Skip to main content

phakinin Antibody - BSA Free

Novus Biologicals, part of Bio-Techne | Catalog # NBP1-90621

Novus Biologicals, part of Bio-Techne
Catalog #
Availability
Size / Price
Qty
Loading...
NBP1-90621
NBP1-90621-25ul

Key Product Details

Validated by

Independent Antibodies

Species Reactivity

Human

Applications

Immunohistochemistry, Immunohistochemistry-Paraffin

Label

Unconjugated

Antibody Source

Polyclonal Rabbit IgG

Format

BSA Free

Concentration

Concentrations vary lot to lot. See vial label for concentration. If unlisted please contact technical services.

Product Specifications

Immunogen

This antibody was developed against Recombinant Protein corresponding to amino acids: LSRNYEEDVKLLHKQLAGCELEQMDAPIGTGLDDILETIRIQWERDVEKNRVEAGALLQAKQQAEVAHMSQTQEEKLAAALRVE

Reactivity Notes

Immunogen displays the following percentage of sequence identity for non-tested species: Mouse (83%), Rat (82%)

Clonality

Polyclonal

Host

Rabbit

Isotype

IgG

Scientific Data Images for phakinin Antibody - BSA Free

Immunohistochemistry-Paraffin: phakinin Antibody [NBP1-90621]

Immunohistochemistry-Paraffin: phakinin Antibody [NBP1-90621]

Immunohistochemistry-Paraffin: phakinin Antibody [NBP1-90621] - Staining of human kidney.
Immunohistochemistry-Paraffin: phakinin Antibody [NBP1-90621]

Immunohistochemistry-Paraffin: phakinin Antibody [NBP1-90621]

Immunohistochemistry-Paraffin: phakinin Antibody [NBP1-90621] - Staining of human eye shows strong positivity in the lens.
Immunohistochemistry-Paraffin: phakinin Antibody [NBP1-90621]

Immunohistochemistry-Paraffin: phakinin Antibody [NBP1-90621]

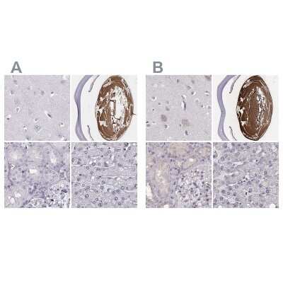
Immunohistochemistry-Paraffin: phakinin Antibody [NBP1-90621] - Staining of human cerebral cortex, eye, kidney and liver using Anti-BFSP2 antibody NBP1-90621 (A) shows similar protein distribution across tissues to independent antibody NBP2-57096 (B).

Applications for phakinin Antibody - BSA Free

Application
Recommended Usage

Immunohistochemistry

1:2500 - 1:5000

Immunohistochemistry-Paraffin

1:2500 - 1:5000
Application Notes
For IHC-Paraffin, HIER pH 6 retrieval is recommended.

Formulation, Preparation, and Storage

Purification

Affinity purified

Formulation

PBS (pH 7.2) and 40% Glycerol

Format

BSA Free

Preservative

0.02% Sodium Azide

Concentration

Concentrations vary lot to lot. See vial label for concentration. If unlisted please contact technical services.

Shipping

The product is shipped with polar packs. Upon receipt, store it immediately at the temperature recommended below.

Stability & Storage

Store at 4C short term. Aliquot and store at -20C long term. Avoid freeze-thaw cycles.

Background: phakinin

Alternate Names

beaded filament structural protein 2, phakinin, CP47, CP49, Cytoskeletal protein, 49-kD, MGC142078, phakinin

Gene Symbol

BFSP2

Additional phakinin Products

Product Documents for phakinin Antibody - BSA Free

Certificate of Analysis

To download a Certificate of Analysis, please enter a lot number in the search box below.

Product Specific Notices for phakinin Antibody - BSA Free

This product is for research use only and is not approved for use in humans or in clinical diagnosis. Primary Antibodies are guaranteed for 1 year from date of receipt.

Loading...
Loading...
Loading...
Loading...