Skip to main content

PDK2 Antibody (7X6R7)

Novus Biologicals, part of Bio-Techne | Catalog # NBP3-16314

Recombinant Monoclonal Antibody
Novus Biologicals, part of Bio-Techne
Catalog #
Availability
Size / Price
Qty
Loading...
NBP3-16314-100ul
NBP3-16314-20ul

Key Product Details

Species Reactivity

Human, Mouse, Rat

Applications

Immunohistochemistry, Immunohistochemistry-Paraffin, Western Blot

Label

Unconjugated

Antibody Source

Recombinant Monoclonal Rabbit IgG Clone # 7X6R7 expressed in HEK293

Concentration

Please see the vial label for concentration. If unlisted please contact technical services.

Product Specifications

Immunogen

A synthetic peptide corresponding to a sequence within amino acids 308-407 of human PDK2 (Q15119). YSTAPTPQPGTGGTPLAGFGYGLPISRLYAKYFQGDLQLFSMEGFGTDAVIYLKALSTDSVERLPVYNKSAWRHYQTIQEAGDWCVPSTEPKNTSTYRVS

Clonality

Monoclonal

Host

Rabbit

Isotype

IgG

Description

Novus Biologicals Rabbit PDK2 Antibody (7X6R7) (NBP3-16314) is a recombinant monoclonal antibody validated for use in IHC and WB. All Novus Biologicals antibodies are covered by our 100% guarantee.

Scientific Data Images for PDK2 Antibody (7X6R7)

Western Blot: PDK2 Antibody (7X6R7) [NBP3-16314]

Western Blot: PDK2 Antibody (7X6R7) [NBP3-16314]

Western Blot: PDK2 Antibody (7X6R7) [NBP3-16314] - Western blot analysis of extracts of various cell lines, using PDK2 Rabbit mAb (NBP3-16314) at 1:1000 dilution. Secondary antibody: HRP Goat Anti-Rabbit IgG (H+L) at 1:10000 dilution. Lysates/proteins: 25ug per lane. Blocking buffer: 3% nonfat dry milk in TBST. Detection: ECL Enhanced Kit. Exposure time: 3min.
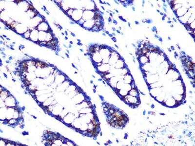
Immunohistochemistry-Paraffin: PDK2 Antibody (7X6R7) [NBP3-16314]

Immunohistochemistry-Paraffin: PDK2 Antibody (7X6R7) [NBP3-16314]

Immunohistochemistry-Paraffin: PDK2 Antibody (7X6R7) [NBP3-16314] - Immunohistochemistry of paraffin-embedded human colon using PDK2 Rabbit mAb (NBP3-16314) at dilution of 1:100 (40x lens).Perform microwave antigen retrieval with 10 mM PBS buffer pH 7.2 before commencing with IHC staining protocol.

Applications for PDK2 Antibody (7X6R7)

Application
Recommended Usage

Immunohistochemistry

1:50 - 1:200

Western Blot

1:500 - 1:2000

Formulation, Preparation, and Storage

Purification

Affinity purified

Formulation

PBS (pH 7.3), 50% glycerol, 0.05% BSA

Preservative

0.02% Sodium Azide

Concentration

Please see the vial label for concentration. If unlisted please contact technical services.

Shipping

The product is shipped with polar packs. Upon receipt, store it immediately at the temperature recommended below.

Stability & Storage

Store at -20C. Avoid freeze-thaw cycles.

Background: PDK2

PDK2 inhibits the mitochondrial pyruvate dehydrogenase complex by phosphorylation of the E1 alpha subunit, thus contributing to the regulation of glucose metabolism

Long Name

[Pyruvate dehydrogenase

Alternate Names

PDH kinase 2, PDHK2, PDKII

Gene Symbol

PDK2

Additional PDK2 Products

Product Documents for PDK2 Antibody (7X6R7)

Certificate of Analysis

To download a Certificate of Analysis, please enter a lot number in the search box below.

Product Specific Notices for PDK2 Antibody (7X6R7)

This product is for research use only and is not approved for use in humans or in clinical diagnosis. Primary Antibodies are guaranteed for 1 year from date of receipt.

Loading...
Loading...
Loading...
Loading...