Skip to main content

Periostin/OSF-2 Antibody (OTI2B2)

Novus Biologicals, part of Bio-Techne | Catalog # NBP2-45371

Novus Biologicals, part of Bio-Techne

Key Product Details

Species Reactivity

Human, Mouse, Rat

Applications

Immunohistochemistry, Immunohistochemistry-Paraffin, Western Blot, Simple Western

Label

Unconjugated

Antibody Source

Monoclonal Mouse IgG2A Clone # OTI2B2

Concentration

1 mg/ml

Product Specifications

Immunogen

Human recombinant protein fragment corresponding to amino acids 538-781 of human POSTN (NP_001129407) produced in E.coli.

Reactivity Notes

Please note that this antibody is reactive to Mouse and derived from the same host, Mouse. Mouse-On-Mouse blocking reagent may be needed for IHC and ICC experiments to reduce high background signal. You can find these reagents under catalog numbers PK-2200-NB and MP-2400-NB. Please contact Technical Support if you have any questions.

Clonality

Monoclonal

Host

Mouse

Isotype

IgG2A

Theoretical MW

87.1 kDa.
Disclaimer note: The observed molecular weight of the protein may vary from the listed predicted molecular weight due to post translational modifications, post translation cleavages, relative charges, and other experimental factors.

Description

Novus Biologicals Mouse Periostin/OSF-2 Antibody (OTI2B2) (NBP2-45371) is a monoclonal antibody validated for use in IHC, WB and Simple Western. All Novus Biologicals antibodies are covered by our 100% guarantee.

Scientific Data Images for Periostin/OSF-2 Antibody (OTI2B2)

Western Blot: Periostin/OSF-2 Antibody (OTI2B2) [NBP2-45371]

Western Blot: Periostin/OSF-2 Antibody (OTI2B2) [NBP2-45371]

Western Blot: Periostin/OSF-2 Antibody (OTI2B2) [NBP2-45371] - Analysis of HEK293T cells were transfected with the pCMV6-ENTRY control (Left lane) or pCMV6-ENTRY Periostin.
Immunohistochemistry: Periostin/OSF-2 Antibody (OTI2B2) [NBP2-45371]

Immunohistochemistry: Periostin/OSF-2 Antibody (OTI2B2) [NBP2-45371]

Immunohistochemistry: Periostin/OSF-2 Antibody (OTI2B2) [NBP2-45371] - Staining for POSTN protein of negative control, positive control,enchondroma, and low grade chondrosarcoma (original magnification x 400) by using anti-POSTN antibody. Dilution: 1:1000
Immunohistochemistry: Periostin/OSF-2 Antibody (OTI2B2) [NBP2-45371]

Immunohistochemistry: Periostin/OSF-2 Antibody (OTI2B2) [NBP2-45371]

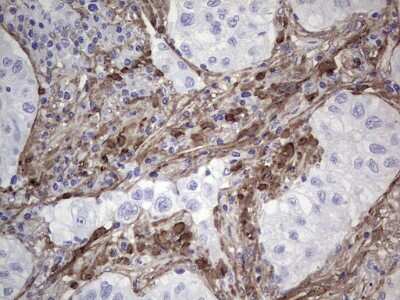
Immunohistochemistry: Periostin/OSF-2 Antibody (OTI2B2) [NBP2-45371] - Analysis of Human colon tissue. (Heat-induced epitope retrieval by 1 mM EDTA in 10mM Tris, pH8.5, 120C for 3min)

Applications for Periostin/OSF-2 Antibody (OTI2B2)

Application
Recommended Usage

Immunohistochemistry

1:150

Immunohistochemistry-Paraffin

1:150

Simple Western

1:10

Western Blot

1:2000

Formulation, Preparation, and Storage

Purification

Immunogen affinity purified

Formulation

PBS (pH 7.3), 1.0% BSA and 50% Glycerol

Preservative

0.02% Sodium Azide

Concentration

1 mg/ml

Shipping

The product is shipped with polar packs. Upon receipt, store it immediately at the temperature recommended below.

Stability & Storage

Store at -20C. Avoid freeze-thaw cycles.

Background: Periostin/OSF-2

Periostin is a disulfide linked 90 kDa 811 amno acid protein originally isolated as a osteoblastspecific factor that functions as a cell adhesion molecule for preosteoblasts and is thought to be involved in osteoblast recruitment, attachment and spreading. Additionally, periostin expression has previously been shown to be significantly increased by both transforming growth factor beta-1(TGFbeta1) and bone morphogenetic protein (BMP)-2. OSF-2 has a typical signal sequence, followed by a cysteine-rich domain, a fourfold repeated domain and a C-terminal domain. The fourfold repeated domain of OSF-2 shows homology with the insect protein fasciclin. Periostin mRNA is expressed in the developing mouse embryonic and fetal heart, and that it is localized to the endocardial cushions that ultimately divide the primitive heart tube into a four-chambered heart.

Long Name

Osteoblast Specific Factor 2

Alternate Names

Fasciclin I-like, OSF-2, OSF2, POSTN, TRIF52

Gene Symbol

POSTN

Additional Periostin/OSF-2 Products

Product Documents for Periostin/OSF-2 Antibody (OTI2B2)

Certificate of Analysis

To download a Certificate of Analysis, please enter a lot number in the search box below.

Product Specific Notices for Periostin/OSF-2 Antibody (OTI2B2)

This product is for research use only and is not approved for use in humans or in clinical diagnosis. Primary Antibodies are guaranteed for 1 year from date of receipt.

Loading...
Loading...
Loading...
Loading...