Skip to main content

PEX11B Antibody (JE64-51)

Novus Biologicals, part of Bio-Techne | Catalog # NBP3-32742

Recombinant Monoclonal Antibody
Novus Biologicals, part of Bio-Techne
Catalog #
Availability
Size / Price
Qty
Loading...
NBP3-32742

Key Product Details

Species Reactivity

Human

Applications

Immunohistochemistry, Immunohistochemistry-Paraffin, Western Blot

Label

Unconjugated

Antibody Source

Recombinant Monoclonal Rabbit IgG Clone # JE64-51 expressed in HEK293

Concentration

1 mg/ml

Product Specifications

Immunogen

Synthetic peptide within human PEX11B aa 101-150/259. (Uniprot: O96011)

Localization

Peroxisome membrane.

Clonality

Monoclonal

Host

Rabbit

Isotype

IgG

Theoretical MW

28 kDa.
Disclaimer note: The observed molecular weight of the protein may vary from the listed predicted molecular weight due to post translational modifications, post translation cleavages, relative charges, and other experimental factors.

Description

Novus Biologicals Rabbit PEX11B Antibody (JE64-51) (NBP3-32742) is a recombinant monoclonal antibody validated for use in IHC and WB. All Novus Biologicals antibodies are covered by our 100% guarantee.

Scientific Data Images for PEX11B Antibody (JE64-51)

PEX11B Antibody (JE64-51)

Western Blot: PEX11B Antibody (JE64-51) [NBP3-32742]

Western Blot: PEX11B Antibody (JE64-51) [NBP3-32742] - Western blot analysis of PEX11B on different lysates with Rabbit anti-PEX11B antibody (NBP3-32742) at 1/500 dilution.

Lane 1: Human lung tissue lysate, 20 ug/Lane
Lane 2: MCF-7 cell lysate, 10 ug/Lane.

Predicted band size: 28 kDa
Observed band size: 25 kDa

Exposure time: 1 minute;

12% SDS-PAGE gel.

Proteins were transferred to a PVDF membrane and blocked with 5% NFDM/TBST for 1 hour at room temperature. The primary antibody (NBP3-32742) at 1/500 dilution was used in 5% NFDM/TBST at room temperature for 2 hours. Goat Anti-Rabbit IgG - HRP Secondary Antibody at 1:300,000 dilution was used for 1 hour at room temperature.
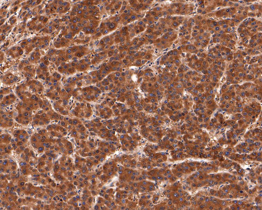
PEX11B Antibody (JE64-51)

Immunohistochemistry: PEX11B Antibody (JE64-51) [NBP3-32742]

Immunohistochemistry: PEX11B Antibody (JE64-51) [NBP3-32742] - Immunohistochemical analysis of paraffin-embedded human lung carcinoma tissue with Rabbit anti-PEX11B antibody (NBP3-32742) at 1/400 dilution.

The section was pre-treated using heat mediated antigen retrieval with Tris-EDTA buffer (pH 9.0) for 20 minutes. The tissues were blocked in 1% BSA for 20 minutes at room temperature, washed with ddH2O and PBS, and then probed with the primary antibody (NBP3-32742) at 1/400 dilution for 1 hour at room temperature. The detection was performed using an HRP conjugated compact polymer system. DAB was used as the chromogen. Tissues were counterstained with hematoxylin and mounted with DPX.

Applications for PEX11B Antibody (JE64-51)

Application
Recommended Usage

Immunohistochemistry-Paraffin

1:400

Western Blot

1:500

Formulation, Preparation, and Storage

Purification

Protein A purified

Formulation

1*TBS (pH7.4), 0.05% BSA and 40% Glycerol

Preservative

0.05% Sodium Azide

Concentration

1 mg/ml

Shipping

The product is shipped with polar packs. Upon receipt, store it immediately at the temperature recommended below.

Stability & Storage

Store at 4C short term. Aliquot and store at -20C long term. Avoid freeze-thaw cycles.

Background: PEX11B

PEX11B is involved in peroxisomal proliferation. May regulate peroxisomes division by recruiting the dynamin-related GTPase DNM1L to the peroxisomal membrane

Alternate Names

Peroxin-11B, peroxisomal biogenesis factor 11 beta, Peroxisomal biogenesis factor 11Bperoxisomal membrane protein 11B, PEX11-beta, Protein PEX11 homolog beta

Gene Symbol

PEX11B

Additional PEX11B Products

Product Documents for PEX11B Antibody (JE64-51)

Certificate of Analysis

To download a Certificate of Analysis, please enter a lot number in the search box below.

Product Specific Notices for PEX11B Antibody (JE64-51)

This product is for research use only and is not approved for use in humans or in clinical diagnosis. Primary Antibodies are guaranteed for 1 year from date of receipt.

Loading...
Loading...
Loading...
Loading...