Skip to main content

PFDN6 Antibody - BSA Free

Novus Biologicals, part of Bio-Techne | Catalog # NBP2-47335

Novus Biologicals, part of Bio-Techne
Catalog #
Availability
Size / Price
Qty
Loading...
NBP2-47335
NBP2-47335-25ul

Key Product Details

Validated by

Independent Antibodies

Species Reactivity

Validated:

Human

Predicted:

Mouse (98%), Rat (96%). Backed by our 100% Guarantee.

Applications

Immunohistochemistry, Immunohistochemistry-Paraffin, Immunocytochemistry/ Immunofluorescence

Label

Unconjugated

Antibody Source

Polyclonal Rabbit IgG

Format

BSA Free

Concentration

Concentrations vary lot to lot. See vial label for concentration. If unlisted please contact technical services.

Product Specifications

Immunogen

This antibody was developed against a recombinant protein corresponding to amino acids: ARATVGKRLDYITAEIKRYESQLRDLERQSEQQRETLAQLQQEFQRAQAAKAG

Clonality

Polyclonal

Host

Rabbit

Isotype

IgG

Description

Novus Biologicals Rabbit PFDN6 Antibody - BSA Free (NBP2-47335) is a polyclonal antibody validated for use in IHC and ICC/IF. All Novus Biologicals antibodies are covered by our 100% guarantee.

Scientific Data Images for PFDN6 Antibody - BSA Free

Immunohistochemistry-Paraffin: PFDN6 Antibody [NBP2-47335]

Immunohistochemistry-Paraffin: PFDN6 Antibody [NBP2-47335]

Immunohistochemistry-Paraffin: PFDN6 Antibody [NBP2-47335] - Staining of human colon, liver, pancreas and testis using Anti-PFDN6 antibody NBP2-47335 (A) shows similar protein distribution across tissues to independent antibody NBP2-30389 (B).
Immunocytochemistry/ Immunofluorescence: PFDN6 Antibody [NBP2-47335]

Immunocytochemistry/ Immunofluorescence: PFDN6 Antibody [NBP2-47335]

Immunocytochemistry/Immunofluorescence: PFDN6 Antibody [NBP2-47335] - Immunofluorescent staining of human cell line U-2 OS shows localization to nucleus & the Golgi apparatus.
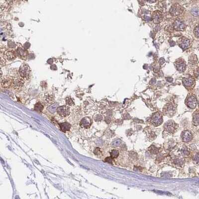
Immunohistochemistry-Paraffin: PFDN6 Antibody [NBP2-47335]

Immunohistochemistry-Paraffin: PFDN6 Antibody [NBP2-47335]

Immunohistochemistry-Paraffin: PFDN6 Antibody [NBP2-47335] - Staining of human testis.

Applications for PFDN6 Antibody - BSA Free

Application
Recommended Usage

Immunocytochemistry/ Immunofluorescence

0.25-2 ug/ml

Immunohistochemistry

1:500 - 1:1000

Immunohistochemistry-Paraffin

1:500 - 1:1000
Application Notes
For IHC-Paraffin, HIER pH 6 retrieval is recommended. ICC/IF, Fixation Permeabilization: Use PFA/Triton X-100.

Formulation, Preparation, and Storage

Purification

Affinity purified

Formulation

PBS (pH 7.2) and 40% Glycerol

Format

BSA Free

Preservative

0.02% Sodium Azide

Concentration

Concentrations vary lot to lot. See vial label for concentration. If unlisted please contact technical services.

Shipping

The product is shipped with polar packs. Upon receipt, store it immediately at the temperature recommended below.

Stability & Storage

Store at 4C short term. Aliquot and store at -20C long term. Avoid freeze-thaw cycles.

Background: PFDN6

PFDN6 binds specifically to cytosolic chaperonin (c-CPN) and transfers target proteins to it. Binds to nascentpolypeptide chain and promotes folding in an environment in which there are many competing pathways for nonnativeproteins

Alternate Names

H2-KE2, HLA class II region expressed gene KE2, KE-2, KE2 protein, MGC70744, PFD6HKE2, prefoldin 6, prefoldin subunit 6, Protein Ke2

Gene Symbol

PFDN6

Additional PFDN6 Products

Product Documents for PFDN6 Antibody - BSA Free

Certificate of Analysis

To download a Certificate of Analysis, please enter a lot number in the search box below.

Product Specific Notices for PFDN6 Antibody - BSA Free

This product is for research use only and is not approved for use in humans or in clinical diagnosis. Primary Antibodies are guaranteed for 1 year from date of receipt.

Loading...
Loading...
Loading...
Loading...