Skip to main content

PEG3 Antibody (OTI1E10)

Novus Biologicals, part of Bio-Techne | Catalog # NBP2-46379

Novus Biologicals, part of Bio-Techne
Catalog #
Availability
Size / Price
Qty
Loading...
NBP2-46379
Conjugate
Catalog #

Key Product Details

Species Reactivity

Human

Applications

Immunohistochemistry, Immunohistochemistry-Paraffin, Western Blot

Label

Unconjugated

Antibody Source

Monoclonal Mouse IgG1 Clone # OTI1E10

Concentration

1 mg/ml

Product Specifications

Immunogen

Human recombinant protein fragment corresponding to amino acids 1-364 of human PEG3 (NP_006201) produced in E.coli.

Clonality

Monoclonal

Host

Mouse

Isotype

IgG1

Theoretical MW

180.6 kDa.
Disclaimer note: The observed molecular weight of the protein may vary from the listed predicted molecular weight due to post translational modifications, post translation cleavages, relative charges, and other experimental factors.

Scientific Data Images for PEG3 Antibody (OTI1E10)

Western Blot: PEG3 Antibody (OTI1E10) [NBP2-46379]

Western Blot: PEG3 Antibody (OTI1E10) [NBP2-46379]

Western Blot: PEG3 Antibody (1E10) [NBP2-46379] - Analysis of HEK293T cells were transfected with the pCMV6-ENTRY control (Left lane) or pCMV6-ENTRY PEG3.
Immunohistochemistry: PEG3 Antibody (OTI1E10) [NBP2-46379]

Immunohistochemistry: PEG3 Antibody (OTI1E10) [NBP2-46379]

Immunohistochemistry: PEG3 Antibody (1E10) [NBP2-46379] - Analysis of Human colon tissue. (Heat-induced epitope retrieval by 10mM citric buffer, pH6.0, 120C for 3min)
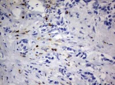
Immunohistochemistry: PEG3 Antibody (OTI1E10) [NBP2-46379]

Immunohistochemistry: PEG3 Antibody (OTI1E10) [NBP2-46379]

Immunohistochemistry: PEG3 Antibody (1E10) [NBP2-46379] - Analysis of Adenocarcinoma of Human breast tissue. (Heat-induced epitope retrieval by 10mM citric buffer, pH6.0, 120C for 3min)

Applications for PEG3 Antibody (OTI1E10)

Application
Recommended Usage

Immunohistochemistry

1:150

Immunohistochemistry-Paraffin

1:150

Western Blot

1:2000

Formulation, Preparation, and Storage

Purification

Immunogen affinity purified

Formulation

PBS (pH 7.3), 1.0% BSA and 50% Glycerol

Preservative

0.02% Sodium Azide

Concentration

1 mg/ml

Shipping

The product is shipped with polar packs. Upon receipt, store it immediately at the temperature recommended below.

Stability & Storage

Store at -20C. Avoid freeze-thaw cycles.

Background: PEG3

In human, ZIM2 and PEG3 are treated as two distinct genes though they share multiple 5' exons and a common promoter and both genes are paternally expressed (PMID:15203203). Alternative splicing events connect their shared 5' exons either with the remaining 4 exons unique to ZIM2, or with the remaining 2 exons unique to PEG3. In contrast, in other mammals ZIM2 does not undergo imprinting and, in mouse, cow, and likely other mammals as well, the ZIM2 and PEG3 genes do not share exons. Human PEG3 protein belongs to the Kruppel C2H2-type zinc finger protein family. PEG3 may play a role in cell proliferation and p53-mediated apoptosis. PEG3 has also shown tumor suppressor activity and tumorigenesis in glioma and ovarian cells. Alternative splicing of this PEG3 gene results in multiple transcript variants encoding distinct isoforms. (provided by RefSeq)

Alternate Names

DKFZp781A095, KIAA0287PW1, paternally expressed 3, paternally expressed gene 3, Zinc finger and SCAN domain-containing protein 24, ZNF904, ZSCAN24Kruppel-type zinc finger protein

Gene Symbol

PEG3

Additional PEG3 Products

Product Documents for PEG3 Antibody (OTI1E10)

Certificate of Analysis

To download a Certificate of Analysis, please enter a lot number in the search box below.

Product Specific Notices for PEG3 Antibody (OTI1E10)

This product is for research use only and is not approved for use in humans or in clinical diagnosis. Primary Antibodies are guaranteed for 1 year from date of receipt.

Loading...
Loading...
Loading...
Loading...