Pellino 2 Antibody - BSA Free
Novus Biologicals, part of Bio-Techne | Catalog # NBP3-47182
Key Product Details
Species Reactivity
Human, Mouse, Rat
Applications
Immunohistochemistry, Western Blot, ELISA, Immunocytochemistry/ Immunofluorescence
Label
Unconjugated
Antibody Source
Polyclonal Rabbit IgG
Format
BSA Free
Concentration
Please see the vial label for concentration. If unlisted please contact technical services.
Product Specifications
Immunogen
pellino homolog 2(Drosophila). (Uniprot# Q9HAT8)
Clonality
Polyclonal
Host
Rabbit
Isotype
IgG
Description
Novus Biologicals Rabbit Pellino 2 Antibody - BSA Free (NBP3-47182) is a polyclonal antibody validated for use in IHC, WB, ELISA and ICC/IF. All Novus Biologicals antibodies are covered by our 100% guarantee.
Scientific Data Images for Pellino 2 Antibody - BSA Free
Western Blot: Pellino 2 Antibody - BSA Free [NBP3-47182] -
Western Blot: Pellino 2 Antibody - BSA Free [NBP3-47182] - Mouse lung tissue were subjected to SDS PAGE followed by western blot with (Pellino 2 Antibody) at dilution of 1:600Immunohistochemistry: Pellino 2 Antibody - BSA Free [NBP3-47182] -
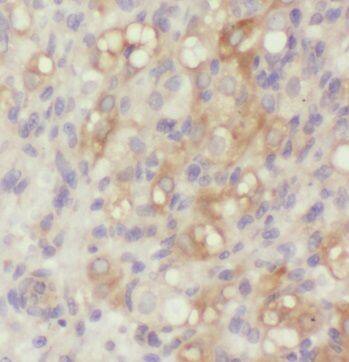
Immunohistochemistry: Pellino 2 Antibody - BSA Free [NBP3-47182] - Immunohistochemistry of paraffin-embedded human ovary tissue slide using (Pellino 2 Antibody) at dilution of 1:50Applications for Pellino 2 Antibody - BSA Free
Application
Recommended Usage
Immunocytochemistry/ Immunofluorescence
1:20-1:200
Immunohistochemistry
1:20-1:200
Western Blot
1:500-1:2000
Application Notes
Theoretical Molecular Weight is 45-50 kDa
Formulation, Preparation, and Storage
Purification
Immunogen affinity purified
Formulation
PBS, 50% Glycerol, pH (7.3)
Format
BSA Free
Preservative
0.02% Sodium Azide
Concentration
Please see the vial label for concentration. If unlisted please contact technical services.
Shipping
The product is shipped with polar packs. Upon receipt, store it immediately at the temperature recommended below.
Stability & Storage
Store at -20C. Avoid freeze-thaw cycles.
Background: PELI2/Pellino-2
Long Name
Pellino E3 Ubiquitin Protein Ligase 2
Alternate Names
pellino (Drosophila) homolog 2, pellino homolog 2 (Drosophila), pellino-2, protein pellino homolog 2
Gene Symbol
PELI2
Additional PELI2/Pellino-2 Products
Product Documents for Pellino 2 Antibody - BSA Free
Product Specific Notices for Pellino 2 Antibody - BSA Free
This product is for research use only and is not approved for use in humans or in clinical diagnosis. Primary Antibodies are guaranteed for 1 year from date of receipt.
Loading...
Loading...
Loading...
Loading...