PHF6 Antibody
Novus Biologicals, part of Bio-Techne | Catalog # NB100-68262
Key Product Details
Validated by
Independent Antibodies, Biological Validation
Species Reactivity
Validated:
Human, Mouse
Cited:
Human, Mouse
Predicted:
Bovine (100%), Orangutan (100%). Backed by our 100% Guarantee.
Applications
Validated:
Immunohistochemistry, Immunohistochemistry-Paraffin, Immunohistochemistry-Frozen, Western Blot, Immunoprecipitation, Chromatin Immunoprecipitation (ChIP)
Cited:
Immunohistochemistry-Frozen, Western Blot, Chemotaxis
Label
Unconjugated
Antibody Source
Polyclonal Rabbit IgG
Concentration
0.2 mg/ml
Product Specifications
Immunogen
The immunogen recognized by this antibody maps to a region between residue 315 and 365 of human PHD finger protein 6 (NP_115834.1).
Reactivity Notes
Mouse reactivity reported in scientific literature (PMID: 30403997).
Clonality
Polyclonal
Host
Rabbit
Isotype
IgG
Theoretical MW
41.29 kDa.
Disclaimer note: The observed molecular weight of the protein may vary from the listed predicted molecular weight due to post translational modifications, post translation cleavages, relative charges, and other experimental factors.
Disclaimer note: The observed molecular weight of the protein may vary from the listed predicted molecular weight due to post translational modifications, post translation cleavages, relative charges, and other experimental factors.
Scientific Data Images for PHF6 Antibody
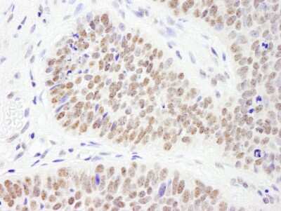
Immunohistochemistry-Paraffin: PHF6 Antibody [NB100-68262]
Immunohistochemistry-Paraffin: PHF6 Antibody [NB100-68262] - Sample: FFPE section of human skin carcinoma. Antibody: Affinity purified rabbit anti- PHF6 used at a dilution of 1:200 (1ug/ml). Detection: DABWestern Blot: PHF6 Antibody [NB100-68262]
Western Blot: PHF6 Antibody [NB100-68262] - Image from a customer review testing on 293T cells.Applications for PHF6 Antibody
Application
Recommended Usage
Immunohistochemistry
1:100 - 1:500
Immunohistochemistry-Paraffin
1:100-1:500
Immunoprecipitation
2-5 ug/mg lysate
Western Blot
1:2000-1:10000
Application Notes
Epitope retrieval with citrate buffer pH6.0 is recommended for FFPE tissue sections. Use in chromatin immunoprecipitation reported in scientific literature (PMID: 30551478). Use in Immunohistochemistry-Frozen reported in scientific literature (PMID:32187544). PHF6 antibody validated for WB from a verified customer review.
Reviewed Applications
Read 1 review rated 5 using NB100-68262 in the following applications:
Formulation, Preparation, and Storage
Purification
Immunogen affinity purified
Formulation
TBS and 0.1% BSA
Preservative
0.09% Sodium Azide
Concentration
0.2 mg/ml
Shipping
The product is shipped with polar packs. Upon receipt, store it immediately at the temperature recommended below.
Stability & Storage
Store at 4C. Do not freeze.
Background: PHF6
Alternate Names
BFLS, BORJ, Borjeson-Forssman-Lehmann syndrome, KIAA1823, MGC14797, PHD finger protein 6, PHD-like zinc finger protein
Entrez Gene IDs
84295 (Human)
Gene Symbol
PHF6
UniProt
Additional PHF6 Products
Product Documents for PHF6 Antibody
Product Specific Notices for PHF6 Antibody
This product is for research use only and is not approved for use in humans or in clinical diagnosis. Primary Antibodies are guaranteed for 1 year from date of receipt.
Loading...
Loading...
Loading...
Loading...
Loading...