PHLDA3 Antibody - BSA Free
Novus Biologicals, part of Bio-Techne | Catalog # NBP1-80683
Key Product Details
Species Reactivity
Validated:
Human
Cited:
Human
Predicted:
Mouse (100%), Rat (99%). Backed by our 100% Guarantee.
Applications
Validated:
Immunohistochemistry, Immunohistochemistry-Paraffin
Cited:
Western Blot, Flow Cytometry, IF/IHC
Label
Unconjugated
Antibody Source
Polyclonal Rabbit IgG
Format
BSA Free
Concentration
Concentrations vary lot to lot. See vial label for concentration. If unlisted please contact technical services.
Product Specifications
Immunogen
This antibody was developed against Recombinant Protein corresponding to amino acids: LWKRKRCVLTERGLQLFEAKGTGGRPKELSFARIKAVECVESTGRHIYFTLVTEGGGEIDFRCPLEDPGWNAQITLGLVKFKNQQAIQTVR
Clonality
Polyclonal
Host
Rabbit
Isotype
IgG
Scientific Data Images for PHLDA3 Antibody - BSA Free
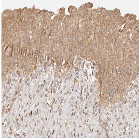
Immunohistochemistry-Paraffin: PHLDA3 Antibody [NBP1-80683] -
Immunohistochemistry-Paraffin: PHLDA3 Antibody [NBP1-80683] -Staining of human colon shows moderate cytoplasmic positivity in glandular cells.Immunohistochemistry-Paraffin: PHLDA3 Antibody [NBP1-80683] -
Immunohistochemistry-Paraffin: PHLDA3 Antibody [NBP1-80683] -Staining of human skeletal muscle shows moderate cytoplasmic positivity in myocytes.Immunohistochemistry-Paraffin: PHLDA3 Antibody [NBP1-80683] -
Immunohistochemistry-Paraffin: PHLDA3 Antibody [NBP1-80683] -Staining of human urinary bladder shows moderate cytoplasmic positivity in urothelial cells.Applications for PHLDA3 Antibody - BSA Free
Application
Recommended Usage
Immunohistochemistry
1:50 - 1:200
Immunohistochemistry-Paraffin
1:50 - 1:200
Application Notes
For IHC-Paraffin, HIER pH 6 retrieval is recommended.
Formulation, Preparation, and Storage
Purification
Affinity purified
Formulation
PBS (pH 7.2) and 40% Glycerol
Format
BSA Free
Preservative
0.02% Sodium Azide
Concentration
Concentrations vary lot to lot. See vial label for concentration. If unlisted please contact technical services.
Shipping
The product is shipped with polar packs. Upon receipt, store it immediately at the temperature recommended below.
Stability & Storage
Store at 4C short term. Aliquot and store at -20C long term. Avoid freeze-thaw cycles.
Background: PHLDA3
Alternate Names
family A, member 2, pleckstrin homology-like domain, family A, member 3, TIH1TDAG51/Ipl homolog 1
Entrez Gene IDs
23612 (Human)
Gene Symbol
PHLDA3
UniProt
Additional PHLDA3 Products
Product Documents for PHLDA3 Antibody - BSA Free
Product Specific Notices for PHLDA3 Antibody - BSA Free
This product is for research use only and is not approved for use in humans or in clinical diagnosis. Primary Antibodies are guaranteed for 1 year from date of receipt.
Loading...
Loading...
Loading...
Loading...