Skip to main content

Periostin/OSF-2 Antibody (CL12087) - Azide and BSA Free

Novus Biologicals, part of Bio-Techne | Catalog # NBP3-44358

Novus Biologicals, part of Bio-Techne

Key Product Details

Validated by

Orthogonal Validation

Species Reactivity

Human

Applications

Immunohistochemistry-Paraffin, Immunocytochemistry/ Immunofluorescence

Label

Unconjugated

Antibody Source

Monoclonal Mouse IgG2A Clone # CL12087

Format

Azide and BSA Free

Concentration

LYOPH mg/ml

Product Specifications

Immunogen

This antibody was generated using a synthetic peptide of Q15063, with the exact immunogen sequence remaining proprietary.

Clonality

Monoclonal

Host

Mouse

Isotype

IgG2A

Description

Novus Biologicals Mouse Periostin/OSF-2 Antibody (CL12087) - Azide and BSA Free (NBP3-15128) is a monoclonal antibody validated for use in IHC and ICC/IF. All Novus Biologicals antibodies are covered by our 100% guarantee.

Scientific Data Images for Periostin/OSF-2 Antibody (CL12087) - Azide and BSA Free

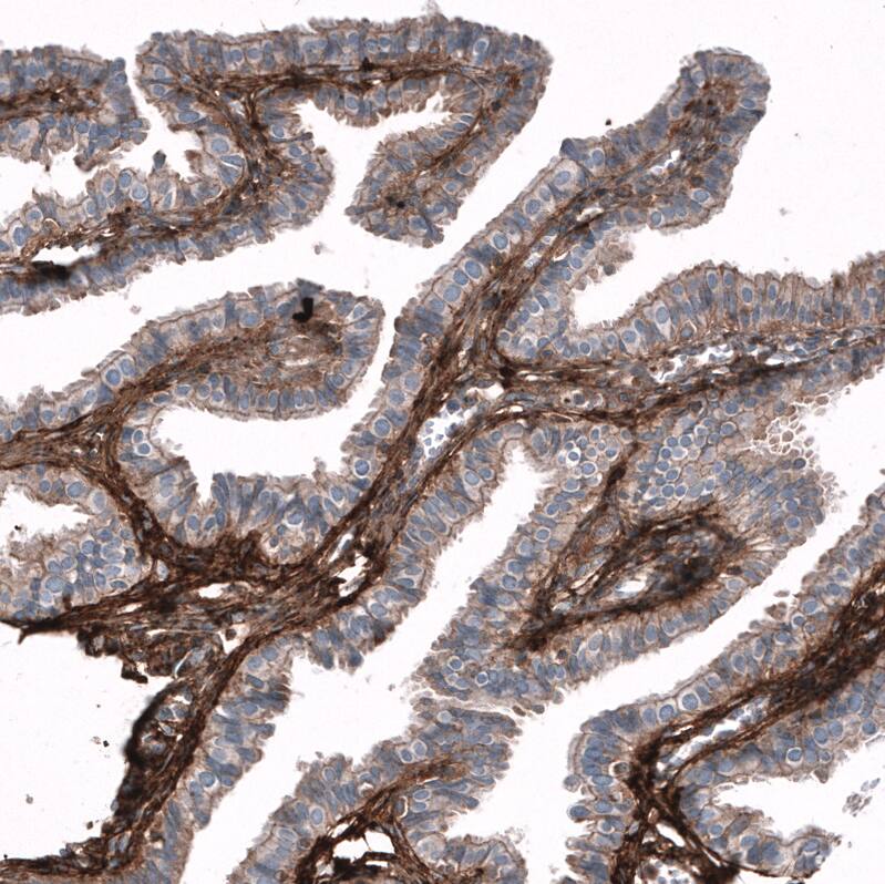
Periostin/OSF-2 Antibody (CL12087) - Azide and BSA Free Immunohistochemistry-Paraffin: Periostin/OSF-2 Antibody [NBP3-44358]

