Skip to main content

phakinin Antibody (OTI4E7)

Novus Biologicals, part of Bio-Techne | Catalog # NBP2-46573

Novus Biologicals, part of Bio-Techne
Catalog #
Availability
Size / Price
Qty
Loading...
NBP2-46573

Key Product Details

Species Reactivity

Human, Rat

Applications

Immunohistochemistry, Immunohistochemistry-Paraffin, Western Blot

Label

Unconjugated

Antibody Source

Monoclonal Mouse IgG1 Clone # OTI4E7

Concentration

1 mg/ml

Product Specifications

Immunogen

Human recombinant protein fragment corresponding to amino acids 184-415 of human BFSP2 (NP_003562) produced in E.coli.

Clonality

Monoclonal

Host

Mouse

Isotype

IgG1

Theoretical MW

45.7 kDa.
Disclaimer note: The observed molecular weight of the protein may vary from the listed predicted molecular weight due to post translational modifications, post translation cleavages, relative charges, and other experimental factors.

Description

Novus Biologicals Mouse phakinin Antibody (OTI4E7) (NBP2-46573) is a monoclonal antibody validated for use in IHC and WB. All Novus Biologicals antibodies are covered by our 100% guarantee.

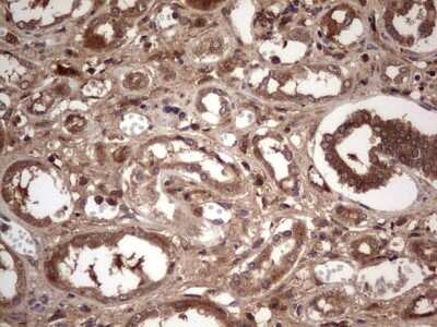
Scientific Data Images for phakinin Antibody (OTI4E7)

Western Blot: phakinin Antibody (OTI4E7) [NBP2-46573]

Western Blot: phakinin Antibody (OTI4E7) [NBP2-46573]

Western Blot: phakinin Antibody (4E7) [NBP2-46573] - Analysis of HEK293T cells were transfected with the pCMV6-ENTRY control (Left lane) or pCMV6-ENTRY Phakinin.
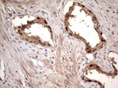
Immunohistochemistry: phakinin Antibody (OTI4E7) [NBP2-46573]

Immunohistochemistry: phakinin Antibody (OTI4E7) [NBP2-46573]

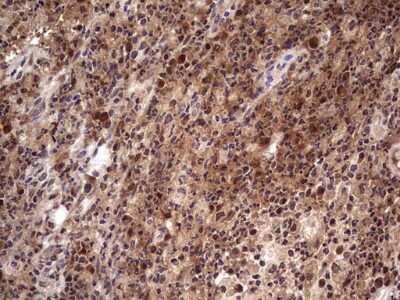
Immunohistochemistry: phakinin Antibody (4E7) [NBP2-46573] - Analysis of Human tonsil tissue. (Heat-induced epitope retrieval by 1 mM EDTA in 10mM Tris, pH8.5, 120C for 3min)
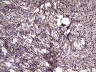
Immunohistochemistry: phakinin Antibody (OTI4E7) [NBP2-46573]

Immunohistochemistry: phakinin Antibody (OTI4E7) [NBP2-46573]

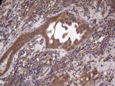
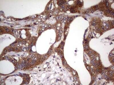
Immunohistochemistry: phakinin Antibody (4E7) [NBP2-46573] - Analysis of Human breast tissue. (Heat-induced epitope retrieval by 1 mM EDTA in 10mM Tris, pH8.5, 120C for 3min)

Applications for phakinin Antibody (OTI4E7)

Application
Recommended Usage

Immunohistochemistry

1:150

Western Blot

1:500

Formulation, Preparation, and Storage

Purification

Immunogen affinity purified

Formulation

PBS (pH 7.3), 1.0% BSA and 50% Glycerol

Preservative

0.02% Sodium Azide

Concentration

1 mg/ml

Shipping

The product is shipped with polar packs. Upon receipt, store it immediately at the temperature recommended below.

Stability & Storage

Store at -20C. Avoid freeze-thaw cycles.

Background: phakinin

Alternate Names

beaded filament structural protein 2, phakinin, CP47, CP49, Cytoskeletal protein, 49-kD, MGC142078, phakinin

Gene Symbol

BFSP2

Additional phakinin Products

Product Documents for phakinin Antibody (OTI4E7)

Certificate of Analysis

To download a Certificate of Analysis, please enter a lot number in the search box below.

Product Specific Notices for phakinin Antibody (OTI4E7)

This product is for research use only and is not approved for use in humans or in clinical diagnosis. Primary Antibodies are guaranteed for 1 year from date of receipt.

Loading...
Loading...
Loading...
Loading...