Skip to main content

PELO Antibody (HL2345)

Novus Biologicals, part of Bio-Techne | Catalog # NBP3-48678

Recombinant Monoclonal Antibody
Novus Biologicals, part of Bio-Techne
Catalog #
Availability
Size / Price
Qty
Loading...
NBP3-48678

Key Product Details

Species Reactivity

Human, Mouse, Rat, Zebrafish

Applications

Immunohistochemistry, Immunohistochemistry-Paraffin, Western Blot

Label

Unconjugated

Antibody Source

Recombinant Monoclonal Rabbit IgG Clone # HL2345

Concentration

Concentrations vary lot to lot. See vial label for concentration. If unlisted please contact technical services.

Product Specifications

Immunogen

Recombinant fragment of human PELO.

Clonality

Monoclonal

Host

Rabbit

Isotype

IgG

Description

Novus Biologicals Rabbit PELO Antibody (HL2345) (NBP3-48678) is a recombinant monoclonal antibody validated for use in IHC and WB. All Novus Biologicals antibodies are covered by our 100% guarantee.

Scientific Data Images for PELO Antibody (HL2345)

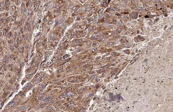
PELO Antibody (HL2345)

Immunohistochemistry-Paraffin: PELO Antibody (HL2345) [NBP3-48678] -

PELO antibody [HL2345] detects PELO protein at cytoplasm and nucleus by immunohistochemical analysis.
Sample: Paraffin-embedded human hepatocellular carcinoma.
PELO stained by PELO antibody [HL2345] (NBP3-48678) diluted at 1:100.
Antigen Retrieval: Citrate buffer, pH 6.0, 15 min
PELO Antibody (HL2345)

Immunohistochemistry-Paraffin: PELO Antibody (HL2345) [NBP3-48678] -

PELO antibody [HL2345] detects PELO protein by immunohistochemical analysis.
Sample: Paraffin-embedded mouse tissues.
PELO stained by PELO antibody [HL2345] (NBP3-48678) diluted at 1:100.
Antigen Retrieval: Citrate buffer, pH 6.0, 15 min
PELO Antibody (HL2345)

Western Blot: PELO Antibody (HL2345) [NBP3-48678] -

Whole Japanese medaka extract (30 ug) was separated by 10% SDS-PAGE, and the membrane was blotted with PELO antibody [HL2345] (NBP3-48678) diluted at 1:1000. The HRP-conjugated anti-rabbit IgG antibody was used to detect the primary antibody.

Applications for PELO Antibody (HL2345)

Application
Recommended Usage

Western Blot

1:500-1:3000

Formulation, Preparation, and Storage

Purification

Protein A purified

Formulation

PBS

Preservative

No Preservative

Concentration

Concentrations vary lot to lot. See vial label for concentration. If unlisted please contact technical services.

Shipping

The product is shipped with polar packs. Upon receipt, store it immediately at the temperature recommended below.

Stability & Storage

Store at 4C short term. Aliquot and store at -20C long term. Avoid freeze-thaw cycles.

Background: PELO

PELO encodes a protein which contains a conserved nuclear localization signal. The encoded protein may have a role in spermatogenesis, cell cycle control, and in meiotic cell division. [provided by RefSeq]

Alternate Names

EC 3.1, pelota (Drosophila) homolog, pelota homolog (Drosophila), PRO1770, protein pelota homolog

Gene Symbol

PELO

Additional PELO Products

Product Documents for PELO Antibody (HL2345)

Certificate of Analysis

To download a Certificate of Analysis, please enter a lot number in the search box below.

Product Specific Notices for PELO Antibody (HL2345)

This product is for research use only and is not approved for use in humans or in clinical diagnosis. Primary Antibodies are guaranteed for 1 year from date of receipt.

Loading...
Loading...
Loading...
Loading...