Skip to main content

PEG3 Antibody - Azide and BSA Free

Novus Biologicals, part of Bio-Techne | Catalog # NBP3-04652

Novus Biologicals, part of Bio-Techne
Catalog #
Availability
Size / Price
Qty
Loading...
NBP3-04652-100ul
NBP3-04652-20ul

Key Product Details

Species Reactivity

Human, Mouse, Rat

Applications

Immunohistochemistry, Immunohistochemistry-Paraffin, Western Blot

Label

Unconjugated

Antibody Source

Polyclonal Rabbit IgG

Format

Azide and BSA Free

Concentration

Please see the vial label for concentration. If unlisted please contact technical services.

Product Specifications

Immunogen

Recombinant fusion protein containing a sequence corresponding to amino acids 195-400 of human PEG3 (NP_006201.1). LSLPVVAKTSFEMDREDDRDSRAYESRSQDAESYQNVVDLAEDRKPHNTIQDNMENYRKLLSLVQLAEDDGHSHMTQGHSSRSKRSAYPSTSRGLKTMPEAKKSTHRRGICEDESSHGVIMEKFIKDVSRSSKSGRARESSDRSQRFPRMSDDNWKDISLNKRESVIQQRVYEGNAFRGGFRFNSTLVSRKRVLERKRRYHFDTDG

Clonality

Polyclonal

Host

Rabbit

Isotype

IgG

Scientific Data Images for PEG3 Antibody - Azide and BSA Free

Western Blot: PEG3 AntibodyAzide and BSA Free [NBP3-04652]

Western Blot: PEG3 AntibodyAzide and BSA Free [NBP3-04652]

Western Blot: PEG3 Antibody [NBP3-04652] - Western blot analysis of extracts of HepG2 cells, using PEG3 antibody (NBP3-04652) at 1:1000 dilution. Secondary antibody: HRP Goat Anti-Rabbit IgG (H+L) at 1:10000 dilution. Lysates/proteins: 25ug per lane. Blocking buffer: 3% nonfat dry milk in TBST. Detection: ECL Basic Kit. Exposure time: 1s.
Immunohistochemistry-Paraffin: PEG3 Antibody - Azide and BSA Free [NBP3-04652]

Immunohistochemistry-Paraffin: PEG3 Antibody - Azide and BSA Free [NBP3-04652]

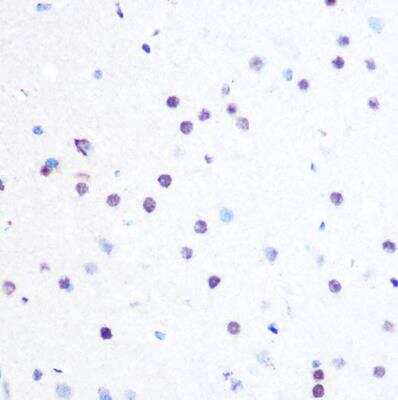
Immunohistochemistry-Paraffin: PEG3 Antibody [NBP3-04652] - Rat brain using PEG3 Rabbit pAb at dilution of 1:100 (40x lens).
Immunohistochemistry-Paraffin: PEG3 Antibody - Azide and BSA Free [NBP3-04652]

Immunohistochemistry-Paraffin: PEG3 Antibody - Azide and BSA Free [NBP3-04652]

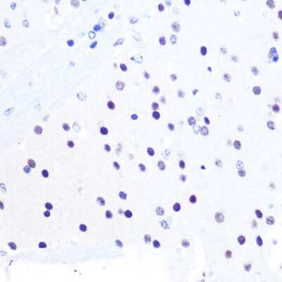
Immunohistochemistry-Paraffin: PEG3 Antibody [NBP3-04652] - Mouse brain using PEG3 Rabbit pAb (NBP3-04652) at dilution of 1:100 (40x lens).

Applications for PEG3 Antibody - Azide and BSA Free

Application
Recommended Usage

Immunohistochemistry

1:50-1:200

Western Blot

1:500 - 1:1000

Formulation, Preparation, and Storage

Purification

Affinity purified

Formulation

PBS (pH 7.3), 50% glycerol

Format

Azide and BSA Free

Preservative

0.01% Thimerosal

Concentration

Please see the vial label for concentration. If unlisted please contact technical services.

Shipping

The product is shipped with polar packs. Upon receipt, store it immediately at the temperature recommended below.

Stability & Storage

Store at -20C. Avoid freeze-thaw cycles.

Background: PEG3

In human, ZIM2 and PEG3 are treated as two distinct genes though they share multiple 5' exons and a common promoter and both genes are paternally expressed (PMID:15203203). Alternative splicing events connect their shared 5' exons either with the remaining 4 exons unique to ZIM2, or with the remaining 2 exons unique to PEG3. In contrast, in other mammals ZIM2 does not undergo imprinting and, in mouse, cow, and likely other mammals as well, the ZIM2 and PEG3 genes do not share exons. Human PEG3 protein belongs to the Kruppel C2H2-type zinc finger protein family. PEG3 may play a role in cell proliferation and p53-mediated apoptosis. PEG3 has also shown tumor suppressor activity and tumorigenesis in glioma and ovarian cells. Alternative splicing of this PEG3 gene results in multiple transcript variants encoding distinct isoforms. (provided by RefSeq)

Alternate Names

DKFZp781A095, KIAA0287PW1, paternally expressed 3, paternally expressed gene 3, Zinc finger and SCAN domain-containing protein 24, ZNF904, ZSCAN24Kruppel-type zinc finger protein

Gene Symbol

PEG3

Additional PEG3 Products

Product Documents for PEG3 Antibody - Azide and BSA Free

Certificate of Analysis

To download a Certificate of Analysis, please enter a lot number in the search box below.

Product Specific Notices for PEG3 Antibody - Azide and BSA Free

This product is for research use only and is not approved for use in humans or in clinical diagnosis. Primary Antibodies are guaranteed for 1 year from date of receipt.

Loading...
Loading...
Loading...
Loading...

⚠ WARNING: This product can expose you to chemicals including Methotrexate, which is known to the State of California to cause reproductive toxicity with developmental effects. For more information, go to www.P65Warnings.ca.gov