PFKFB4 Antibody - BSA Free
Novus Biologicals, part of Bio-Techne | Catalog # NBP1-32538
Key Product Details
Validated by
Orthogonal Validation
Species Reactivity
Validated:
Human, Mouse, Rat
Predicted:
Bovine (99%). Backed by our 100% Guarantee.
Applications
Immunohistochemistry, Immunohistochemistry-Paraffin, Western Blot, Immunocytochemistry/ Immunofluorescence
Label
Unconjugated
Antibody Source
Polyclonal Rabbit IgG
Format
BSA Free
Concentration
Concentrations vary lot to lot. See vial label for concentration. If unlisted please contact technical services.
Product Specifications
Immunogen
Recombinant protein encompassing a sequence within the center region of human PFKFB4. The exact sequence is proprietary.
Reactivity Notes
Xenopus laevis (85%), Chicken (86%).
Clonality
Polyclonal
Host
Rabbit
Isotype
IgG
Theoretical MW
54 kDa.
Disclaimer note: The observed molecular weight of the protein may vary from the listed predicted molecular weight due to post translational modifications, post translation cleavages, relative charges, and other experimental factors.
Disclaimer note: The observed molecular weight of the protein may vary from the listed predicted molecular weight due to post translational modifications, post translation cleavages, relative charges, and other experimental factors.
Description
Novus Biologicals Rabbit PFKFB4 Antibody - BSA Free (NBP1-32538) is a polyclonal antibody validated for use in IHC, WB and ICC/IF. All Novus Biologicals antibodies are covered by our 100% guarantee.
Scientific Data Images for PFKFB4 Antibody - BSA Free
Immunocytochemistry/ Immunofluorescence: PFKFB4 Antibody [NBP1-32538]
Immunocytochemistry/Immunofluorescence: PFKFB4 Antibody [NBP1-32538] - Sample: NT2D1 cells.Green: PFKFB4 protein stained by PFKFB4 antibody (NBP1-32538) diluted at 1:500.Blue: Hoechst 33342 staining.Immunohistochemistry-Paraffin: PFKFB4 Antibody [NBP1-32538]
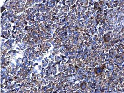
Immunohistochemistry-Paraffin: PFKFB4 Antibody [NBP1-32538] - Paraffin-embedded mouse spleen. PFKFB4 antibody diluted at 1:500.Immunohistochemistry-Paraffin: PFKFB4 Antibody [NBP1-32538]
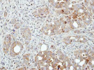
Immunohistochemistry-Paraffin: PFKFB4 Antibody [NBP1-32538] - Paraffin-embedded NCI-N87 xenograft, using antibody at 1:500 dilution.Applications for PFKFB4 Antibody - BSA Free
Application
Recommended Usage
Immunocytochemistry/ Immunofluorescence
1:100-1:1000
Immunohistochemistry
1:100-1:1000
Immunohistochemistry-Paraffin
1:100-1:1000
Western Blot
1:500-1:3000
Formulation, Preparation, and Storage
Purification
Antigen Affinity-purified
Formulation
PBS, 20% Glycerol
Format
BSA Free
Preservative
0.025% Proclin 300
Concentration
Concentrations vary lot to lot. See vial label for concentration. If unlisted please contact technical services.
Shipping
The product is shipped with polar packs. Upon receipt, store it immediately at the temperature recommended below.
Stability & Storage
Aliquot and store at -20C or -80C. Avoid freeze-thaw cycles.
Background: PFKFB4
Long Name
6-Phosphofructo-2-Kinase/ Fructose-2,6-Bisphosphatase 4
Alternate Names
6PF-2-K/Fru-2,6-P2ase 4, PFK/FBPase 4
Gene Symbol
PFKFB4
Additional PFKFB4 Products
Product Documents for PFKFB4 Antibody - BSA Free
Product Specific Notices for PFKFB4 Antibody - BSA Free
This product is for research use only and is not approved for use in humans or in clinical diagnosis. Primary Antibodies are guaranteed for 1 year from date of receipt.
Loading...
Loading...
Loading...
Loading...
⚠ WARNING: This product can expose you to chemicals including mercury, which is known to the State of California to cause reproductive toxicity with developmental effects. For more information go to www.P65Warnings.ca.gov.