Skip to main content

PELP1 Antibody (6H4) - BSA Free

Novus Biologicals, part of Bio-Techne | Catalog # NBP3-15157

Recombinant Monoclonal Antibody
Novus Biologicals, part of Bio-Techne
Catalog #
Availability
Size / Price
Qty
Loading...
NBP3-15157

Key Product Details

Species Reactivity

Human

Applications

Immunohistochemistry, Western Blot, ELISA

Label

Unconjugated

Antibody Source

Recombinant Monoclonal Rabbit IgG Clone # 6H4 expressed in HEK293

Format

BSA Free

Concentration

Please see the vial label for concentration. If unlisted please contact technical services.

Product Specifications

Immunogen

A synthesized peptide derived from human PELP1. UniProt ID (Q8IZL8).

Clonality

Monoclonal

Host

Rabbit

Isotype

IgG

Description

Novus Biologicals Rabbit PELP1 Antibody (6H4) - BSA Free (NBP3-15157) is a recombinant monoclonal antibody validated for use in IHC, WB and ELISA. All Novus Biologicals antibodies are covered by our 100% guarantee.

Scientific Data Images for PELP1 Antibody (6H4) - BSA Free

Western Blot: PELP1 Antibody (6H4) [NBP3-15157]

Western Blot: PELP1 Antibody (6H4) [NBP3-15157]

Western Blot: PELP1 Antibody (6H4) [NBP3-15157] - Positive WB detected in: Hela whole cell lysate, Jurkat whole cell lysate, 293 whole cell lysate, MCF-7 whole cell lysate, 293T whole cell lysate, HepG2 whole cell lysate. All lanes: PELP1 antibody at 1:1000. Secondary: Goat polyclonal to rabbit IgG at 1/50000 dilution. Predicted band size: 120 KDa. Observed band size: 160 KDa.
Immunohistochemistry: PELP1 Antibody (6H4) [NBP3-15157]

Immunohistochemistry: PELP1 Antibody (6H4) [NBP3-15157]

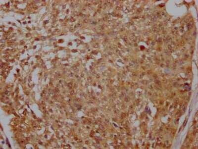
Immunohistochemistry: PELP1 Antibody (6H4) [NBP3-15157] - IHC image of PELP1 antibody diluted at 1:100 and staining in paraffin-embedded human cervical cancer. After dewaxing and hydration, antigen retrieval was mediated by high pressure in a citrate buffer (pH 6.0). Section was blocked with 10% normal goat serum 30 minutes at RT. Then primary antibody (1% BSA) was incubated at 4C overnight. The primary is detected by a Goat anti-rabbit IgG polymer labeled by HRP and visualized using 0.05% DAB.
Immunohistochemistry: PELP1 Antibody (6H4) [NBP3-15157]

Immunohistochemistry: PELP1 Antibody (6H4) [NBP3-15157]

Immunohistochemistry: PELP1 Antibody (6H4) [NBP3-15157] - IHC image of PELP1 antibody diluted at 1:100 and staining in paraffin-embedded human breast cancer. After dewaxing and hydration, antigen retrieval was mediated by high pressure in a citrate buffer (pH 6.0). Section was blocked with 10% normal goat serum 30 minutes at RT. Then primary antibody (1% BSA) was incubated at 4C overnight. The primary is detected by a Goat anti-rabbit IgG polymer labeled by HRP and visualized using 0.05% DAB.

Applications for PELP1 Antibody (6H4) - BSA Free

Application
Recommended Usage

Immunohistochemistry

1:50-1:200

Western Blot

1:500-1:5000

Formulation, Preparation, and Storage

Purification

Affinity purified

Formulation

PBS, pH 7.4, 150mM NaCl, and 50% glycerol

Format

BSA Free

Preservative

0.02% Sodium Azide

Concentration

Please see the vial label for concentration. If unlisted please contact technical services.

Shipping

The product is shipped with polar packs. Upon receipt, store it immediately at the temperature recommended below.

Stability & Storage

Store at -20 to -70C. Avoid freeze-thaw cycles.

Background: PELP1

PELP1 is a coactivator of estrogen receptor (see ESR1; MIM 133430)-mediated transcription and a corepressor of other nuclear hormone receptors and sequence-specific transcription factors (Choi et al., 2004).[supplied by OMIM]

Alternate Names

HMX3, MNARmodulator of nongenomic activity of estrogen receptor, Modulator of non-genomic activity of estrogen receptor, P160, proline and glutamic acid rich nuclear protein, proline, glutamate and leucine rich protein 1, proline, glutamic acid and leucine rich protein 1, proline-, glutamic acid- and leucine-rich protein 1, proline-, glutamic acid-, leucine-rich protein 1, Transcription factor HMX3

Gene Symbol

PELP1

Additional PELP1 Products

Product Documents for PELP1 Antibody (6H4) - BSA Free

Certificate of Analysis

To download a Certificate of Analysis, please enter a lot number in the search box below.

Product Specific Notices for PELP1 Antibody (6H4) - BSA Free

This product is for research use only and is not approved for use in humans or in clinical diagnosis. Primary Antibodies are guaranteed for 1 year from date of receipt.

Loading...
Loading...
Loading...
Loading...