Skip to main content

PHF6 Antibody

Novus Biologicals, part of Bio-Techne | Catalog # NB100-68260

Novus Biologicals, part of Bio-Techne
Catalog #
Availability
Size / Price
Qty
Loading...
NB100-68260

Key Product Details

Validated by

Independent Antibodies, Biological Validation

Species Reactivity

Human

Applications

Immunohistochemistry, Immunohistochemistry-Paraffin, Western Blot, Immunoprecipitation

Label

Unconjugated

Antibody Source

Polyclonal Rabbit IgG

Concentration

0.2 mg/ml

Product Specifications

Immunogen

The immunogen recognized by this antibody maps to a region between residue 1 and 50 of human PHD finger protein 6 using the numbering given in entry NP_115834.1 (GeneID 84295).

Clonality

Polyclonal

Host

Rabbit

Isotype

IgG

Description

Novus Biologicals Rabbit PHF6 Antibody (NB100-68260) is a polyclonal antibody validated for use in IHC, WB and IP. All Novus Biologicals antibodies are covered by our 100% guarantee.

Scientific Data Images for PHF6 Antibody

Western Blot: PHF6 Antibody [NB100-68260]

Western Blot: PHF6 Antibody [NB100-68260]

Western Blot: PHF6 Antibody [NB100-68260] - Samples: Whole cell lysate from HeLa (5, 15 and 50 ug for WB; 1 mg for IP, 20% of IP loaded) and 293T (T; 50 ug) cells. Antibodies: Affinity purified rabbit anti-PHF6 antibody NB100-68260 used for WB at 0.04 ug/ml (A) and 1 ug/ml (B) and used for IP at 3 ug/mg lysate. PHF6 was also immunoprecipitated by rabbit anti-PHF6 antibodies NB100-68261 and NB100-68262, which recognize downstream epitopes. Detection: Chemiluminescence with exposure times of 10 seconds (A) and 3 seconds (B).
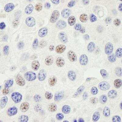
Immunohistochemistry-Paraffin: PHF6 Antibody [NB100-68260]

Immunohistochemistry-Paraffin: PHF6 Antibody [NB100-68260]

Immunohistochemistry-Paraffin: PHF6 Antibody [NB100-68260] - Sample: FFPE section of human breast carcinoma. Antibody: Affinity purified rabbit anti-PHF6 used at a dilution of 1:200 (1ug/ml). Detection: DAB

Applications for PHF6 Antibody

Application
Recommended Usage

Immunohistochemistry

1:100 - 1:500

Immunohistochemistry-Paraffin

1:100 - 1:500

Immunoprecipitation

2-5 ug/mg lysate

Western Blot

1:2000-1:10000
Application Notes
Epitope retrieval with citrate buffer pH6.0 is recommended for FFPE tissue sections.

Formulation, Preparation, and Storage

Purification

Immunogen affinity purified

Formulation

TBS and 0.1% BSA

Preservative

0.09% Sodium Azide

Concentration

0.2 mg/ml

Shipping

The product is shipped with polar packs. Upon receipt, store it immediately at the temperature recommended below.

Stability & Storage

Store at 4C. Do not freeze.

Background: PHF6

This gene is a member of the plant homeodomain (PHD)-like finger (PHF) family. It encodes a protein with two PHD-type zinc finger domains, indicating a potential role in transcriptional regulation, that localizes to the nucleolus. Mutations affecting the coding region of this gene or the splicing of the transcript have been associated with Borjeson-Forssman-Lehmann syndrome (BFLS), a disorder characterized by mental retardation, epilepsy, hypogonadism, hypometabolism, obesity, swelling of subcutaneous tissue of the face, narrow palpebral fissures, and large ears. Alternate transcriptional splice variants, encoding different isoforms, have been characterized.

Alternate Names

BFLS, BORJ, Borjeson-Forssman-Lehmann syndrome, KIAA1823, MGC14797, PHD finger protein 6, PHD-like zinc finger protein

Entrez Gene IDs

84295 (Human)

Gene Symbol

PHF6

UniProt

Additional PHF6 Products

Product Documents for PHF6 Antibody

Certificate of Analysis

To download a Certificate of Analysis, please enter a lot number in the search box below.

Product Specific Notices for PHF6 Antibody

This product is for research use only and is not approved for use in humans or in clinical diagnosis. Primary Antibodies are guaranteed for 1 year from date of receipt.

Loading...
Loading...
Loading...
Loading...