PELO Antibody
Novus Biologicals, part of Bio-Techne | Catalog # NBP3-12192
Key Product Details
Species Reactivity
Human, Mouse, Rat, Primate
Applications
Immunohistochemistry, Immunohistochemistry-Paraffin, Western Blot, ELISA, Immunoprecipitation, Dot Blot
Label
Unconjugated
Antibody Source
Polyclonal Rabbit
Concentration
Please see the vial label for concentration. If unlisted please contact technical services.
Product Specifications
Immunogen
Synthetic peptide taken within amino acid region 330-380 on human PELOTA protein.
Clonality
Polyclonal
Host
Rabbit
Description
Novus Biologicals Rabbit PELO Antibody (NBP3-12192) is a polyclonal antibody validated for use in IHC, WB, ELISA and IP. All Novus Biologicals antibodies are covered by our 100% guarantee.
Scientific Data Images for PELO Antibody
Western Blot: PELO Antibody [NBP3-12192]
Western Blot: PELO Antibody [NBP3-12192] - WB of NBP3-12192 on Mouse liver. 1:500 antibody dilution in DiluObuffer. Apparent MW is 47 kDa.Immunohistochemistry-Paraffin: PELO Antibody [NBP3-12192]
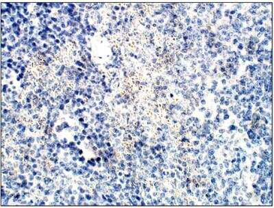
Immunohistochemistry-Paraffin: PELO Antibody [NBP3-12192] - 1:100 dilution IHC Blobking buffer. DAB (brown) staining and hematoxylin QS (blue) counterstain. 40X magnification on Leica DM4000B. FFPE section.Applications for PELO Antibody
Application
Recommended Usage
Dot Blot
1:4000
ELISA
1:4000
Immunohistochemistry
1:50-1:100
Immunoprecipitation
1:150
Western Blot
1:500
Formulation, Preparation, and Storage
Purification
Affinity purified
Formulation
Contains Tris, HCl/glycine buffer (pH 7.4-7.8), 30% glycerol, 0.5% BSA, along with cryo-protective agents, and HEPES (exact storage and stabilization buffer information is proprietary).
Preservative
0.02% Sodium Azide
Concentration
Please see the vial label for concentration. If unlisted please contact technical services.
Shipping
The product is shipped with polar packs. Upon receipt, store it immediately at the temperature recommended below.
Stability & Storage
Store at 4C short term. Store at -20C long term. Avoid freeze-thaw cycles.
Background: PELO
Alternate Names
EC 3.1, pelota (Drosophila) homolog, pelota homolog (Drosophila), PRO1770, protein pelota homolog
Gene Symbol
PELO
Additional PELO Products
Product Specific Notices for PELO Antibody
This product is for research use only and is not approved for use in humans or in clinical diagnosis. Primary Antibodies are guaranteed for 1 year from date of receipt.
Loading...
Loading...
Loading...
Loading...