Skip to main content

Peripherin Antibody - BSA Free

Novus Biologicals, part of Bio-Techne | Catalog # NBP2-39008

Novus Biologicals, part of Bio-Techne
Catalog #
Availability
Size / Price
Qty
Loading...
NBP2-39008
NBP2-39008-25ul

Key Product Details

Validated by

Independent Antibodies

Species Reactivity

Validated:

Human

Predicted:

Rat (90%). Backed by our 100% Guarantee.

Applications

Immunohistochemistry, Immunohistochemistry-Paraffin

Label

Unconjugated

Antibody Source

Polyclonal Rabbit IgG

Format

BSA Free

Concentration

Concentrations vary lot to lot. See vial label for concentration. If unlisted please contact technical services.

Product Specifications

Immunogen

This antibody was developed against a recombinant protein corresponding to amino acids: EESRISVPVHSFASLNIKTTVPEVEPPQDSHSRKTVLIKTI

Reactivity Notes

Immunogen displays the following percentage of sequence identity for non-tested species: Mouse (83%)

Clonality

Polyclonal

Host

Rabbit

Isotype

IgG

Description

Novus Biologicals Rabbit Peripherin Antibody - BSA Free (NBP2-39008) is a polyclonal antibody validated for use in IHC. All Novus Biologicals antibodies are covered by our 100% guarantee.

Scientific Data Images for Peripherin Antibody - BSA Free

Immunohistochemistry-Paraffin: Peripherin Antibody [NBP2-39008]

Immunohistochemistry-Paraffin: Peripherin Antibody [NBP2-39008]

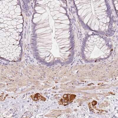
Immunohistochemistry-Paraffin: Peripherin Antibody [NBP2-39008] - Staining of human cerebral cortex, pancreas, rectum and upper gastrointestinal using Anti-PRPH antibody NBP2-39008 (A) shows similar protein distribution across tissues to independent antibody NBP2-38444 (B).
Immunohistochemistry-Paraffin: Peripherin Antibody [NBP2-39008]

Immunohistochemistry-Paraffin: Peripherin Antibody [NBP2-39008]

Immunohistochemistry-Paraffin: Peripherin Antibody [NBP2-39008] - Staining of human cerebral cortex shows no positivity in neurons as expected.
Immunohistochemistry-Paraffin: Peripherin Antibody [NBP2-39008]

Immunohistochemistry-Paraffin: Peripherin Antibody [NBP2-39008]

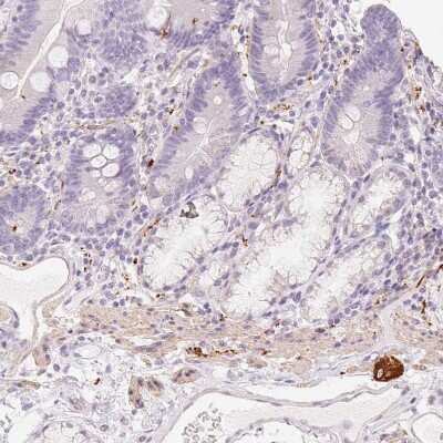
Immunohistochemistry-Paraffin: Peripherin Antibody [NBP2-39008] - Staining of human duodenum shows strong cytoplasmic positivity in the peripheral ganglion.

Applications for Peripherin Antibody - BSA Free

Application
Recommended Usage

Immunohistochemistry

1:2500 - 1:5000

Immunohistochemistry-Paraffin

1:2500 - 1:5000
Application Notes
For IHC-Paraffin, HIER pH 6 retrieval is recommended.

Formulation, Preparation, and Storage

Purification

Affinity purified

Formulation

PBS (pH 7.2) and 40% Glycerol

Format

BSA Free

Preservative

0.02% Sodium Azide

Concentration

Concentrations vary lot to lot. See vial label for concentration. If unlisted please contact technical services.

Shipping

The product is shipped with polar packs. Upon receipt, store it immediately at the temperature recommended below.

Stability & Storage

Store at 4C short term. Aliquot and store at -20C long term. Avoid freeze-thaw cycles.

Background: Peripherin

Peripherin is a Class III intermediate filament subunit found in both the peripheral and central nervous systems, though it is concentrated--as its name suggests--in the neurons of peripheral ganglia and their processes. Antibodies to peripherin can be used in identifying, classifying, and studying neurons in the nervous system. Peripherin is also a good diagnostic marker for ballooned axons seen in Lou Gehrig's disease and some neuronally derived tumors. Peripherin is also a major component of the cytoskeleton of PC12 cells, a widely used model system for studies of neuronal differentiation. Autoantibodies to peripherin are frequently seen in the sera of patients with diabetes. Peripherin is not related to peripherin-RDS, a photoreceptor protein associated with retinal degeneration and blindness.

Alternate Names

Neurofilament 4, neurofilament 4 (57kD), peripherin, PRPH1NEF4

Gene Symbol

PRPH

UniProt

Additional Peripherin Products

Product Documents for Peripherin Antibody - BSA Free

Certificate of Analysis

To download a Certificate of Analysis, please enter a lot number in the search box below.

Product Specific Notices for Peripherin Antibody - BSA Free

This product is for research use only and is not approved for use in humans or in clinical diagnosis. Primary Antibodies are guaranteed for 1 year from date of receipt.

Loading...
Loading...
Loading...
Loading...