Skip to main content

PECI Antibody - BSA Free

Novus Biologicals, part of Bio-Techne | Catalog # NBP2-19765

Novus Biologicals, part of Bio-Techne
Catalog #
Availability
Size / Price
Qty
Loading...
NBP2-19765

Key Product Details

Species Reactivity

Human

Applications

Immunohistochemistry, Immunohistochemistry-Paraffin, Western Blot

Label

Unconjugated

Antibody Source

Polyclonal Rabbit IgG

Format

BSA Free

Concentration

Concentrations vary lot to lot. See vial label for concentration. If unlisted please contact technical services.

Product Specifications

Immunogen

Recombinant protein encompassing a sequence within the center region of human PECI. The exact sequence is proprietary.

Localization

Peroxisome matrix

Clonality

Polyclonal

Host

Rabbit

Isotype

IgG

Theoretical MW

40 kDa.
Disclaimer note: The observed molecular weight of the protein may vary from the listed predicted molecular weight due to post translational modifications, post translation cleavages, relative charges, and other experimental factors.

Description

Novus Biologicals Rabbit PECI Antibody - BSA Free (NBP2-19765) is a polyclonal antibody validated for use in IHC and WB. All Novus Biologicals antibodies are covered by our 100% guarantee.

Scientific Data Images for PECI Antibody - BSA Free

Western Blot: PECI Antibody [NBP2-19765]

Western Blot: PECI Antibody [NBP2-19765]

Western Blot: PECI Antibody [NBP2-19765] - Sample (30 ug of whole cell lysate) A: Jurkat B: Raji C: K562 10% SDS PAGE gel, diluted at 1:1000.
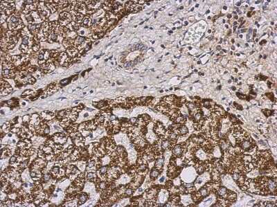
Immunohistochemistry-Paraffin: PECI Antibody [NBP2-19765]

Immunohistochemistry-Paraffin: PECI Antibody [NBP2-19765]

Immunohistochemistry-Paraffin: PECI Antibody [NBP2-19765] - Immunohistochemical analysis of paraffin-embedded Hepatoma, using antibody at 1:500 dilution.

Applications for PECI Antibody - BSA Free

Application
Recommended Usage

Immunohistochemistry

10 - 1:500

Immunohistochemistry-Paraffin

1:100-1:1000

Western Blot

1:500-1:3000

Formulation, Preparation, and Storage

Purification

Antigen Affinity-purified

Formulation

0.1M Tris, 0.1M Glycine, 20% Glycerol

Format

BSA Free

Preservative

0.01% Thimerosal

Concentration

Concentrations vary lot to lot. See vial label for concentration. If unlisted please contact technical services.

Shipping

The product is shipped with polar packs. Upon receipt, store it immediately at the temperature recommended below.

Stability & Storage

Aliquot and store at -20C or -80C. Avoid freeze-thaw cycles.

Background: PECI

PECI is an auxiliary enzyme that catalyzes an isomerization step required for the beta-oxidation of unsaturated fatty acids.[supplied by OMIM]

Alternate Names

ACBD2, acyl-Coenzyme A binding domain containing 2, D2-enoyl-CoA isomerase, delta(2)-enoyl-CoA isomerase, Delta(3), Diazepam-binding inhibitor-related protein 1, dJ1013A10.3, Dodecenoyl-CoA isomerase, DRS-1, DRS1D3, EC 5.3.3.8, enoyl-CoA delta isomerase 2, HCA88DBI-related protein 1, Hepatocellular carcinoma-associated antigen 88, KIAA0536, pECI, Peroxisomal 3,2-trans-enoyl-CoA isomerase, peroxisomal D3, Renal carcinoma antigen NY-REN-1

Gene Symbol

ECI2

UniProt

Additional PECI Products

Product Documents for PECI Antibody - BSA Free

Certificate of Analysis

To download a Certificate of Analysis, please enter a lot number in the search box below.

Product Specific Notices for PECI Antibody - BSA Free

This product is for research use only and is not approved for use in humans or in clinical diagnosis. Primary Antibodies are guaranteed for 1 year from date of receipt.

Loading...
Loading...
Loading...
Loading...

⚠ WARNING: This product can expose you to chemicals including mercury, which is known to the State of California to cause reproductive toxicity with developmental effects.  For more information go to www.P65Warnings.ca.gov.