Skip to main content

PGK2 Antibody - BSA Free

Novus Biologicals, part of Bio-Techne | Catalog # NBP2-68964

Novus Biologicals, part of Bio-Techne
Catalog #
Availability
Size / Price
Qty
Loading...
NBP2-68964
NBP2-68964-25ul

Key Product Details

Species Reactivity

Validated:

Human

Predicted:

Mouse (100%), Rat (100%). Backed by our 100% Guarantee.

Applications

Immunohistochemistry, Immunohistochemistry-Paraffin, Western Blot

Label

Unconjugated

Antibody Source

Polyclonal Rabbit IgG

Format

BSA Free

Concentration

Concentrations vary lot to lot. See vial label for concentration. If unlisted please contact technical services.

Product Specifications

Immunogen

This antibody was developed against a recombinant protein corresponding to amino acids: GCITIIGGGDTATCCAKWNTEDKVSHVSTGGGASLELLEGKVLP

Clonality

Polyclonal

Host

Rabbit

Isotype

IgG

Description

Novus Biologicals Rabbit PGK2 Antibody - BSA Free (NBP2-68964) is a polyclonal antibody validated for use in IHC and WB. All Novus Biologicals antibodies are covered by our 100% guarantee.

Scientific Data Images for PGK2 Antibody - BSA Free

Western Blot: PGK2 Antibody [NBP2-68964]

Western Blot: PGK2 Antibody [NBP2-68964]

Western Blot: PGK2 Antibody [NBP2-68964] - Analysis in human cell line RT-4, human cell line U-251 MG, human plasma, human liver tissue and human tonsil tissue.
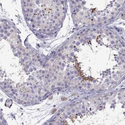
Immunohistochemistry: PGK2 Antibody [NBP2-68964]

Immunohistochemistry: PGK2 Antibody [NBP2-68964]

Immunohistochemistry: PGK2 Antibody [NBP2-68964] - Immunohistochemical staining of human testis shows strong cytoplasmic positivity of a subset of cells in seminiferous ducts.

Applications for PGK2 Antibody - BSA Free

Application
Recommended Usage

Immunohistochemistry

1:5000 - 1:10000

Immunohistochemistry-Paraffin

1:5000 - 1:10000

Western Blot

0.04-0.4 ug/ml
Application Notes
Recommended conditions for IHC,Retrieval method: HIER pH6

Formulation, Preparation, and Storage

Purification

Affinity purified

Formulation

PBS (pH 7.2) and 40% Glycerol

Format

BSA Free

Preservative

0.02% Sodium Azide

Concentration

Concentrations vary lot to lot. See vial label for concentration. If unlisted please contact technical services.

Shipping

The product is shipped with polar packs. Upon receipt, store it immediately at the temperature recommended below.

Stability & Storage

Store at 4C short term. Aliquot and store at -20C long term. Avoid freeze-thaw cycles.

Background: PGK2

The PGK2 gene encodes a testis-specific form of phosphoglycerate kinase (EC 2.7.2.3), which catalyzes the reversible conversion of 1,3-diphosphoglycerate to 3-phosphoglycerate during glycolysis, generating one molecule of ATP. See also PGK1 (MIM 311800), which is ubiquitously expressed in all somatic tissues and maps to chromosome Xq13.[supplied by OMIM]

Alternate Names

dJ417L20.2, EC 2.7.2.3, PGK-2, PGKB, PGKPS, phosphoglycerate kinase 2, phosphoglycerate kinase autosomal pseudogene, Phosphoglycerate kinase, testis specific

Gene Symbol

PGK2

Additional PGK2 Products

Product Documents for PGK2 Antibody - BSA Free

Certificate of Analysis

To download a Certificate of Analysis, please enter a lot number in the search box below.

Product Specific Notices for PGK2 Antibody - BSA Free

This product is for research use only and is not approved for use in humans or in clinical diagnosis. Primary Antibodies are guaranteed for 1 year from date of receipt.

Loading...
Loading...
Loading...
Loading...