogen

This antibody was developed against Recombinant Protein corresponding to amino acids: AILDSQAGQIRAQAVQESERLARDKNASLQLLQKEKEKLTVLERRYHSLTGGRPFPKTTSTLKEMEKLLLPAVDLEQWYQELM

Clonality

Polyclonal

Host

Rabbit

Isotype

IgG

Scientific Data Images for PHLDB1 Antibody - BSA Free

PHLDB1 Antibody - BSA Free Immunohistochemistry: PHLDB1 Antibody - BSA Free [NBP1-90451]

Immunohistochemistry: PHLDB1 Antibody - BSA Free [NBP1-90451]

Staining of human skeletal muscle shows moderate cytoplasmic positivity in myocytes.
PHLDB1 Antibody - BSA Free Immunohistochemistry: PHLDB1 Antibody - BSA Free [NBP1-90451]

Immunohistochemistry: PHLDB1 Antibody - BSA Free [NBP1-90451]

Staining of human cerebellum shows moderate cytoplasmic and nuclear positivity in Purkinje cells.
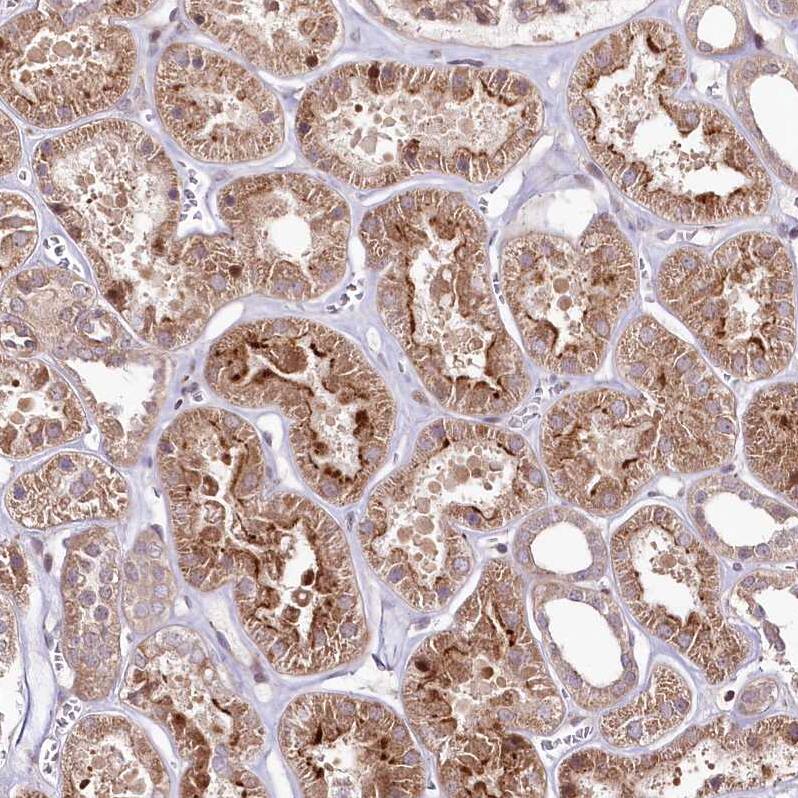
PHLDB1 Antibody - BSA Free Immunohistochemistry: PHLDB1 Antibody - BSA Free [NBP1-90451]

Immunohistochemistry: PHLDB1 Antibody - BSA Free [NBP1-90451]

Staining of human kidney shows moderate cytoplasmic positivity in cells in tubules.

Applications for PHLDB1 Antibody - BSA Free

Application
Recommended Usage

Immunohistochemistry

1:20 - 1:50

Immunohistochemistry-Paraffin

1:20 - 1:50
Application Notes
For IHC-Paraffin, HIER pH 6 retrieval is recommended.

Formulation, Preparation, and Storage

Purification

Affinity purified

Formulation

PBS (pH 7.2) and 40% Glycerol

Format

BSA Free

Preservative

0.02% Sodium Azide

Concentration

Concentrations vary lot to lot. See vial label for concentration. If unlisted please contact technical services.

Shipping

The product is shipped with polar packs. Upon receipt, store it immediately at the temperature recommended below.

Stability & Storage

Store at 4C short term. Aliquot and store at -20C long term. Avoid freeze-thaw cycles.

Background: PHLDB1

Alternate Names

FLJ00141, LL5alpha, pleckstrin homology-like domain, family B, member 1

Entrez Gene IDs

23187 (Human)

Gene Symbol

PHLDB1

UniProt

Additional PHLDB1 Products

Product Documents for PHLDB1 Antibody - BSA Free

Certificate of Analysis

To download a Certificate of Analysis, please enter a lot number in the search box below.

Product Specific Notices for PHLDB1 Antibody - BSA Free

This product is for research use only and is not approved for use in humans or in clinical diagnosis. Primary Antibodies are guaranteed for 1 year from date of receipt.

Loading...
Loading...
Loading...
Loading...