Skip to main content

PFKP Antibody (OTI1D6) - Azide and BSA Free

Novus Biologicals, part of Bio-Techne | Catalog # NBP2-73344

Novus Biologicals, part of Bio-Techne
Catalog #
Availability
Size / Price
Qty
Loading...
NBP2-73344

Key Product Details

Validated by

Knockout/Knockdown

Species Reactivity

Human, Mouse, Rat

Applications

Knockout Validated, Immunohistochemistry, Immunohistochemistry-Paraffin, Western Blot, Flow Cytometry, Immunocytochemistry/ Immunofluorescence, CyTOF-ready

Label

Unconjugated

Antibody Source

Monoclonal Mouse IgG1 Clone # OTI1D6

Format

Azide and BSA Free

Concentration

LYOPH mg/ml

Product Specifications

Immunogen

Full length human recombinant protein of human PFKP(NP_002618) produced in HEK293T cell.

Reactivity Notes

Please note that this antibody is reactive to Mouse and derived from the same host, Mouse. Mouse-On-Mouse blocking reagent may be needed for IHC and ICC experiments to reduce high background signal. You can find these reagents under catalog numbers PK-2200-NB and MP-2400-NB. Please contact Technical Support if you have any questions.

Clonality

Monoclonal

Host

Mouse

Isotype

IgG1

Theoretical MW

85.4 kDa.
Disclaimer note: The observed molecular weight of the protein may vary from the listed predicted molecular weight due to post translational modifications, post translation cleavages, relative charges, and other experimental factors.

Description

Novus Biologicals Knockout (KO) Validated Mouse PFKP Antibody (OTI1D6) - Azide and BSA Free (NBP2-01539) is a monoclonal antibody validated for use in IHC, WB, Flow and ICC/IF. All Novus Biologicals antibodies are covered by our 100% guarantee.

Scientific Data Images for PFKP Antibody (OTI1D6) - Azide and BSA Free

Western Blot: PFKP Antibody (OTI1D6)Azide and BSA Free [NBP2-73344]

Western Blot: PFKP Antibody (OTI1D6)Azide and BSA Free [NBP2-73344]

Western Blot: PFKP Antibody (OTI1D6) - Azide and BSA Free [NBP2-73344] - HEK293T cells were transfected with the pCMV6-ENTRY control (Left lane) or pCMV6-ENTRY PFKP (Right lane) cDNA for 48 hrs and lysed. Equivalent amounts of cell lysates (5 ug per lane) were separated by SDS-PAGE and immunoblotted with anti-PFKP.
Immunocytochemistry/ Immunofluorescence: PFKP Antibody (OTI1D6) - Azide and BSA Free [NBP2-73344]

Immunocytochemistry/ Immunofluorescence: PFKP Antibody (OTI1D6) - Azide and BSA Free [NBP2-73344]

Immunocytochemistry/Immunofluorescence: PFKP Antibody (OTI1D6) - Azide and BSA Free [NBP2-73344] - Staining of COS7 cells transiently transfected by pCMV6-ENTRY PFKP.
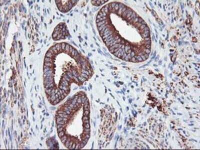
Immunohistochemistry: PFKP Antibody (OTI1D6) - Azide and BSA Free [NBP2-73344]

Immunohistochemistry: PFKP Antibody (OTI1D6) - Azide and BSA Free [NBP2-73344]

Immunohistochemistry: PFKP Antibody (OTI1D6) - Azide and BSA Free [NBP2-73344] - Staining of paraffin-embedded Carcinoma of Human lung tissue using anti-PFKP mouse monoclonal antibody.

Applications for PFKP Antibody (OTI1D6) - Azide and BSA Free

Application
Recommended Usage

Flow Cytometry

1:100

Immunocytochemistry/ Immunofluorescence

1:100

Immunohistochemistry

1:150

Western Blot

1:500-2000

Formulation, Preparation, and Storage

Purification

Immunogen affinity purified

Reconstitution

we recommend adding 100uL distilled water to a final antibody concentration of about 1 mg/mL. To use this carrier-free antibody for conjugation experiment, we strongly recommend performing another round of desalting process.

Formulation

Lyophilized from PBS (pH 7.3) with 8% Trehalose

Format

Azide and BSA Free

Preservative

No Preservative

Concentration

LYOPH mg/ml

Shipping

The product is shipped with polar packs. Upon receipt, store it immediately at the temperature recommended below.

Stability & Storage

Store at -20C. Avoid freeze-thaw cycles.

Background: PFKP

The PFKP gene encodes the platelet isoform of phosphofructokinase (PFK) (ATP:D-fructose-6-phosphate-1-phosphotransferase, EC 2.7.1.11). PFK catalyzes the irreversible conversion of fructose-6-phosphate to fructose-1,6-bisphosphate and is a key regulatory enzyme in glycolysis. The PFKP gene, which maps to chromosome 10p, is also expressed in fibroblasts. See also the muscle (PFKM; MIM 610681) and liver (PFKL; MIM 171860) isoforms of phosphofructokinase, which map to chromosomes 12q13 and 21q22, respectively. Vora (1981) [PubMed 6451249] determined that full tetrameric phophofructokinase enzyme expressed in platelets can be composed of subunits P4, P3L, and P2L2.[supplied by OMIM]

Alternate Names

6-phosphofructokinase type C, 6-phosphofructokinase, platelet type, EC 2.7.1, EC 2.7.1.11, PFK-CFLJ40226, PFKFplatelet type, Phosphofructokinase 1, phosphofructokinase, platelet, phosphohexokinase

Gene Symbol

PFKP

Additional PFKP Products

Product Documents for PFKP Antibody (OTI1D6) - Azide and BSA Free

Certificate of Analysis

To download a Certificate of Analysis, please enter a lot number in the search box below.

Product Specific Notices for PFKP Antibody (OTI1D6) - Azide and BSA Free

This product is for research use only and is not approved for use in humans or in clinical diagnosis. Primary Antibodies are guaranteed for 1 year from date of receipt.

Loading...
Loading...
Loading...
Loading...
Loading...
Loading...