PDILT Antibody - BSA Free
Novus Biologicals, part of Bio-Techne | Catalog # NBP1-80933
Key Product Details
Species Reactivity
Human
Applications
Immunohistochemistry, Immunohistochemistry-Paraffin, Western Blot
Label
Unconjugated
Antibody Source
Polyclonal Rabbit IgG
Format
BSA Free
Concentration
Concentrations vary lot to lot. See vial label for concentration. If unlisted please contact technical services.
Product Specifications
Immunogen
This antibody was developed against Recombinant Protein corresponding to amino acids: VSSIHITKPVHILEERSLLVLTPAGLTQMLNQTRFLMVLFHNPSSKQSRNLAEELGKAVEIMGKGKNGIGFGKVDITIEKELQQEFGI
Clonality
Polyclonal
Host
Rabbit
Isotype
IgG
Scientific Data Images for PDILT Antibody - BSA Free
Western Blot: PDILT Antibody [NBP1-80933]
Western Blot: PDILT Antibody [NBP1-80933] - Lane 1: Marker [kDa] 250, 130, 95, 72, 55, 36, 28, 17, 10. Lane 2: Human cell line RT-4. Lane 3: Human cell line U-251MG spImmunohistochemistry-Paraffin: PDILT Antibody [NBP1-80933]
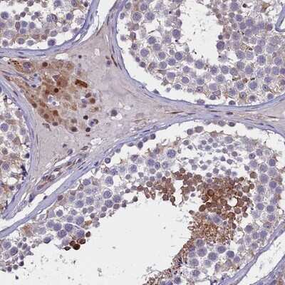
Immunohistochemistry-Paraffin: PDILT Antibody [NBP1-80933] - Staining of human testis shows moderate cytoplasmic positivity in subset of cells in seminiferus ducts and additional nuclear staining in Leydig cells.Applications for PDILT Antibody - BSA Free
Application
Recommended Usage
Immunohistochemistry
1:500 - 1:1000
Immunohistochemistry-Paraffin
1:500 - 1:1000
Western Blot
0.04-0.4 ug/ml
Application Notes
For IHC-Paraffin, HIER pH 6 retrieval is recommended.
Formulation, Preparation, and Storage
Purification
Affinity purified
Formulation
PBS (pH 7.2) and 40% Glycerol
Format
BSA Free
Preservative
0.02% Sodium Azide
Concentration
Concentrations vary lot to lot. See vial label for concentration. If unlisted please contact technical services.
Shipping
The product is shipped with polar packs. Upon receipt, store it immediately at the temperature recommended below.
Stability & Storage
Store at 4C short term. Aliquot and store at -20C long term. Avoid freeze-thaw cycles.
Background: PDILT
Alternate Names
PDIA7, protein disulfide isomerase family A, member 7, protein disulfide isomerase-like protein of the testis, protein disulfide isomerase-like, testis expressed, protein disulfide-isomerase-like protein of the testis
Entrez Gene IDs
204474 (Human)
Gene Symbol
PDILT
Additional PDILT Products
Product Documents for PDILT Antibody - BSA Free
Product Specific Notices for PDILT Antibody - BSA Free
This product is for research use only and is not approved for use in humans or in clinical diagnosis. Primary Antibodies are guaranteed for 1 year from date of receipt.
Loading...
Loading...
Loading...
Loading...