Perilipin-2/ADFP Antibody (ADFP/2755R) - Azide and BSA Free
Novus Biologicals, part of Bio-Techne | Catalog # NBP3-08454
Recombinant Monoclonal Antibody
Conjugate
Catalog #
Key Product Details
Species Reactivity
Human
Applications
Immunohistochemistry-Paraffin, Western Blot, ELISA
Label
Unconjugated
Antibody Source
Recombinant Monoclonal Rabbit IgG Clone # ADFP/2755R
Format
Azide and BSA Free
Concentration
1 mg/ml
Product Specifications
Immunogen
Recombinant fragment (around aa 249-376) of human Perilipin-2/ADFP protein (exact sequence is proprietary) (Uniprot: Q99541)
Localization
Cytoplasmic
Marker
Marker of Lipid Accumulation
Clonality
Monoclonal
Host
Rabbit
Isotype
IgG
Theoretical MW
48 kDa.
Disclaimer note: The observed molecular weight of the protein may vary from the listed predicted molecular weight due to post translational modifications, post translation cleavages, relative charges, and other experimental factors.
Disclaimer note: The observed molecular weight of the protein may vary from the listed predicted molecular weight due to post translational modifications, post translation cleavages, relative charges, and other experimental factors.
Description
1.0 mg/ml of antibody purified from Bioreactor Concentrate by Protein A/G. Prepared in 10mM PBS WITHOUT BSA & azide. Also available at 200 ug/ml WITH BSA & azide (NBP3-07883).
Antibody with azide - store at 2 to 8C. Antibody without azide - store at -20 to -80C.
Antibody with azide - store at 2 to 8C. Antibody without azide - store at -20 to -80C.
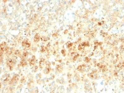
Scientific Data Images for Perilipin-2/ADFP Antibody (ADFP/2755R) - Azide and BSA Free
Western Blot: Perilipin-2/ADFP Antibody (ADFP/2755R)Azide and BSA Free [NBP3-08454]
Western Blot: Perilipin-2/ADFP Antibody (ADFP/2755R) - Azide and BSA Free [NBP3-08454] - Western Blot Analysis for human Liver tissue lysate using Perilipin-2/ADFP Recombinant Rabbit Monoclonal Antibody (ADFP/2755R).Immunohistochemistry-Paraffin: Perilipin-2/ADFP Antibody (ADFP/2755R) - Azide and BSA Free [NBP3-08454]
Immunohistochemistry-Paraffin: Perilipin-2/ADFP Antibody (ADFP/2755R) - Azide and BSA Free [NBP3-08454] - Formalin-fixed, paraffin-embedded human Adrenal Gland stained with Perilipin-2/ADFP Recombinant Rabbit Monoclonal Antibody (ADFP/2755R).Applications for Perilipin-2/ADFP Antibody (ADFP/2755R) - Azide and BSA Free
Application
Recommended Usage
Immunohistochemistry-Paraffin
1-2 ug/ml
Western Blot
1-2 ug/ml
Application Notes
ELISA: For coating, order antibody without BSA
Formulation, Preparation, and Storage
Purification
Protein A or G purified
Formulation
10 mM PBS
Format
Azide and BSA Free
Preservative
No Preservative
Concentration
1 mg/ml
Shipping
The product is shipped with polar packs. Upon receipt, store it immediately at the temperature recommended below.
Stability & Storage
Store at -20 to -80C. Avoid freeze-thaw cycles.
Background: Perilipin-2
References
1. Itabe H, Yamaguchi T, Nimura S, Sasabe N. Perilipins: a diversity of intracellular lipid droplet proteins. Lipids Health Dis. 2017;16(1):83. https://doi.org/10.1186/s12944-017-0473-y
2. Conte M, Franceschi C, Sandri M, Salvioli S. Perilipin 2 and Age-Related Metabolic Diseases: A New Perspective. Trends Endocrinol Metab. 2016;27(12):893-903. https://doi.org/10.1016/j.tem.2016.09.001
3. Sztalryd C, Brasaemle DL. The perilipin family of lipid droplet proteins: Gatekeepers of intracellular lipolysis. Biochim Biophys Acta Mol Cell Biol Lipids. 2017;1862(10 Pt B):1221-1232. https://doi.org/10.1016/j.bbalip.2017.07.009
4. Uniprot (Q99541)
5. Chong BM, Reigan P, Mayle-Combs KD, Orlicky DJ, McManaman JL. Determinants of adipophilin function in milk lipid formation and secretion. Trends Endocrinol Metab. 2011;22(6):211-217. https://10.1016/j.tem.2011.04.003
Alternate Names
ADFP, Adipophilin, Perilipin2, PLIN2
Gene Symbol
PLIN2
Additional Perilipin-2 Products
Product Documents for Perilipin-2/ADFP Antibody (ADFP/2755R) - Azide and BSA Free
Product Specific Notices for Perilipin-2/ADFP Antibody (ADFP/2755R) - Azide and BSA Free
This product is for research use only and is not approved for use in humans or in clinical diagnosis. Primary Antibodies are guaranteed for 1 year from date of receipt.
Loading...
Loading...
Loading...
Loading...