Immunohistochemistry-Paraffin: Periostin/OSF-2 Antibody [NBP3-44358]

Analysis in human stomach and skeletal muscle tissues using NBP3-44358 antibody. Corresponding Periostin/OSF-2 RNA-seq data are presented for the same tissues.
Periostin/OSF-2 Antibody (CL12087) - Azide and BSA Free Immunohistochemistry-Paraffin: Periostin/OSF-2 Antibody [NBP3-44358]

Immunohistochemistry-Paraffin: Periostin/OSF-2 Antibody [NBP3-44358]

Staining of human breast cancer shows strong positivity in extracellular matrix.
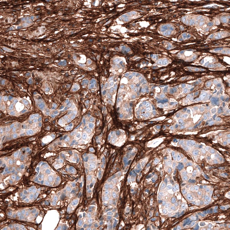
Periostin/OSF-2 Antibody (CL12087) - Azide and BSA Free Immunohistochemistry-Paraffin: Periostin/OSF-2 Antibody [NBP3-44358]

Immunohistochemistry-Paraffin: Periostin/OSF-2 Antibody [NBP3-44358]

Staining of human astrocytoma shows moderate positivity in tumor cells.

Applications for Periostin/OSF-2 Antibody (CL12087) - Azide and BSA Free

Application
Recommended Usage

Immunocytochemistry/ Immunofluorescence

2-10 ug/ml

Immunohistochemistry-Paraffin

1:200 - 1:500
Application Notes
For IHC-Paraffin, HIER pH 6 retrieval is recommended. Immunocytochemistry/ Immunofluorescence/IF, PFA/Triton X-100 is recommended for fixation/permeabilization.

Formulation, Preparation, and Storage

Purification

Protein A purified

Reconstitution

Centrifuge the vial of lyophilized antibody at 12,000 x g for 20 seconds. Reconstitute by adding sterile, distilled water to achieve a final antibody concentration of 1mg/ml.

Formulation

Lyophilized from a 0.2 um filtered solution in PBS with Trehalose

Format

Azide and BSA Free

Preservative

No Preservative

Concentration

LYOPH mg/ml

Shipping

The product is shipped at ambient temperature. Upon receipt, store it immediately at the temperature recommended below.

Stability & Storage

Store at 4C short term. Aliquot and store at -20C long term. Avoid freeze-thaw cycles.

Background: Periostin/OSF-2

Periostin is a disulfide linked 90 kDa 811 amno acid protein originally isolated as a osteoblastspecific factor that functions as a cell adhesion molecule for preosteoblasts and is thought to be involved in osteoblast recruitment, attachment and spreading. Additionally, periostin expression has previously been shown to be significantly increased by both transforming growth factor beta-1(TGFbeta1) and bone morphogenetic protein (BMP)-2. OSF-2 has a typical signal sequence, followed by a cysteine-rich domain, a fourfold repeated domain and a C-terminal domain. The fourfold repeated domain of OSF-2 shows homology with the insect protein fasciclin. Periostin mRNA is expressed in the developing mouse embryonic and fetal heart, and that it is localized to the endocardial cushions that ultimately divide the primitive heart tube into a four-chambered heart.

Long Name

Osteoblast Specific Factor 2

Alternate Names

Fasciclin I-like, OSF-2, OSF2, POSTN, TRIF52

Gene Symbol

POSTN

Additional Periostin/OSF-2 Products

Product Documents for Periostin/OSF-2 Antibody (CL12087) - Azide and BSA Free

Certificate of Analysis

To download a Certificate of Analysis, please enter a lot number in the search box below.

Product Specific Notices for Periostin/OSF-2 Antibody (CL12087) - Azide and BSA Free

This product is for research use only and is not approved for use in humans or in clinical diagnosis. Primary Antibodies are guaranteed for 1 year from date of receipt.

Loading...
Loading...
Loading...
Loading...
Loading...